Ответить
|
Re: остеобластеокластома локтевой кости
Konstantin Kudinov 13 Апрель 2008, 22:43
|
Была 2 мес. назад больная с той же опухолью той же локализаци. Тех же примерно размеров. Мистика какя-то :-) Сделал резекцию, опухоль убрал с мягкими тканями, удалось убрать, не нарушив ее. Локтевую артерию легировал. Электроабляция с фанатизмом. Гипсовая иммобилизация 4 нед, затем - разработка. Больная постоянно носит фиксатор лучезапястного сустава. Работает компьютерщиком. Довольна. А еще б ей не быть довольной, если онкологи, которые к нам ее послали, однозначно приговорили ампутацию:-)
|
[
Ответить ]
|
Re: остеобластеокластома локтевой кости
Leonid Solomin 13 Апрель 2008, 22:48
|
Уважаемый Максим Агалаков!
Полагаю, что данном случае методом выбора (которому бы я последовал) является кортикотомия в/з локтевой кости, выполненная сразу после резекции опухоли, для замещения дефекта по Илизарову.
Всего доброго,
Л.Соломин
|
[
Ответить ]
|
Re: остеобластеокластома локтевой кости
В.Машталов 13 Апрель 2008, 22:50
|
Ув. коллега, наличие незаживающей раны и Р-логическая картина опухоли, несмотря на первичное заключение гистологов, настораживает на имеющиеся
"зло".
Как вариант- резекция опухоли, установка временного цементного спейсера, гистология всей опухоли. В последующем возможна пластика проксимальным участком м/берцовой кости с головкой.
С ув. В.Машталов
|
[
Ответить ]
|
Re: остеобластеокластома локтевой кости
Г.А.Пальшин 15 Апрель 2008, 23:53
|
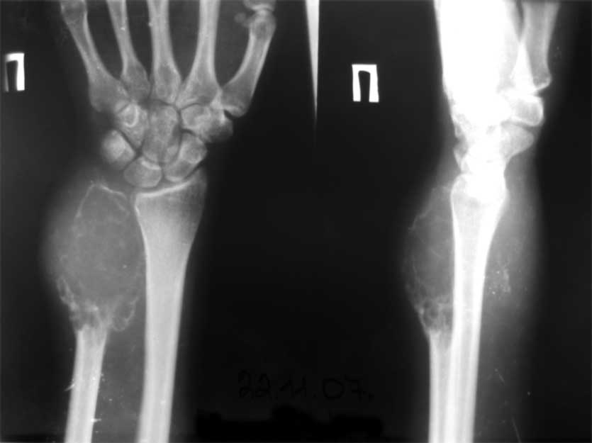
Наличие периостального козырька у основания свидетельствует об вторичном озлокачествлении гигантоклеточной опухоли. Отделяемое неоднократно исследуют цитологически на наличие опухолевых клеток, а также с посевом на микрофлору и чувствительность к а/биотикам. Абластичная резекция в пределах здоровых тканей с замещением дефекта цементном спейсером с антибиотиками в условиях инфекции является адекватным способом лечения.
С ув. Г. Пальшин
|
[
Ответить ]
|
Re: остеобластеокластома локтевой кости
Александр Виноградский 18 Апрель 2008, 22:17
|
Уважаемые коллеги! Нам не совсем понятна идея цементного спейсера в данном случае.Планируем резекцию в пределах здоровых тканей, и динамическое наблюдение. Через год - два, при гистологически и клиничесеки благоприятном исходе возможны реконструкции.
|
[
Ответить ]
|
Re: остеобластеокластома локтевой кости
Ростислав Никифоров 22 Апрель 2008, 21:32
|
Только один человек правильно назвал опухоль (гигантоклеточная), я бы посоветовал перепроверить стекла в другом отделении.
|
[
Ответить ]
|
Re: остеобластеокластома локтевой кости
Леспович 22 Апрель 2008, 22:43
|
Здравствуйте, коллеги!
Максим, учитывая незаживающую рану в области поражения, не исключен вариант резекции не только участка локтевой кости. Понимаете? Не исключаю того, что придется иссекать и окружающие мягкотканные структуры... Чем закрывать дефект будете? технически ой - как не просто...
Иногда малоберцовую кость пересаживают в комбинации с кожно-фасциальным лоскутом, выделяемым на перегородочно-кожных сосудах.
В любом случае идентификация,мобилизация, может и транспозиция (min)локтевого СНП понадобится, т.е. первый этап проведите обескровив конечность, под адекватной анестезией. А дальше по обстоятельствам...
Напишите, что увидете, сделаете, если есть возможность сфотографируйте.
С уважением Алексей.
|
[
Ответить ]
|
Re: остеобластеокластома локтевой кости
Зельский Илья Александрович 24 Апрель 2008, 15:02
|
Привет, Максим! рентгенологически явные признаки малигнизации ГКО.
Летом 07 года пациентка 17 лет была прооперирована в детском отделении (рентгенологическая картина та же, гистология(от онкологов, открытая биопсия) - остеобластокластома литический вариант без признаков малигнизации.
Была сделана частичная резекция н-3 с аутотрансплантатом с фиксацией апп. Илизарова.
Через 1 месяц после операции бурный продолженный рост опухоли.
После курса комбинированной терапии у екатеринбургских онкологов больную отправили в Москву. Как сложились ее дела там - не знаю.
Так что не верь гистологии, верь глазам своим.
Екатеринбург, УНИИТО
|
[
Ответить ]
|
Re: остеобластеокластома локтевой кости
Отправитель: Maxim Agalakov 25 Апрель 2008, 21:12
|
Уважаемые коллеги, благодарю за проявленный интерес и прошу прощения з-а паузу.
Попытаюсь ответить оптом.
Да, есть сомнения в доброкачественности опухоли, остобластеокластома - на самая тривиальная вешь, по клеточному составу может быть доброкачественной и при этом давать очаги в других органах (наблюдал историю одной пациентки с такой ситуацией- очаги в легких, прощло уже 10 лет, без признаков прогрессирования, химиотерапия не проводилась. биопсия и оперативное лечение неоднократно бСССР, заключительный раз -UK. как раз 10 лет назад). Да и как вы объясните пациентке в необходимости ампутации руки, если 3 гистологических заключения свидетельствуют о доброкачественности, у нас в такой ситуации и онкологи на такое не идут, потому отправляют к ортопедам.Рентген тоже не окончательная инстанция, уверен, патогистологам здесь есть, что сказать.
Основную задачу вижу в резекции опухоли в пределах здоровых тканей, плстические проблемы будем решать позже: по-заживлению раны. отсутствии рецидива.
Незаживающая рана, по-моему, является последствием резекционной биопсии в условиях, когда кожа и мягкие ткани были натянуты над опухолью и буквально лопнули при прикосновении скальпеля.
С уважением. Максим Агалаков
|
[
Ответить ]
|
Re: остеобластеокластома локтевой кости
Отправитель: Maxim Agalakov 14 Май 2008, 19:26
|

Уважаемые коллеги, госпитализировали, наконец, эту пациентку, чему не очень рады, как клиническая, так и рентгенологическая картины изменились, кроме того Hb 76.Направил на повторную консультацию к онкологу. Остеобластеокластома может себя так вести?
|
[
Ответить ]
|
Re: остеобластеокластома локтевой кости
Отправитель: Konstantin Kudinow 15 Май 2008, 15:20
|
Может. Злокачественная. Надо обследовать в соответствии со стандартом, очень быстро и, желательно, сделать КТ ОГП. Уровень ампутации - н\3 плеча. Плюс обязательно надо сделать подмышечную лимфаденэктомию на предмет метастазов. Прогноз неблагоприятный.
Хотя ИМХО, конечно. Нужно больную смотреть. Вам, на месте, всяко виднее.
С уважением.
ЗЫ, а я не помню, Вы ей биопсию брали? Если нет, ампутацию можно проводить только по заключению гистолога, во избежание судебных проблем.
|
[
Ответить ]
|
Re: остеобластеокластома локтевой кости
Отправитель: Maxim Agalakov 15 Май 2008, 21:14
|
ЗЫ, а я не помню, Вы ей биопсию брали?
троекратно, заключительный раз резекционная, стекла смотрели 3 разных патогистолога - заключения однозначные: ОБК без признаков озлокачествления. В такой ситуации - зачем лимфаденэктомия?
С уважением, Максим.
|
[
Ответить ]
|
Re: остеобластеокластома локтевой кости
Отправитель: Рашид Муртузалиевич Тихилов 15 Май 2008, 23:35
|
Уважаемый Максим,
Клинико-рентгенологически очень похоже на хондросаркому..... Хотя, конечно же, необходимо гистологическое заключение...
С уважением, Р.Тихилов
|
[
Ответить ]
|
Re: остеобластеокластома локтевой кости
Отправитель: Konstantin Kudinow 16 Май 2008, 07:23
|
Плоховато она выглядит на снимках.
А гистологию зачем 3 раза брали? Сомневались, что-ли? После каждого вмешательства опухоли свойственно преобретать более агрессивный характер, ОБК - очень часто (да, блин, всегда) рецидивирует после неадекватных вмешательств, более злая, чем раньше. Более злая - это значит менее дифференцированная или вообще не дифференцированная, быстрее растущая, прорастающая, рано дающая метастазы в ЛУ, рядом, и в ОГП. У меня был случай, когда рецидив ОБК оказался низкодифференцированной остеогенной саркомой, то-есть произошла трансформация опухоли (хотя вопрос на эту тему - дискутабельный). В литературе такое тоже описывают.
С уважением.
ЗЫ. Руку, по-моему, нужно пилить не откладывая.
|
[
Ответить ]
|
Re: остеобластеокластома локтевой кости
Отправитель: Г.А.Пальшин 16 Май 2008, 13:55
|
Уважаемые коллеги. По данным рентгенограммы опухоль больше похожа на злокачественную фиброзную гистиоцитому или телеангиоэктотический вариант остеогенной саркомы с поражением кожных покровов. По данным 6 отделения ЦИТО (Бурдыгин В.Н., А.В. Балберкин) и докторской диссертации А.Н. Махсона при поражении низкодифференцированной, т.е. высокозлокачественной опухолью кожных покровов или магистральных сосудисто-нервных структур органосохраняющие оперативные методы лечения не показаны, т.к. имеются отдаленные не диагностируемые метастазы. Показано комбинированное оперативное лечение по принципам неоадъювантной ПХТ.
Г. Пальшин.
|
[
Ответить ]
|
Re: остеобластеокластома локтевой кости
Отправитель: А.Г.Рыков 16 Май 2008, 16:14
|
Может при озлокачествлении (литическая форма), но уж больно похоже на хондро SA.
А. Рыков
|
[
Ответить ]
|
Re: остеобластеокластома локтевой кости
Отправитель: Maxim Agalakov 17 Май 2008, 23:19
|
А гистологию зачем 3 раза брали? Сомневались, что-ли?
сомневались, мы взяли пациентку, потому что другие учреждения отказались, онкологи не взяли, потому как в основном делают ампутации, при "зле", остальное - ортопедия.
С уважением, Максим
|
[
Ответить ]
|
|
Re: остеобластеокластома локтевой кости
Ютовец Юрий 20 Май 2008, 10:46
|
Уважаемый Максим.
по опыту нашего отделения, могу сказать, что сохранная операция под большим сомнением.
и согласен с мнением коллег.
скажите - иммуногистохимию делали?
я знаю, что относительно костных опухолей это достаточно проблематичное исследование, но не невозможное.
опухоль достаточно коварная, и не даром, вынесена отдельно в классификации.
здесь лучше не играть с "огнем".
я только не увидел данные томограмм.
в любом случае проблема сложная.
|
[
Ответить ]
|
( Ответить )
|
|