Ответить
|
Re: Энхондрома (?)
Konstantin Kudinow 30 Март 2008, 12:37
|
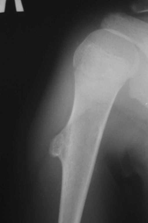
По-моему, термин "энхондрома" подразумевает рост опухоли внутрь. Это, скорее, "экхондрома" :-)Делайте краевую резекцию первым этапом, образование вместе с подлежащим кортикалом - целиком гистологу. Если скажет, что это то самое, что вы думаете, операцию можно считать адекватной.
С уважением, Кудинов.
|
[
Ответить ]
|
Re: Энхондрома (?)
Ihor 30 Март 2008, 18:47
|
Здравствуйте, уважаемый Антон.К моему убеждению у ребенка остеохондрома плеча(экзостоз).Метод лечения в данном случае удаление экзостоза ,до здоровой ткани ,с удалением надкостницы над остеохондромой.Желаю удачи. Ihor
|
[
Ответить ]
|
Re: Энхондрома (?)
Александр Жужнев 31 Март 2008, 00:44
|
На мой взгляд показаний к сегментарной резекции нет, похоже на экхондрому.
В Астрахани- костная онкология, одно из приоритетных направлений кафедры, там занимаются этими проблемами уже лет 40.
Там бы вероятнее всего сделали резекцию в пределах здоровых тканей (разумеется с гистологическим исследованием), обработку жидким азотом(по там же разработанной методике)и заполнение дефекта аллотрансплантатом или синтетическим материалом(напр, Литар).Отдалённые результаты подобного подхода- обычно хорошие.
Удачи.
|
[
Ответить ]
|
Re: Энхондрома (?)
Alexander Artemiev 31 Март 2008, 02:30
|
А какие города интересуют?
С уважением Александр Артемьев
|
[
Ответить ]
|
Re: Энхондрома (?)
Отправитель: Бехтерев Антон 31 Март 2008, 02:31
|
Да куда надо, туда и поедут: Москва,Питер.
|
[
Ответить ]
|
|
Re: Энхондрома (?)
Шведовченко Игорь Владимирович 31 Март 2008, 10:41
|
Уважаемый Антон. У ребенка типичный костно-хрящевой экзостоз в области проксимальной трети плечевой кости. Удаление экзостоза, уровень резекции по проекции интактной кортикальной пластинки. Костная пластика не требуется
|
[
Ответить ]
|
Re: Энхондрома (?)
Тарасов Сергей 31 Март 2008, 21:20
|
Согласен с Ihor и Игорем Владимировичем - имеет место костно-хрящевой экзостоз. Необходима резекция в пределах здоровой кости без костной пластики
|
[
Ответить ]
|
Re: Энхондрома (?)
Отправитель: адонин 01 Апрель 2008, 01:51
|
Целиком поддерживаю - банальный экзостоз, требующий краевой резекции. Типичный случай, когда не дай бог попасть на "профильную" кафедру - а то действительно, аллотрансплантатом заменят и жидким азотом зальют :)
|
[
Ответить ]
|
|
Re: Энхондрома (?)
Djoldas Kuldjanov 03 Апрель 2008, 00:29
|
Обычная Solitary Osteochondroma или экзостоз относится к часто встречающимся доброкачественним опухолям. При давлении на нерв или на сосуды могут быть характерные симптомы, а так клинически не проявляется и обнаруживается случайно при исследованиях по другим поводам.
В статье написано все, что необходимо знать про заболевание:
Обычная простая плоскостная резекция решит все
проблемы.
Пару лет назад наблюдал больную 35 лет, физически
здоровую, отслужила в Ираке, жаловалась на слабость в конечности во время физических нагрузок.

Ангиография подтвердила васкулярную аневризму в
результате давления экзостозом. Совместно с сосудистым хирургом была проведена плоскостная резекция с дальнейщим восстановлением сосуда венозным графтом.
Djoldas Kuldjanov, MD
Department of Orthopedic Surgery
St. Louis University Medical Center
|
[
Ответить ]
|
( Ответить )
|