ВХОД ДЛЯ ПАЦИЕНТОВ
вверх
поиск
админ
главная
|
перелом лодыжек трёхмесячной давности |
 |
 |
 |
Прислано Димтрий бондарь 16 Март 2008, 14:08
из
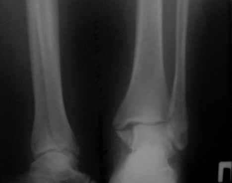
Здравствуйте, коллеги! Ко мне на консультацию обратилась больная 54 года, 110 кг весом.
 первичные
|
 3 мес.
|
Травма 3 мес. назад, лечилась амбулаторно в гипсовой лонгете. Как поступить далее? Я планирую ORIF, внутреннюю лодыжку - спицами и проволокой, наружную - пластиной 1\3 трубки. Позиционный винт для фиксации синдесмоза. Как Вы считаете, это верная тактика? какой вероятен исход? Какие имеются нюансы в этом сроке, особенности техники? Может стоит вначале разработать движения в голеностопе? Нужен ли гипс после операции ?
С уважением Д.Б.
Обратите внимание: Поля с жирными названиями обязательны.
Старайтесь отвечать в рамках обсуждаемой темы, а не начинать новые обсуждения.
Указывайте адекватную тему сообщения, чтобы было ясно, о чем оно.
Не послайте сообщений не по теме (оффтопик), раздраженных, грубых или обидных комментариев. Здесь это неуместно.
|