Ответить
|
Re: Дисплазия фаланги пальца стопы
Дедок Михаил 29 Июль 2008, 17:54
|
было бы неплохо посмотреть рентгенограммы....
|
[
Ответить ]
|
Re: Дисплазия фаланги пальца стопы
Evgeniy U 30 Июль 2008, 06:57
|
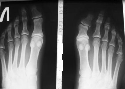
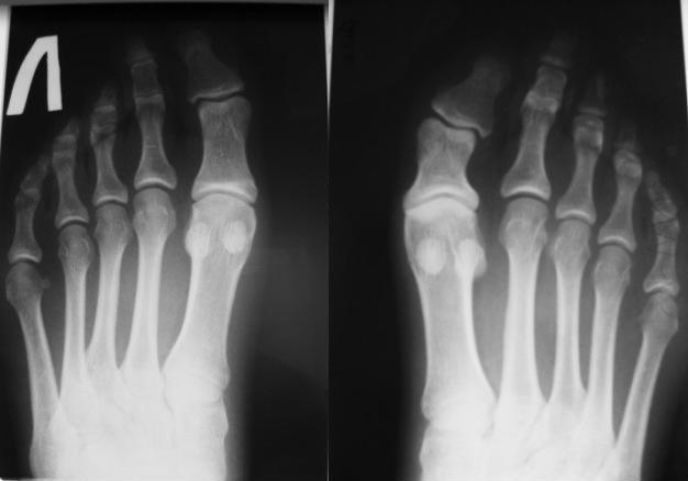
Рентгенограммы прилагаю.

|
[
Ответить ]
|
Re: Дисплазия фаланги пальца стопы
М. Майсигов 30 Июль 2008, 22:49
|
может просто выпрямить прксимальную фалангу остеотомией с маааааленьким клином, а вместо удлиннения пальца укоротить 2 палец, он и на здоровой стопе длинноват
|
[
Ответить ]
|
Re: Дисплазия фаланги пальца стопы
Павел Кирилюк 31 Июль 2008, 01:05
|
Уважаемый Евгений !
Как на счет укоротить второй палец и провести корегирующую остеотомию на первом ?
И поще и реабилитация короче и задачу больной выполните .
С уважением , Павел.
|
[
Ответить ]
|
Re: Дисплазия фаланги пальца стопы
Evgeniy U 01 Август 2008, 00:07
|
Благодарю за совет. Вот только пациентка считает,что не совсем верно и логично "подгонять" здоровые пальцы на стопе под диспластичный. И в результате получить ещё более проблемную с эстетической точки зрения стопу на 1/2 размера меньше. Считаю эту тактику ошибочной. Думаю, что стоит остановиться на варианте коррегирующей остеотомии фаланги с одномоментной кстной пластикой. Выполнив операцию, постараюсь ознакомить Вас с результатом. Благодарю за помощь. С уважением Евгений
|
[
Ответить ]
|
Re: Дисплазия фаланги пальца стопы
Дедок Михаил 04 Август 2008, 01:15
|
Есть маленькие аппараты Волкова-Оганесяна для пальцев кисти или аппарат Коршунова.Но на стопе?...
По помоему очень неудобно и нефункционально.
Оптимально корригирующая "плюс" остеотомия с костной аутопластикой. Фиксировать тонкими спицами.
Что касается 2 пальца -так называемый "греческий" тип стопы - один из вариантов нормы. Его укорачивают при HALLUX VALGUS с сочатании с молоткообразной деформацией 2 пальца в зависимости от степени удлинения. Здесь молоткообразной деформации нет. Трогать по-моему не стоит.
Не надо "выравнивать"любой ценой. Будут эпидермальные пузыри при чрезмерной растяжении.
|
[
Ответить ]
|
( Ответить )
|