Ответить
|
Re: Осколчатый перелом таранной кости
sergey adonin 14 Март 2008, 05:32
|
артродез или открытое вправление - в зависимости от вашего опыта и степени оптимизма. в случае открытого вправления сразу объясните больному, что это - отчаянная попытка сохранить сустав и , скорее всего, ничего не выйдет.
АВФ - ненужная операция, наверняка получите либо некроз, либо жуткий посттравматический артроз, либо и то , и другое одновременно - все равно закончите артродезом, только больного измучаете. Есдинственное, зачем есть смысл накладывать аппарат - это мобилизовать больного , пока ждете спадения отека - вместо вытяжения
|
[
Ответить ]
|
Re: Осколчатый перелом таранной кости
Alexander Chelnokov 14 Март 2008, 06:02
|
Dear Abdurashid.
AT> Белера, скелетное вытяжение за пяточную кость, антибиотики,
AT> анальгетики, клексан, трентал.
AT> Уважаемые коллеги, что делать?
Антибиотики и трентал, по-моему, лишние.
AT> 1.Сразу готовиться к артродезу?
Видимо, пытаться восстановить блок тарана с надеждой на сохранность функции суставов тут бесперспективно. Надо делать либо репозицию и артродез голеностопного и тарано-пяточного суставов, либо выкидывать отломки и делать берцово-пяточный блок.
AT> 3.Дистракцион.остеосинтез А.В.Ф.,и дальше время покажет?
Аппарат тут имеет смысл только временный, как "автономное скелетное вытяжение" - на неделю-полторы, до спадения отека.
|
[
Ответить ]
|
Re: Осколчатый перелом таранной кости
Alecksey 14 Март 2008, 12:23
|
Аппарат: две спицы с упорами через пятку (перекрест), две спицы с упорами на XIII уровне (по Соломину) перекрест, на VII стержень, дистракция. Я думаю, что любое проведение металла через таран или открытая репозиция приведут к последующей астрагалэктомии..... С уважением..... И ждать.
|
[
Ответить ]
|
Re: Осколчатый перелом таранной кости
Анатолий Баранецкий, Москва. 14 Март 2008, 12:49
|
Артродез Вы всегда успеете сделать. Если дом тарана представляет из себя массивный фрагмент, то синтезировав его с головкой тарана можно надеяться на сращение (пусть даже с явлениями АН).В зависимости от степени артроза в будущем будет приниматься решение о лечении, но при первичном остеосинтезе Вы сохраните запас кости и длину конечности.
|
[
Ответить ]
|
Re: Осколчатый перелом таранной кости
Алексей 14 Март 2008, 15:59
|
Ув. Абдурашид, салам!
хочу поинтересоваться:
- Ваше оснащение;
- подготовка бригады;
- чем занимается этот пациент, знает ли он о возможных вариантах лечения и предупрежден ли он о возможных осложнениях и последствиях (решение должен принять он, а Ваше дело "сказку сделать былью".
Удачи!
|
[
Ответить ]
|
Re: Осколчатый перелом таранной кости
Андрей Волна 14 Март 2008, 18:46
|
Уважаемые коллеги, мне кажется, первой задачей в случаях, схожих с представленным, является профилактика глубоких некрозов мягких тканей, то есть спасение конечности как таковой. Тем более, в данном случае очевидным отягчающим прогноз фактором является предшествующее наложение гипсовой повязки. Для решения этой задачи, прежде всего, необходимо наложение аппарата внешней фиксации. Но не с целью мобилизации пациента, а с целью, прежде всего, устранения грубого смещения и вправления подтаранного вывиха. Далее аппарат должен работать как дистракционный и обеспечивать покой голеностопному суставу и стопе. Это позволит приступить к решению следующей задачи - лечению мягких тканей. Здесь - возвышенное положение конечности, покой в АВФ, улучшение реологии.
И только по улучшению состояния мягких тканей, при появлении морщин на коже стопы можно приступить к реализации третьей задачи - анатомичной репозиции (хотя бы основных фрагментов)и внутренней фиксации винтами с достижением мжфрагментарной компрессии и абсолютной стабильности. Надеюсь, у Вашего пациента дойдёт до этого дело, но, повторюсь, очень многое, если не всё в данной ситуации зависит от состояния мягких тканей.
С уважением.
|
[
Ответить ]
|
Re: Осколчатый перелом таранной кости
Abdurashid Turaev 15 Март 2008, 00:33
|
Уважаемые коллеги! спасибо! Очень хочется сохранить сустав, но скорее всего не получится, мягкие ткани не важные. хотя отек и пузырки не нарастают, вроде стабилизируется, вчера во время вытяжения подтаранный вывых был устранен.
Ув.Alecksey! XIII уровен не понял? обычно V и VIII уровен две кольцы или VII стержен и VIII кольца и ч-з пятку.
Ув. Анатолий! Пока состояние м/тканей не позволяеть что-либо делать открыто.
Ув. Алексей- Ассаламу-алейкум ва баракоту!
Специализирован.травматолого-ортопед. отд. при обл. многопрофиль.мед. центре, погружные(пластини, винты ) и наружные (апп Илизарова) для стопы имеется. К.М.Н. и 4- травматолога-ортопеда высшей категории, техникой остеосинтеза костей стопы - владеют. Пациент- рабочий строитель, о возможных осложнениях пока не сообшили, завтра поговорим.
Уважаемый Александр!Вопрос артродез сложный, даже можеть не получится из-за асеп. некроза отломков. Думаем до улучшения м/тканей А.В.Ф., по способу Ли- Баширова, дальше посмотрим, понравился Ваш метод берцово-пяточный блок, Саша если можно технику операции, я у Вас эту методику видел, но не все запомнил.?
|
[
Ответить ]
|
Re: Осколчатый перелом таранной кости
Отправитель: Алексей20 15 Март 2008, 14:27
|
С этим переходо с латыни на русскую раскладку все напутал, прошу извинить."Ув.Alecksey! XIII уровен не понял? обычно V и VIII уровен две кольцы или VII стержен и VIII кольца и ч-з пятку." - согласен. Если проблема с мягкими тканями, то это наверняка сдавление гипсовой повязкой. Возможно имеет смысл выполнить скелетное вытяжение и пробовать заживить раны. К слову, я наблюдал два случая, когда пришлось выполнить ампутации после сдавления гипсом наложенным в травмпунктах, т.к. имелись язвы и выраженная нейропатия стопы и голени с выраженной гиперестезией, отсутствием опороспособности конечности. Надеюсь, что не тот случай.
|
[
Ответить ]
|
|
Re: Осколчатый перелом таранной кости
Mark Eidelman 15 Март 2008, 04:16
|
ya by popytalsya sobrat talus anatomichno,seichas pozdno operirovat iz za oteka,po etomy distrakziya apparatom budet optmalna.Posyalu vam podobyai moi sluchai.

14 years old girl
Fall from height ( 3rd floor)
Compressed fractures of L1-L2
Fx of orbital bone
|
[
Ответить ]
|
Re: Осколчатый перелом таранной кости
Корнеев Филипп 15 Март 2008, 13:35
|
Дистракцион.остеосинтез А.В.Ф.,и дальше время покажет!!!!!!!!!!!!!!!!
|
[
Ответить ]
|
Re: Осколчатый перелом таранной кости
A. Liberson 15 Март 2008, 14:16
|
Dear Dr. Abdurasheed Turaiev
Fracture of talus should be treated on the same day preferably ASAP by an
ORIF.
He should have a CT scan prior to surgery.
A distruction device could be helpfull at the OR.
The surgeob should be familiar with the surgical exposures of talus including osteotomies.
cannulated screws will probably do in current case.
A subtalar dislocation may be overlooked.
The real question is what to do in the next case. This one lost a lot of time. I would still try to reposit, depending on soft tissue situation.
AL
|
[
Ответить ]
|
Re: Осколчатый перелом таранной кости
Андрей Волна 15 Март 2008, 20:22
|
Уважаемые коллеги! Прошу простить за повторный комментарий. Данные соображения вызваны откликом коллеги A. Liberson, с которым я соглашаюсь. Прежде всего соглашаюсь в том, что данное обсуждение скорее будет важно для Вашего следующего пациента с подобным повреждением, уважаемый Абдурашид, чем для этого. Время для соблюдения общепринятого протокола в лечении подобных повреждений, скорее всего, упущено. И это ни в коей мере не Ваша вина, а это общая беда для большинства стран постсоветского пространства. За исключением, пожалуй, лишь стран Балтии.
Да, в большей части случаев у нас есть время для дискуссий и обсуждений. Но есть ситуации, которые требуют наличия и чёткого соблюдения протокола лечения с момента поступления больного. Политравма - естественно, а так же некоторые переломы, например, пилона типа С или переломовывихи тарана. И к лечению таких повреждений мы должны быть готовы заранее. Мы должны знать, что делать в порядке очереди - 1, 2, 3 и так далее. И начинается адекватная помощь по данному алгоритму сразу же, вне зависимости от того, в какое лечебное учреждение данный пациент поступил. Ну может быть с некоторыми нюансами, но по схожим схемам проводится лечение. При наличии таких протоколов вряд ли в голову кому-то взбредёт пытаться лечить такие повреждения в поликлинике. Но нет их у нас - не повреждений, а протоколов, естественно. И в Москве - спросите у коллег из отделений гнойной хирургии - ежегодно ампутируют конечности после лечения гипсовой повязкой переломов пилона, перепутанных с лодыжками. А тарана - тем более.
Отсутствие алгоритмов лечения - одна из главных бед, унаследованных нами из советской системы здравоохранения. А выход - для каждого из нас, работающих в схожих условиях, если государственная система здравоохранения совсем не меняется - образовываться. Чем я с удовольствием и занимаюсь, черпая опыт, в том числе и из ваших, друзья, сообщений. Спасибо Александру Челнокову ещё раз. С уважением.
|
[
Ответить ]
|
Re: Осколчатый перелом таранной кости
Abdurashid Turaev 15 Март 2008, 20:37
|
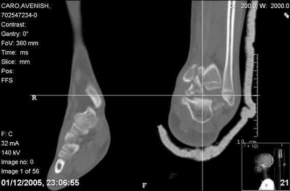
Дорогие Mark Eidelman and A. Liberson. Спасибо за представленные иллюстрации и за дельные советы.
Mark, судя по снимкам в день поступления произведен А.В.Ф., а остеосинтез ч-з какое время произведен?, остеосинтез произвели открытым способом?( на снимке п/о рубцы).
A.Liberson , подождем до восстановления м/тканей на А.В.Ф., но у нас cannulated screw s пока нет, можно и спонгиозными винтами?
Алексей и Alecksey - он Алексей Леспович Колесников или я ошибаюсь? Зараннее извиняюсь о возможной бестактности?
С уважением Абдурашид.
|
[
Ответить ]
|
Re: Осколчатый перелом таранной кости
Отправитель: eidelman mark 15 Март 2008, 22:24
|
Privet zemlyak,
aparat postavlen v den postupleniya,rastaynuli, vpravili zakryto naskolko vozmoghno, a kogda otek spal sdelali otkrytoe vpravlenie.Teryat tut nechego, moghno tolko uluchshit.
Udachi.
Mark Eidelman
Rambam Hospital, Haifa,Israel.
|
[
Ответить ]
|
Re: Осколчатый перелом таранной кости
Отправитель: Алексей 16 Март 2008, 04:34
|
Салют!
1-То, что Вы устранили вывих - это прекрасно,это нужно было сделать, но насколько компенсирована стопа? (сколько секунд сосудистый ответ?, проба иглой, цвет стопы, эпидермолиз? ...)
2 - я не подписываюсь латиницей, и воизбежание путаниц вдальнейшем буду подписываться "Леспович".
|
[
Ответить ]
|
Re: Осколчатый перелом таранной кости
Отправитель: A. Liberson 16 Март 2008, 11:32
|
Yes-the cannulated only for your convenience.
AL
|
[
Ответить ]
|
|
( Ответить )
|
|