ВХОД ДЛЯ ПАЦИЕНТОВ
вверх
поиск
админ
главная
исходное
|
Re: Застарелый вывых головки луча
послал Andre Pakh 11 Март 2008, 00:10
|
Дорогих женщин с 8 Марта!
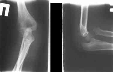
оперировали подобный случай около 6 мес назад. Отличие только в одном- давность травмы была до 2х лет. Использовали методику описанную в "Pediatric fractures and dislocations" Lutz von Laer, M.D.
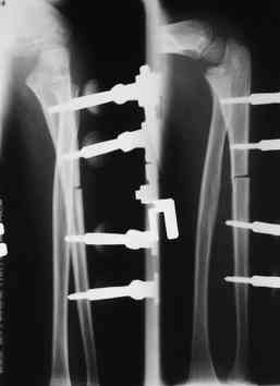
Артротомия, иссечение рубцов, остатков кольцевидной связки. На проксимальный отдел локтевой кости стержневой аппарат (рекомендуют
Compact II выпущеный Stryker Howmedica, но за неименеем...), остеотомия проксимального отдела локтевой кости, вправление головки лучевой кости, замыкание аппарата, проверка стабильности головки
лучевой кости в движении, ушивание без пластики кольцевидной связки.
Рекомендуются ранние спонтанные движения, ЛФК на лучелоктевой сустав.
Аппарат рекомендуют на 2 мес.

Данную методику применили впервые. После артролиза очевидная нестабильность головки луча. После остеотомии локтевой, вправления и
стабилизации аппарата головка луча при движениях на месте. Первые впечатления- "Либо чудо,либо фокус" (с) :))
У нас были проблемы. Скорее всего связанные с использованием стержневого аппарата с простым соединением. В Компакте же скорее всего шарнирное, со свободой движения во всех плоскостях, что конечно, значительно должно упрощать фиксацию в правильном положении.
1 подвывих головки лучевой кости в положении супинации - через 2 недели после операции- под ЭОП: аппарат разблокирован, повторное вправление головки, стабилизация аппарата.
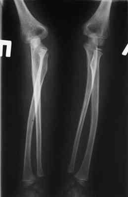
2 По снятии аппарата через 2 мес после операции рефрактура в месте остеотомии(на фоне активного ротационного движения)- под контролем ЭОП выполнен
интрамедуллярный остеосинтез TEN. Положение головки луча стабильное.
Последних снимков к сожалению нет. Больной иногородний, но скоро появится и снимки предоставим.
Вот такой был случай :)
Best regards,
Андрей Пах
\Травматолого-ортопедическое отделение N3(детское)
МЛПУ ГКБ N1 г Новокузнецк\
|
| Послать ответ |
Обратите внимание: Поля с жирными названиями обязательны.
Старайтесь отвечать в рамках обсуждаемой темы, а не начинать новые обсуждения.
Указывайте адекватную тему сообщения, чтобы было ясно, о чем оно.
Не послайте сообщений не по теме (оффтопик), раздраженных, грубых или обидных комментариев. Здесь это неуместно.
|