AOTRAUMA.ORG Центр Илизарова  

Ортопедия и травматология Общие вопросы/General questions Help Информационные технологии в медицине
 вверх
 отправить
 поиск
 админ
 главная


Перелом вертлужных впадин
Ортопедия и травматология Отправлено Миронов Андрей 26 Апрель 2008, 17:09
На лечении находится пациент с переломом обеих вертлужных впадин. Хотелось бы услышать ваши советы, комментарии по тактике лечения данного больного.
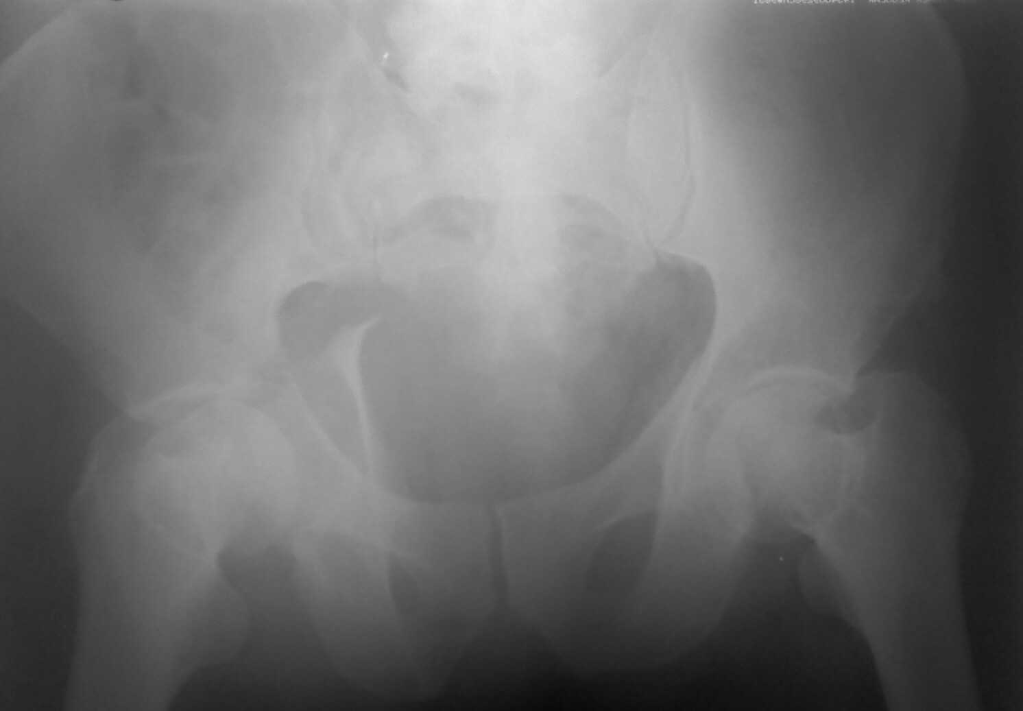
Добрый день ув.коллеги. Теперь подробнее.В нашем отделении находится пациент с тяжелой сочетанной травмой (множественные переломы ребер, тупая травма живота с повреждением печени, селезенки) с нашей стороны тяжелая травма таза.С момента травмы прошло 3 недели.при поступлении в экстренном порядке пациентом занимались хирурги, затем проводилось интенсивное лечение в реанимации. сначала боролись с двухсторонним гемопневмотораксом, потом с пневмонией. В течении всего времени пациент находился в положении по Волковичу, других мер не принималось (почему не знаю). На сегодняшний день состояние больного стабильное, удовлетворительное.пневмония разрешилась, проблем по животу и легким нет, по анализам компенсирован. На представленной R-мме и КТ если я правильно расценил: справа имеется полный внутрисуставной двухколонный перелом, низкий вариант(С2)., слева поперечный перелом вертлужной впадины(В10) без смещения.(извините за качество, снято с телефона)Хотелось бы услышать ваше мнение, предложения по поводу лечения перелома костей таза. Стоит ли оперировать левую вертлугу? Чем предпочтительнее зафиксировать перелом справа? Заранее спасибо. С ув.Андрей.

<  |  >

 

  • Сообщения о Ортопедия и травматология
  • Также Миронов Андрей
  • Связаться с автором
  • Файл-вложение
  • Кликните для загрузки файла Doc1.docx
    35KB (35862 bytes)

  • Ответить

    Re: Перелом вертлужных впадин
    Alexander Chelnokov 26 Апрель 2008, 21:24
    Не удалось увидеть рентгенограмму. Картинку лучше приложить как картинку, без обертки в файл Word. Еще и той версии, которая установлена далеко не у всех.


    [ Ответить ]

    Re: Перелом вертлужных впадин
    Миронов Андрей 26 Апрель 2008, 22:41



    Извините, пробую еще раз


    [ Ответить ]

    Re: Перелом вертлужных впадин
    Maxim Agalakov 28 Апрель 2008, 20:40
    >Хотелось бы услышать ваше мнение, предложения по поводу лечения перелома костей таза.

    сделать стандартные проекции Judet и отфотографировать их в лучшем качестве, увеличить микропленку, выложить срезы на уровне свода вертлужных впадин.
    С уважением, Максим Агалаков
    [ Ответить ]


    ( Ответить )

    Powered by Zope  Squishdot Powered MedLink
    Посетитель: 0000133
      "По форме правильно, а по существу - издевательство" В.И.Ленин
    ©2001-2019Orthoforum Coordinator.
    [ Главная | Отправить сообщение | Поиск | Админ ]