AOTRAUMA.ORG Центр Илизарова  

Ортопедия и травматология Общие вопросы/General questions Help Информационные технологии в медицине
 ВХОД ДЛЯ ПАЦИЕНТОВ
 вверх
 поиск
 админ
 главная


Несращение бедра
Ортопедия и травматология Прислано Виноградский Александр 15 Сентябрь 2008, 20:00
из СОКПН госпиталь для ветеранов войн
Уважаемые коллеги! Помогите определиться с дальнейшей тактикой лечения несращения бедра.
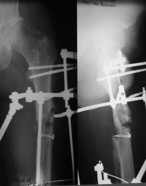
Пациент попал под наше наблюдение через 3 недели после первого остеосинтеза (фото 1). Учитывая, нестабильность остеосинтеза, выстоящий стержень закрыто перештифтовали (фото 2), через 3 месяца динамизация. К 5 месяцам имели укорочение 2 см, при том, что динамический винт стал статическим. От дальнейшей динамизации отказались, учитывая наличие контакта между фрагментами и возможность прогрессирования укорочения. К 1,5 года сращение не достигнуто (фото 3). Удалили гвоздь, выполнили дистракционный остеосинтез с целью стимуляции остеогенеза и компенсации укорочения (фото 4), потом закрыто перештифтовали после рассверливания (фото 5). На сегодняшний день, через 4 месяца после последней операции (фото 6) признаков регенерата нет, длина восстановлена, ходит без дополнительной опоры.
Возможные варианты: 1)подождать - однако регенерата не заметно 2)Снова потерять длину (динамизация, компрессирющий остеосинтез на этом гвозде, после перепроведения проксимальных винтов и копрессирующей заглушки, восстановление длины после сращения) 3)Костная пластика
Спасибо!

Послать ответ

Имя
Email
Уведомление Сообщить мне по e-mail об ответах на это сообщение
Название
Комментарий
(Проверьте URL! Не забудьте написать http://!)
Кодировка
Если не знаете, что выбрать, выберите "Просто текст"!
Приложение
Можно приложить к сообщению файл c изображением, который затем будет доступен увидевшим сообщение.
Подготовка иллюстраций:
  • Рентгенограммы: черно-белые полутоновые изображения в формате JPEG (8 bit, greyscale) с разрешением от 300х200 до 1024х768 пикселов;
  • Клинические фотографии: полноцветные изображения в формате JPEG (24 bit, truecolor) с разрешением от 300х200 до 1024х768 пикселов;
  • Схемы и рисунки: черно-белые (2 bit) штриховые (line-art) изображения в формате GIF или compressed TIFF
  • Подберите степень сжатия файла JPEG и размер изображения таким образом, чтобы необходимые детали были различимы, но размер файла не превышал 75 кб.
  • Учтите, что текущая версия программного обеспечения Форума позволяет приложить к одному сообщению лишь один файл-вложение. Поэтому, если необходимо отправить несколько изображений, можно либо послать каждое как отдельное сообщение, либо в графическом редакторе объединить изображения в одно (сделать коллаж).
  • Если при подготовке изображений встречаются трудности, не стесняйтесь обратиться к координатору Форума.

  • Введите видимые символы в обратном порядке. Enter the above characters in reverse order (*Обязательно)
    В тексте сообщения можно использовать теги HTML <B> <I> <P> <A> <LI> <OL> <UL> <EM> <BR> <TT> <HR> <STRONG> <BLOCKQUOTE> <DIV .*> <DIV> <P .*>
  • Обратите внимание: Поля с жирными названиями обязательны.
  • Старайтесь отвечать в рамках обсуждаемой темы, а не начинать новые обсуждения.
  • Указывайте адекватную тему сообщения, чтобы было ясно, о чем оно.
  • Не послайте сообщений не по теме (оффтопик), раздраженных, грубых или обидных комментариев. Здесь это неуместно.
  • Powered by Zope  Squishdot Powered MedLink
    Посетитель: 0000149
      "По форме правильно, а по существу - издевательство" В.И.Ленин
    ©2001-2019Orthoforum Coordinator.
    [ Главная | Отправить сообщение | Поиск | Админ ]