ВХОД ДЛЯ ПАЦИЕНТОВ
вверх
поиск
админ
главная
исходное
|
Re: ложный сустав после остеосинтеза плеча
послал Djoldas Kuldjanov 23 Февраль 2008, 03:01
|
Лечение вторичного ложного сустава плеча особенно в дистальных отделах очень трудная задача. Результат несостоятельного остеосинтеза, приведший к ложному суставу осложнен коротким дистальным склеризированным участком и полным отслоением от мягких ткани в дистальном отделе плеча.
Проведение интрамедуллярного гвоздя в дистальный отдел плеча технически несложно, но с дополнительной травматизацией, и один дистальный винт не создаст стабильность.
В средней трети плеча проблем с интрамедуллярным
имплантом нет, можно надуть, или заблокировать, и
внутренная шина, нейтрализуя сгибательные и
разгибательные деформирующие силы, создаст условия для сращения ложного сустава.
Без нейтрализации ротационных деформирующих сил в
нижней трети плеча даже сильными потенционными
стимуляторами типа BMP 2 или OP1 невозможно создать сращение особенно во "вторично-послеоперационном" ложном суставе.
Без открытия фокуса не обойтись. Насчет декортикации - кто-то уже пытался создать декортикацию. На "вторичном" ложном суставе обычно вместо кортекса с мягкими тканями, особенно в этом случае, огромная псевдосуставная полость.
В зоне патологии нарушено кровообращение, поэтому
трудно предположить, какое из главное - внутрикостное или периостальное.
Мне кажется, главным является создание стабильности между проксимальным и дистальным отделами плеча.
В подготовке места для укладки костной пластики можно идти на небольшое укорочение до образования "pepper sign" т.е. образования "росы".
У взрослых для плеча до 3 см укорочение и варус до 20 градусов и ротация до 10 градусов считаются
приемлемым.
http://www.hwbf.org/ota/bfc/nepola/exp.htm
"In 1969 Klenerman reported that deformity of 20
degrees of AP angulation, 30 degrees of ML
(varus-valgus) angulation and shortening of up to 3 cm is extremely well tolerated"
Насчет пластины 4.5 или тем более "5 мм винтами в
проксимальном отделе" у меня сомнения, из-за стресса в больших дырках имплант 4.5 давно не применяется для лечения переломов плеча и еще потому, что пластинами с угловой стабильностью 3.5 и 4 мм создается адекватная стабильность.
Преконтурированная длинная Locking пластина латерально и вторая под 90 градусов к ней, медиальнее сзади с достаточным количеством аутокости из крыла создаст нужную стабильность и условия для скорейшей разработки движения в суставе.
Задний доступ должен быть адекватным, в положение на боку, под плечо рентгенопроницаемая подставка.
Если имеется сомнения о вовлечении лучевого нерва в процесс, предварительный невролиз поможет работать без оглядки на нерв.
"что пациентка в состоянии приобрести LCP и Хронос, располагаем отечественными угловыми пластинами - поэтому, скорее всего, выбор имплантата без вариантов"
Без достаточной подготовки с учетом всех нюансов и без наличия современных имплантов идти на операцию
считаю рискованным. Это увеличивает шансы
следующих ложных суставов....
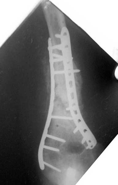
На примере два случая, извиняюсь за качество снимков, снимки и случаи из бывшего союза.

Первая больная с "успехом" была прооперирована 6 раз различными методами открытого и закрытого
остеосинтеза, включая то, что в Кисловодске заезжим австралийским "кудесником" на ложный сустав уложена скорлупа от страусиновых яиц. Последняя операция одиноким локинг плейт в одной из клиник.
Через год по поводу тех же проблем сделали ревизию, оригинальную пластину оставили как есть, только укрепили добавлением еще одной пластины и сделали костную пластику.
Через два месяца увидели признаки консолидации.

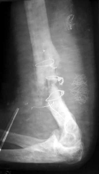
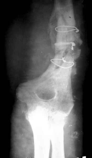
Второй случай, также после множественных операций:
пластина, аппарат, серкляж и парез нерва.
Также ревизия, из-за низкого состояния доступ был
сделан через остеотомию локтевого отростка.
Ложный сустав фиксирован двумя локинг плейт с
аутокостной пластикой, также через два месяца увидели признаки консолидации.
Движение в суставе разрешили в две недели.
Djoldas Kuldjanov, MD
Department of Orthopedic Surgery
St. Louis University Medical Center
|
| Послать ответ |
Обратите внимание: Поля с жирными названиями обязательны.
Старайтесь отвечать в рамках обсуждаемой темы, а не начинать новые обсуждения.
Указывайте адекватную тему сообщения, чтобы было ясно, о чем оно.
Не послайте сообщений не по теме (оффтопик), раздраженных, грубых или обидных комментариев. Здесь это неуместно.
|