AOTRAUMA.ORG Центр Илизарова  

Ортопедия и травматология Общие вопросы/General questions Help Информационные технологии в медицине
 вверх
 отправить
 поиск
 админ
 главная
 Предыдущее


Re: ложный сустав после остеосинтеза плеча
Anatoly F. Lazarev 23 Февраль 2008, 01:04
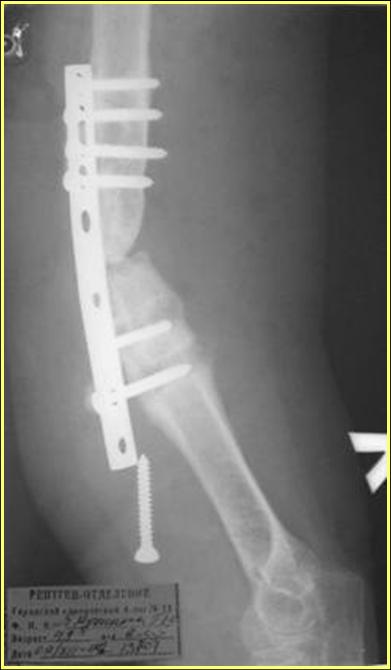
Типичная положительная ситуация для интрамедуллярного остеосинтеза с
использованием опорного металлокаркаса для компенсации дефекта.
Послеоперационное ведение активное или агрессивно-активное. Каркасы
можно заказать в МАТИ.





Рентгеновская версия реконструкции. хронология:
после операции, 2 мес. после операции, через 1 год

Движения в полном объеме восстановлены к 2 мес. после операции. Если надо могу показать мультик. Сейчас уже прошло более 3 лет, больная не
показывается. Успехов ЛАФ.

  • Сообщения о Ортопедия и травматология
  • Также Anatoly F. Lazarev
  • Связаться с автором
  • Ответить

    Re: ложный сустав после остеосинтеза плеча
    Alexander Chelnokov 23 Февраль 2008, 01:37
    Дорогой Анатолий Федорович,

    Anatoly Lazarev пишет:
    > Типичная положительная ситуация для интрамедуллярного остеосинтеза с
    > использованием опорного металлокаркаса для компенсации дефекта.
    > Послеоперационное ведение активное или агрессивно-активное. Каркасы
    > можно заказать в МАТИ.


    Спасибо за очень интересный пример. Тактика непривычная (пока?), но результат, по крайней мере ближайший, достаточно нагляден и убедителен.
    Была бы, интересно, существенная разница в исходе, если бы сделали то же самое, минус кейдж? То есть создали бы укорочение плеча на высоту кейджа. На нижней конечности такое укорочение было бы значимым, а на верхней?

    И еще вопрос по заказу в МАТИ. Спасибо за контактную информацию. К сожалению, есть проблемы - эти кейджи не имеют регистрационного удостоверения, т.е. не внесены в Реестр медизделий, разрешенных к применению в РФ. Это первая проблема. Вторая, отчасти вытекающая из первой - нету методички по их использованию, или как это нынче называется, "медицинской технологии".
    В ЦИТО ведь они используются несколько лет - может быть, что-то такое уже написано? Дайте pls ссылку. Или это в близкой перспективе?

    В общем, надо этих производителей как-то убедить это изделие поскорее зарегистрировать, тогда про него можно будет писать методички, и приобретать на бюджетные средства.

    У нас есть пациентка на замещение сегментарного дефекта большеберцовой кости после резекции опухоли, по программе ДВМП положили. Родная страна готова оплатить ей что угодно хоть за 100 тыщ, но - оно должно иметь все необходимые регистрационные документы.

    И если получится использовать для нее такой каркас, то по-партизански, проведя по документам либо как что-то другое, разрешенное, либо напрягать ее или родственников на покупку за свои деньги.

    > Сейчас уже прошло более 3 лет, больная не показывается.

    В докладах по использованию кейджей для замещения сегментарных дефектов даже длиной больше 10 см показывают в некоторых случаях обрастание их костью, непонятно, откуда берущейся... По-моему, и у Вас такие наблюдения были?
    [ Ответить ]


    ( Ответить )

    Powered by Zope  Squishdot Powered MedLink
    Посетитель: 0000078
      "По форме правильно, а по существу - издевательство" В.И.Ленин
    ©2001-2019Orthoforum Coordinator.
    [ Главная | Отправить сообщение | Поиск | Админ ]