ВХОД ДЛЯ ПАЦИЕНТОВ
вверх
поиск
админ
главная
исходное
|
Re: Тяжелый открытый перелом бедра и голени - тактика
послал Djoldas Kuldjanov 19 Октябрь 2008, 17:43
|
Сегодня выполнена повторная достаточно радикальная хирургическая обработка ран, иссечены участки уже сформировавшихся некрозов на голени. Рана на бедре чистая, отек значительно уменьшился, так же к сожалению, как и количество отломков: часть пришлось удалить из-за полного отсутствия связи с мягкими тканями. Рана бедра закрыта вакуумной повязкой. Общее состояние улучшается. Последующие рентгенограммы обязательно представлю.”
Хирургическую обработку надо повторить неоднократно до очищения раны. Фиксатор типа "бедро-голень" помогает стабилизировать конечность и облегчит обслуживание.
Антибиотические бусы в мягких тканях оказывают то же действие, что и в костях, так что при наличии цемента с антибиотиком можно применить их для лечения.
Здесь похожий случай:

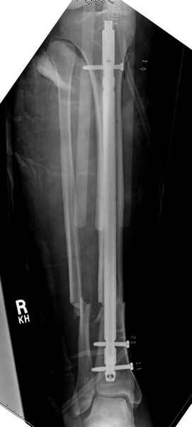
Больному с политравмой установлен наружный "spanning-bridging" фиксатор, после нескольких Irrigation&Debridment на фоне отрицательного посева из раны, через открытый участок установлен 4.5 mm Locking Plate.
На фоне фиксированного перелома бедра мероприятия по восстановлению мягкотканого покрова. Перелом голени зафиксирован после стабилизации бедра традиционным методом.
Антибиотические бусы могут быть оставлены в мягких тканях на длительный срок и не обязательно их удалять.
Из архива снимки самодельного "ваккумирования раны"
Djoldas Kuldjanov, MD
Department of Orthopedic Surgery
St. Louis University Medical Center
|
| Послать ответ |
Обратите внимание: Поля с жирными названиями обязательны.
Старайтесь отвечать в рамках обсуждаемой темы, а не начинать новые обсуждения.
Указывайте адекватную тему сообщения, чтобы было ясно, о чем оно.
Не послайте сообщений не по теме (оффтопик), раздраженных, грубых или обидных комментариев. Здесь это неуместно.
|