ВХОД ДЛЯ ПАЦИЕНТОВ
вверх
поиск
админ
главная
исходное
|
Re: Остеобластокластома?
послал Djoldas Kuldjanov 23 Март 2008, 17:08
|
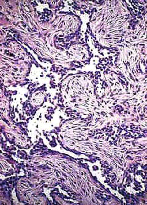
"При его рассмотрении с рентгенологом и морфологом сошлись, что это не фиброзная дисплазия, что было первым предположением по рентгенограммам. В полости было и мягкотканое образование. Окончательно заключение дадут через несколько дней"
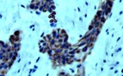
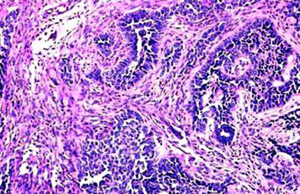
По локализации и по характреру опухоли мало напоминает остеобластому, может, представленные биопсийные материалы адамантиномы помогут вашим морфологам дифференцировать опухоль (Basiloid cells, pseudoglandular pattern and peripheral palisading)

Недавно на нашей ежемесячной Morbidity&Mortality
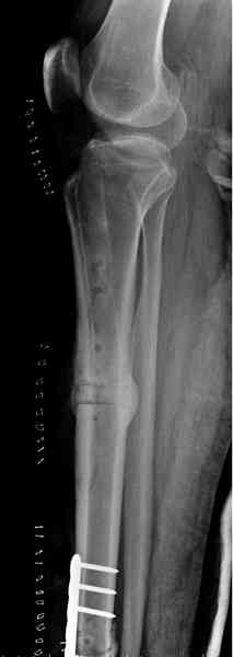
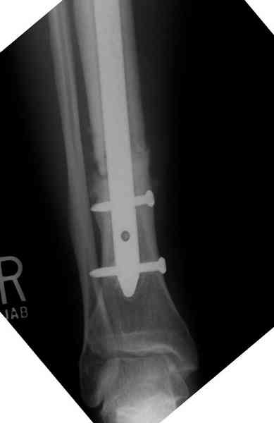
conference мы разбирали похожий случай, ложный сустав большеберцовой кости после резекции опухоли.
К нашему онкологу-ортопеду обратился больной с жалобами на боли в голени, из рассказа - год назад была сделана биопсия большеберцовой кости, но название заболевания "не запомнил”.
Оперирован в военном госпитале с заменой сегмента
аллокостью большеберцовой кости и после демобилизации явился для постоянного наблюдения по месту жительства.
В литературе "A Classic Adamantinoma Arising from
Osteofibrous Displasialike Adamantinoma in the Lower Leg: A case report and Review of the Literature похожие снимки.
Наши имели проблему со сращением, пришлось им сделать динамизацию, дополнительную аутопластику.
Снимки представлены.
Djoldas Kuldjanov, MD
Department of Orthopedic Surgery
St. Louis University Medical Center
|
| Послать ответ |
Обратите внимание: Поля с жирными названиями обязательны.
Старайтесь отвечать в рамках обсуждаемой темы, а не начинать новые обсуждения.
Указывайте адекватную тему сообщения, чтобы было ясно, о чем оно.
Не послайте сообщений не по теме (оффтопик), раздраженных, грубых или обидных комментариев. Здесь это неуместно.
|