AOTRAUMA.ORG Центр Илизарова  

Ортопедия и травматология Общие вопросы/General questions Help Информационные технологии в медицине
 вверх
 отправить
 поиск
 админ
 главная


Голеностопный сустав
Ортопедия и травматология Отправлено Александр Мюллер 14 Март 2008, 20:30
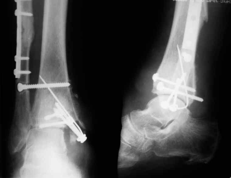
Уважаемые коллеги нужна помощь в определении тактики лечения: Больная Р.,1952 года рождения получила травму 18 августа 2007 года.
31 августа 2007 года была оперирована в другой области по поводу DS Закрытого двухлодыжечного перелома правой голени с подвывихом стопы кнаружи , кзади. Разрыв дистального межберцового синдесмоза. Перелом заднего края большеберцовой кости справа. Поступила в наше отделение со швами ,с некрозом медиальной поверхности правого голеностопного сустава. Проведено : снятие швов , антибиотики , некрэктомия с последующей кожной пластикой .Заживление 20 декабря 2007 года ,выписана из стационара . 3 марта 2008 года поступает с гиперемией , отек , флюктуацией. В настоящее время имеется рана по медиальной поверхности правой голени ,отеки и гиперемия сохраняется .Наша тактика:1) снятия воспалительного процесса, 2) удаление металлоконструкции, 3) выполнения артродеза правого голеностопного сустава.

<  |  >

 

  • Сообщения о Ортопедия и травматология
  • Также Александр Мюллер
  • Связаться с автором
  • Ответить

    Re: Голеностопный сустав
    Никифоров Евгений 15 Март 2008, 08:29
    я бы поменял местами первое на второе! Одновременно удалить металл, выполнить некрсеквестрэктомию, купировать воспалительный процесс.
    [ Ответить ]

    Re: Голеностопный сустав
    Алексей20 15 Март 2008, 09:12
    Если можно, более полную информацию. Rg. Очень интересно местный статус, если можно фото....
    Несросшийся перелом внутренней лодыжки и даже ложный сустав там же ,обычно, не может быть серьезной проблемой для пациента, при условии сохранности дистального синдесмоза. Но остеомиелит? и нет ли там остеоартрита голеностопного сустава? Если там имеется свищ, то попробуйте ввести в него контраст (прим. - урографин) и выполнить Rg в 2х пр. Жду дополнительную информацию. С уважением.

    [ Ответить ]

    Re: Голеностопный сустав
    Алексей20 15 Март 2008, 09:16
    Прошу простить, вложенный файл заметил не сразу, но у меня он не открылся.
    [ Ответить ]

    Re: Голеностопный сустав
    Корнеев Филипп 15 Март 2008, 13:34
    ведите просто как остеомиелит,зачем артродез. удалите металл, будет свищевая форма,но зачем же сразу на инвалидность отправлять.
    [ Ответить ]

    • Re: Голеностопный сустав
      Отправитель: Алексей20 15 Март 2008, 14:18
      Площадь синовиальной оболочки голеностопного сустава примерно как лист А4, не резецируя этот сустав будет сохраняться постоянный контакт синовиальной оболочки с патогенной микрофлорой и продуктами распада, а это приводит к интоксикации, снижению уровня имунного статуса организма. Согласен, что хрониосепсис из-за остеоартрита голеностопного сустава развивается редко, особенно при удовлетворительном дренировании через свищ, но на моей практике однажды я с этим столкнулся. А при сохранении подвывиха нарушается биомеханика голеностопного сустава, с таким суставом ходить больно. А после резекции голеностопного сустава его функцию дублируют - подтаранный и таранно-ладьевидный, как всем известно. Больные ходят даже без трости. С уважением .



      [ Ответить ]
    Re: Голеностопный сустав
    Алексей20 15 Март 2008, 14:03
    Не очень удачный вариант остеосинтеза: сохранен подвывих стопы, синдесмоз не достаточно репонирован. Думаю, в данном случае у пациента д-з: остеоартрит правого голеностопного сустава, послеоперационный остеомиелит правой голени. Предлагаю тактику: одномоментно выполнить удаление металлоконструкции, хирургическую обработку очага остеомиелита, резекцию голеностопного сустава, артродез аппаратом. Другие методы лечения не привидут к купированию гнойного процесса. Так как полость сустава в настоящее время имеет вид пиогенной капсулы, в которой будет поддерживаться гнойный процесс даже после заживления свища, с последующим его открытием и опорожнением гноя.
    [ Ответить ]


    ( Ответить )

    Powered by Zope  Squishdot Powered MedLink
    Посетитель: 0146925
      "По форме правильно, а по существу - издевательство" В.И.Ленин
    ©2001-2019Orthoforum Coordinator.
    [ Главная | Отправить сообщение | Поиск | Админ ]