ВХОД ДЛЯ ПАЦИЕНТОВ
вверх
поиск
админ
главная
|
Сегментарный перелом бедра - открыто или закрыто? |
 |
 |
 |
Прислано Алексей Смирнов 28 Сентябрь 2008, 23:15
из
Привет из Нижнего Новгорода!
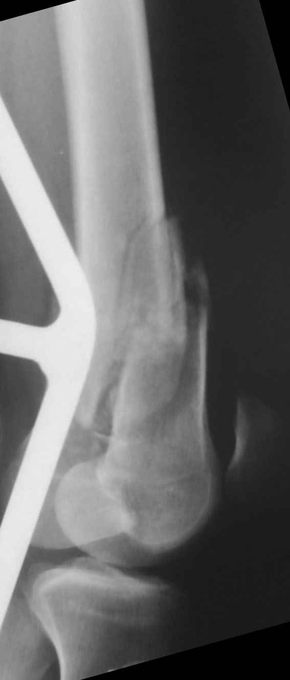
К нам поступил пациент 25 лет с закрытыми переломами обеих бедренных костей, прошел месяц после травмы.
Слева - внутрисуставной перелом, поэтому выбор здесь очевиден, открытая репозиция, стабильная фиксация, скорее всего LCP DF, а справа - мнения учёных, как говорится, разошлись. Лично я, как лечащий врач, за закрытый интрамедуллярный остеосинтез DFN. Со мной согласна половина коллектива, другая - за интрамедуллярный остеосинтез (DFN,UFN) но с открытой реопозицией, поскольку при закрытой методике все осколки останутся где-то сбоку, получится дефект и вдруг не срастется!
Философский вопрос: что лучше - красивая рентгенограмма или сохранение кровоснабжения? Очень важно мнение коллег!
Смирнов Алексей
Обратите внимание: Поля с жирными названиями обязательны.
Старайтесь отвечать в рамках обсуждаемой темы, а не начинать новые обсуждения.
Указывайте адекватную тему сообщения, чтобы было ясно, о чем оно.
Не послайте сообщений не по теме (оффтопик), раздраженных, грубых или обидных комментариев. Здесь это неуместно.
|