AOTRAUMA.ORG Центр Илизарова  

Ортопедия и травматология Общие вопросы/General questions Help Информационные технологии в медицине
 вверх
 отправить
 поиск
 админ
 главная


Пролежень+несращение
Ортопедия и травматология Отправлено Илья 02 Июнь 2008, 19:05
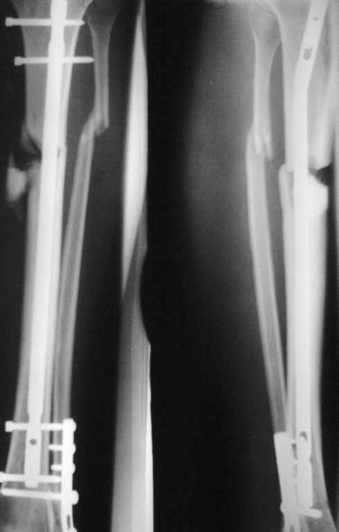
Здравствуйте ув.коллеги.Прошу совета относительно тактики лечения.
Б-й О.25лет прооперирован 7 мес. назад, сформировался пролежень ок. 2-х мес назад.Передвигается с 50% нагрузкой с помощью трости.
Предлагается остеотомия м/берцовой кости,удаление фрагмента, динамизация стержня с введением поллерного винта.
Какие варианты в данной ситуации возможны?
Зараннее благодарен.

<  |  >

 

  • Сообщения о Ортопедия и травматология
  • Также Илья
  • Связаться с автором
  • Ответить

    Re: Пролежень+несращение
    Alexander Chelnokov 03 Июнь 2008, 01:33
    Надо полагать, пролежень вызван отломком по медиальной поверхности - конечно, его давно надо удалить. Здесь можно убрать самый дистальный винт, второй там динамический. Пора бы уже и убрать позиционный винт из синдесмоза. Насчет остеотомии малоберцовой кости - можно сначала пару месяцев подождать результатов динамизации. Куда намереваетесь ввести отклоняющий винт и зачем?
    [ Ответить ]


    ( Ответить )

    Powered by Zope  Squishdot Powered MedLink
    Посетитель: 0000033
      "По форме правильно, а по существу - издевательство" В.И.Ленин
    ©2001-2019Orthoforum Coordinator.
    [ Главная | Отправить сообщение | Поиск | Админ ]