Ответить
|
Re: подбор имплантата
Sereda Andrey 22 Август 2008, 16:21
|
Здравствуйте
|
[
Ответить ]
|
Re: подбор имплантата
Отправитель: Sereda Andrey 22 Август 2008, 16:22
|
, а обычные рентгенснимки есть?
|
[
Ответить ]
|
Re: подбор имплантата
Отправитель: С. Киселев 22 Август 2008, 16:57
|
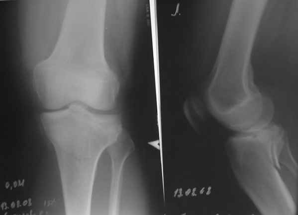
конечно есть, просто не дошли. Посылаю

|
[
Ответить ]
|
Re: подбор имплантата
Отправитель: Sereda Andrey 22 Август 2008, 22:16
|
Действительно, доступ капризный. Из имплантов я бы выбрал Tomofix от синтез.
|
[
Ответить ]
|
|
Re: подбор имплантата
Alexander Chelnokov 22 Август 2008, 21:10
|
Проблема тут, видимо, не в выборе имплантата, а в том, что надо делать остеосинтез задним доступом. А пластинка подойдет практически любая - небольшая T-образная, хоть две 1/3 трубчатых. Угловая стабильность необязательна. Лишь бы трансплантат не вываливался. На КТ хорошо бы увидеть еще и срезы в сагиттальной и фронтальной плоскостях.
|
[
Ответить ]
|
Re: подбор имплантата
Юрий Алексеевич Булахтин 23 Август 2008, 10:03
|
Здравствуйте, С. Киселев!
Каково состояние задней крестоообразной связки по УЗИ?
Если целая я советовал бы ограничиться минимальным объемом вмешательства - компрессионные винты спереди. Только надо
тщательно подобрать размер и винтов и их резьбовой части.
При повреждении задней крестообразной связки - ревизия из заднего доступа, обычно фрагмент с основанием достаточно большой и его можно
зафиксировать двумя винтами. Если же надо восстанавливать связку - можно из этого-же небольшого заднего доступа и отломок "привязать" протезом.
Этой фиксации достаточно, срастется. "Tomofix" мне представляется здесь избыточной, а сзади еще
ставить муторно.
С уважением,
Юрий Алексеевич Булахтин
|
[
Ответить ]
|
( Ответить )
|
|