AOTRAUMA.ORG Центр Илизарова  

Ортопедия и травматология Общие вопросы/General questions Help Информационные технологии в медицине
 ВХОД ДЛЯ ПАЦИЕНТОВ
 вверх
 поиск
 админ
 главная


Аневризмальная киста
Ортопедия и травматология Прислано Курышев Данила 05 Июнь 2008, 02:01
из ТДГБ г.Москва
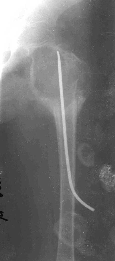
Ребёнок 7 лет. Девочка. Патологический перелом на фоне кисты бедренной кости в ноябре 2007 года.
Скелетное вытяжение. Первичное сращение перелома. После сращения выполнено проведение ТЕN до шейки бедра в надежде на некую стабильность и дренирование кисты в костномозговой канал. На гистологии – типичная картинка для аневризмального процесса. Ребёнок выписан и в апреле 2008 года госпитализирован повторно в связи с прогрессированием аневризмальных изменений на рен.снимках. Двукратное промывание полости гемостатиками под наркозом. Кровь артериальная под давлением 12-15 см.
Повторное в этом году поступление – неделю назад. Резкие боли в области левого бедра после неловкого падения. Срочно госпитализирована. На рентгенограмме – обширное вздутие кортекса проксимального отдела бедра, распространяющееся от физарной зоны до малого вертела. На пункции – артериальная кровь под давлением 14-15 см. Промывание гемостатиками так и не дало чистых вод. Наружный дренаж оставлять опасно.
Течение заболевания практически не оставляет сомнений в необходимости перейти на открытое вмешательство. Вот только сам план операции породил множество версий. Радикальнее всего (и кровавее) – резекция, «семафорная пластика» трансплантатами. Сердце не лежит, так как ели уже рецидивы с полным восстановлением картины через несколько лет у детей в этом возрасте, да и массивно, с кровопотерей превеликой. Красив вариант с кистоскопией артроскопом. Имеется изогнутый каутер, которым, под контролем оптики, можно останавливать кровотечение из сосудов, однако угол зрения оптики и угол полезного действия каутера не безграничны. Больше склоняемся к открытой трепанации кисты. Важнейшим вопросом является – чем и как заполнять полость кисты. Рассматриваются варианты: введение TEN до головки через костномозговой канал, цементирование фиксатора у верхнего и нижнего края кисты, заполнение губчатым аллотрансплантатом; тугое заполнение кисты гелем чешской IKVA, с соответствующим гемостазом; последний вариант – коагуляция всего и вся с заполнением полости гранулами или чипсами. Все эти мысли с оглядкой на неблагоприятно-агрессивное течение процесса в активной кисте. Ошибаться не хочется.
Будем очень признательны за любой конструктивный совет по дальнейшему лечению девочки.
С уважением.
Курышев Данила

Послать ответ

Имя
Email
Уведомление Сообщить мне по e-mail об ответах на это сообщение
Название
Комментарий
(Проверьте URL! Не забудьте написать http://!)
Кодировка
Если не знаете, что выбрать, выберите "Просто текст"!
Приложение
Можно приложить к сообщению файл c изображением, который затем будет доступен увидевшим сообщение.
Подготовка иллюстраций:
  • Рентгенограммы: черно-белые полутоновые изображения в формате JPEG (8 bit, greyscale) с разрешением от 300х200 до 1024х768 пикселов;
  • Клинические фотографии: полноцветные изображения в формате JPEG (24 bit, truecolor) с разрешением от 300х200 до 1024х768 пикселов;
  • Схемы и рисунки: черно-белые (2 bit) штриховые (line-art) изображения в формате GIF или compressed TIFF
  • Подберите степень сжатия файла JPEG и размер изображения таким образом, чтобы необходимые детали были различимы, но размер файла не превышал 75 кб.
  • Учтите, что текущая версия программного обеспечения Форума позволяет приложить к одному сообщению лишь один файл-вложение. Поэтому, если необходимо отправить несколько изображений, можно либо послать каждое как отдельное сообщение, либо в графическом редакторе объединить изображения в одно (сделать коллаж).
  • Если при подготовке изображений встречаются трудности, не стесняйтесь обратиться к координатору Форума.

  • Введите видимые символы в обратном порядке. Enter the above characters in reverse order (*Обязательно)
    В тексте сообщения можно использовать теги HTML <B> <I> <P> <A> <LI> <OL> <UL> <EM> <BR> <TT> <HR> <STRONG> <BLOCKQUOTE> <DIV .*> <DIV> <P .*>
  • Обратите внимание: Поля с жирными названиями обязательны.
  • Старайтесь отвечать в рамках обсуждаемой темы, а не начинать новые обсуждения.
  • Указывайте адекватную тему сообщения, чтобы было ясно, о чем оно.
  • Не послайте сообщений не по теме (оффтопик), раздраженных, грубых или обидных комментариев. Здесь это неуместно.
  • Powered by Zope  Squishdot Powered MedLink
    Посетитель: 0148424
      "По форме правильно, а по существу - издевательство" В.И.Ленин
    ©2001-2019Orthoforum Coordinator.
    [ Главная | Отправить сообщение | Поиск | Админ ]