вверх
отправить
поиск
админ
главная
|
Ложный сустав большеберцовой кости |
 |
 |
 |
Отправлено Магданов Денис 31 Август 2008, 18:02
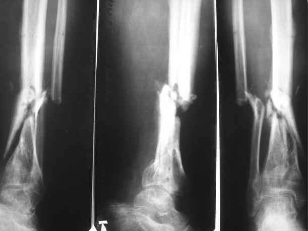
Здравствуйте, уважаемые коллеги. Хотелось бы услышать ваше мнение по следующему случаю: Пациент 35 лет, травма в декабре 2007 г. Открытый оскольчатый перелом костей левой голени в нижней трети со смещением отломков. Травма в результате ДТП. В этот же день выполнена ПХО открытого перелома костей левой голени, скелетное вытяжение. На 3 день ЧКДО с учетом повреждения мягких тканей. Посттравматический период осложнился обширным циркулярным некрозом кожи. Через этапные некроэктомии, и свободную кожную пластику раны зажили вторичным натяжением. По заживлении мягких тканей перемонтаж аппарата. Выписан на амбулаторное лечение. В августе 2008 г. из за выраженного воспаления в местах выхода спиц, аппарат демонтирован. Явления воспаления купированы. Данных за остеомиелит не получено. На данный момент имеем: ложный сустав левой большеберцовой кости в нижней трети. Укорочение левой нижней конечности на 3 см. Комбинированная контрактура левого голеностопного сустава. Клинически – патологическая подвижность в области перелома. Лабораторные показатели в пределах нормы. Местно воспалительных явлений мягких тканей нет. Планы: 1. Вариант № 1(основной) – в два этапа. 1. Наложить спице-стержневой аппарат, за 5 – 7 – 10 дней устранить смещение отломков (восстановить ось большеберцовой кости). 2 этап закрытый блокированный остеосинтез цельным гвоздем диметра 10 – 11 мм для низких переломов голени (Эксперт, Мастер…). Сначала в статику на 2-3 недели, затем динамизацию. Вопрос: 1.Достаточна ли длина дистального отломка для жесткой фиксации на гвозде ( как минимум на 3 винтах)? 2. Как будут проходить гибкие риммеры через область ложного сустава при рассверливании костно – мозгового канала? 3. Возможно ли выполнить закрытый блокируемый остеосинтез без предварительного наложения КДА? 4. Где могут быть технические трудности?
Вариант №2 КДА по Илизарову, работать в аппарате, устранить смещение, компрессия, дистракция. Вариант № 3. КДА по Илизарову , + костная пластика из крыла подвздошной кости кортикально -губчатым трансплантатом, или из малоберцовой кости. К сообществу за советом! С уважением Д. Магданов.
<
|
>
|
|
Ответить
|
Re: Ложный сустав большеберцовой кости
Lespovich 31 Август 2008, 21:40
|
Печальный опыт многих поколений ортопедов хранит известное высказывание: <Все кости человеческого тела заполнены костным мозгом, а большеберцовая кость ? черной неблагодарностью>.
При развитии посттравматического остеомиелита большеберцовой кости всегда имеется поражение ее участков, радикальное удаление которых приводит к появлению (увеличению уже имеющихся) дефектов кости. Последние, как правило, сочетаются с дефектами или обширными рубцовыми изменениями мягких тканей в очаге поражения, что делает лечение пациентов данной группы еще более сложным. Наиболее важной общей причиной неудач традиционного лечения в этих случаях является резкое снижение остеогенетической потенции тканей в зоне ложного сустава. Поэтому патогенетически обоснованным методом лечения таких больных является сочетание остеосинтеза отломков большеберцовой кости с пересадкой в зону ложного сустава хорошо кровоснабжаемых тканей, а следовательно, и новых источников регенерации (резекция концов костных отломков и окружающих склеротически измененных тканей с последующей пересадкой кровоснабжаемого трансплантата из малоберцовой кости, предварительно выяснив состояние сосудов этой голени).
|
[
Ответить ]
|
Re: Ложный сустав большеберцовой кости
Отправитель: Alexander Chelnokov 31 Август 2008, 22:38
|
Пересадка сегментарных трансплантатов на сосудистой ножке актуальна в первую очередь для сегментарных дефектов. В этом случае и нету большого дефекта сейчас, и не видно необходимости его формировать.
Тут при активизации инфекции (неясно, где локализованной) скорее надо думать либо о временном спейсере из цемента с антибиотиками, либо о гвозде с антибиотико-цементым покрытием.
|
[
Ответить ]
|
|
Re: Ложный сустав большеберцовой кости
Alexander Chelnokov 31 Август 2008, 21:51
|
МД> Комбинированная контрактура левого голеностопного сустава.
Это что за "комбинированная"? С чем?
МД> 1.Достаточна ли длина дистального отломка для жесткой фиксации на
МД> гвозде ( как минимум на 3 винтах)?
В принципе. да, но не было ли это переломом пилона, что-то сейчас с суставом неладно. Есть ли более ранние снимки? А то, может, есть смысл сделать сразу и артродез голеностопного сустава.
Ну и насчет дремлющей инфекции тут не надо забывать.
МД> 2. Как будут проходить гибкие риммеры через область ложного
МД> сустава при рассверливании костно – мозгового канала?
Если проводник пройдет - то нормально будут. Но он может и не пройти. Надо сначала другими инструментами запаянные участки канала проходить.
МД> 3. Возможно ли выполнить закрытый блокируемый остеосинтез без предварительного наложения КДА?
Теоретически все возможно, но в условиях предварительного восстановления оси и длины аппаратом это намного менее проблематично.
МД> 4. Где могут быть технические трудности?
Да вроде основное упомянули.
|
[
Ответить ]
|
Re: Ложный сустав большеберцовой кости
Отправитель: Денис Магданов 02 Сентябрь 2008, 21:21
|
АЧ>Это что за "комбинированная"? С чем?
Сгибательно - разгибаельная, а вернее фиброзный анкилоз(качательные движения) с установкой стопы в эквинусе градусов 30.
АЧ>В принципе. да, но не было ли это переломом пилона, что-то сейчас с суставом неладно. Есть ли более ранние снимки? А то, может, есть смысл сделать сразу и артродез голеностопного сустава.
Вы обсолютно правы - линия перелома на первичных снимках доходила до сустава
|
[
Ответить ]
|
Re: Ложный сустав большеберцовой кости
Отправитель: Денис Магданов 02 Сентябрь 2008, 21:21
|
АЧ>Это что за "комбинированная"? С чем?
Сгибательно - разгибаельная, а вернее фиброзный анкилоз(качательные движения) с установкой стопы в эквинусе градусов 30.
АЧ>В принципе. да, но не было ли это переломом пилона, что-то сейчас с суставом неладно. Есть ли более ранние снимки? А то, может, есть смысл сделать сразу и артродез голеностопного сустава.
Вы обсолютно правы - линия перелома на первичных снимках доходила до сустава
|
[
Ответить ]
|
|
Re: Ложный сустав большеберцовой кости
Ivan Petrov 01 Сентябрь 2008, 00:07
|
Комбинированная контрактура - это термин, применяемый в военно-врачебной экспертизе. В переводе на нормальный - это сгибательно-разгибательная, или концентрическая (по Марксу) контрактура, хотя судя по данным анамнеза (9 месяцев от начала лечения) в суставе скорее всего фиброзный анкилоз. Вопрос в том, будет ли он болезненным при нагрузке. Скорее всего будет. Плюс имеется укорочении ноги. А, так как, уважаемый коллега, судя по применяемой им терминологии, военный доктор, и скорее всего не располагает возможностями микрохирургии, то наиболее приемлемый вариант - это резекция ложного сустав в пределах кровоснабжаемой кости, стабильная фиксация в "классическом" аппрате Илизарова (без стержней), остеотомия верхней трети большеберцовой кости для дистракционного остеосинтеза, и одновременное артродезирование голенностопного сустава(чтоб не терять время).
|
[
Ответить ]
|
Re: Ложный сустав большеберцовой кости
Отправитель: Alexander Chelnokov 01 Сентябрь 2008, 11:10
|
IP> Комбинированная контрактура - это термин, применяемый в
IP> военно-врачебной экспертизе. В переводе на нормальный - это
Военно-врачебная экспертиза вряд ли должна одну и ту же сущность называть по-разному с профильными специалистами.
IP> располагает возможностями микрохирургии, то наиболее приемлемый
IP> вариант - это резекция ложного сустав в пределах кровоснабжаемой
IP> кости, стабильная фиксация в "классическом" аппрате Илизарова (без
Это один из традиционных подходов. На сегодня появились и другие возможности (упомянутые гвозди с блокированием, спейсеры), которые могут обеспечить достижение желаемого результата в гораздо более короткий срок.
|
[
Ответить ]
|
Re: Ложный сустав большеберцовой кости
Отправитель: Денис Магданов 02 Сентябрь 2008, 21:34
|
AЧ>Военно-врачебная экспертиза вряд ли должна одну и ту же сущность называть по-разному с профильными специалистами.
Увы, но одну и ту же сущность называется по- разному, так прописана в инструкциях.
AЧ>Это один из традиционных подходов. На сегодня появились и другие возможности (упомянутые гвозди с блокированием, спейсеры), которые могут обеспечить достижение желаемого результата в гораздо более короткий срок.
Согласен полностью с Александром Николаевичем.
|
[
Ответить ]
|
Re: Ложный сустав большеберцовой кости
Отправитель: Ivan Petrov 03 Сентябрь 2008, 10:42
|
Даже на рентгенограммах видно, что ложный сустав имеет аваскулярный, гипопластический характер. Жизнеспособность свободнолежащего осколка тоже вызывает сомнения, скорее всего это некрост, что может быть подтверждено компьютерной томографией (она кстати будет полезна и при планировании закрытого "штифтования", так как на поперечных срезах вы увидите состояние костномозгового канала и оцените возможность закрытого проведения штифта). Более правильной представляется позиция доктора Lespovich. Введение в зону аваскулярного ложного сустава остеоиндуктивного материала необходимо. Либо пересадка, либо резекция концов сустава. Остекондуктивный материал и фиксация могут не сработать. Плюс имеется укорочение ноги и фиброзный анкилоз, кторые на штифте вы не вылечите.
|
[
Ответить ]
|
Re: Ложный сустав большеберцовой кости
Отправитель: Sereda Andrey 04 Сентябрь 2008, 00:16
|
Иван, остеоиндуктивный материал - это какой?
( имеются теоретические представления о: Представители семейства TGF-β, включающих в себя костный морфогенный протеин (BMP), подкласс факторов роста и дифференцировки BMP-1 (имеют нумерацию от одного до десяти), простагландин дельта 12 простагландин J2, ингибины, активины, нодальные гены и глиальный нейротропный фактор Кислотные и основные факторы роста фибробластов (aFGF и bFGF) Тромбоцит-транспортируемые факторы роста (PDGF) Инсулиноподобные факторы роста (IGF-I и IGF-II)BMP, тромбоцит-связанных факторах роста)
Но что из них сертифицировано в РФ?
|
[
Ответить ]
|
Re: Ложный сустав большеберцовой кости
Отправитель: Ivan Petrov 04 Сентябрь 2008, 20:46
|
Что-то я не помню, чтоб в академии тебя так к биохимии тянуло. А с остеогенными свойствами все проще. Ниже фотография из 11 издания Классического Руководства со ссылкой на источник. Все указанные материалы сертифицированы в РФ.
Безымянный.jpg
40KB (41750 bytes)
|
[
Ответить ]
|
Re: Ложный сустав большеберцовой кости
Отправитель: Sereda Andrey 05 Сентябрь 2008, 16:42
|
А, ну так бы и сказал, что аутопластика.
|
[
Ответить ]
|
|
( Ответить )
|
|