AOTRAUMA.ORG Центр Илизарова  

Ортопедия и травматология Общие вопросы/General questions Help Информационные технологии в медицине
 вверх
 отправить
 поиск
 админ
 главная
 Предыдущее


Re: Сегментарный перелом бедра - открыто или закрыто?
Солод Эдуард 06 Октябрь 2008, 21:05
Приветствую всех коллег!!Во первых слева хотелось бы видеть четкую боковую проекцию а лучше КТ. По р-мам есть сомнения насчет повреждения суставной поверхности. При подобных переломах даже внутрисуставных без смещения хорошие результаты показал закрытый ретроградный остеосинтез универсальным бедренным стержнем Деост.Кстати при внутрисуставном переломе возможно применение вместо винтов стягивающих болтов!!(См. метод.Деост).При переломе справа также стержень Деост. Однако без открытия Вам не удастся устранить интерпозицию, только промучаетесь!Из минимального разреза удалите интерпозициб и фиксируйте стержнем. Причем универсальный стежень Деост позволяет фиксировать дистально минимум на трех уровнях!
  • Сообщения о Ортопедия и травматология
  • Также Солод Эдуард
  • Связаться с автором
  • Ответить

    Re: Сегментарный перелом бедра - открыто или закрыто?
    Станислав Дмитриев 08 Октябрь 2008, 20:52
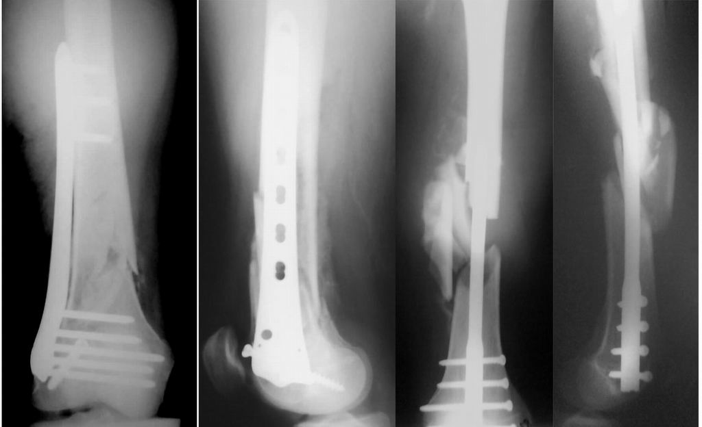
    Уважаемые коллеги! От имени Алексея Смирнова всем спасибо за обсуждение. Больной прооперирован. Снимки в приложении.


    [ Ответить ]


    ( Ответить )

    Powered by Zope  Squishdot Powered MedLink
    Посетитель: 0009250
      "По форме правильно, а по существу - издевательство" В.И.Ленин
    ©2001-2019Orthoforum Coordinator.
    [ Главная | Отправить сообщение | Поиск | Админ ]