ВХОД ДЛЯ ПАЦИЕНТОВ
вверх
поиск
админ
главная
|
эндопротезирование коленного сустава |
 |
 |
 |
Прислано Игорь Атманский 26 Октябрь 2008, 10:37
из ЧелГМА
Уважаемые коллеги! К мне обратилась моя бывшая пациентка, 22 лет, с просьбой об эндопротезировнии коленного сустава. От артродеза категорически отказывается.
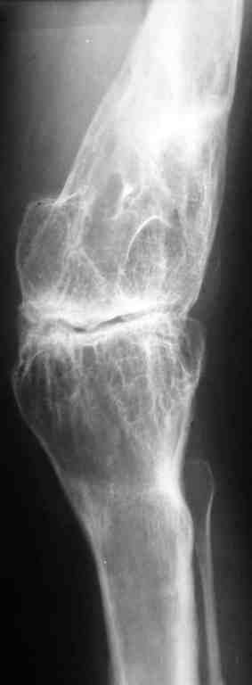
DS: Врождённая аномалия развития левой нижней конечности. Состояние после удлинения бедра и голени (около 45 см). Варусная деформация шейки лев. бедра. Лев. коксартроз II ст. Лев. гонартроз III ст. Разгибательная контрактура лев. коленного сустава. Парез малоберцового нерва слева. Укорочение лев. н/конечности 1,5 см.
Жалобы: на боли и нарушение функции в лев. коленном суставе.
St. localis: ходит в брейсе с опорой на 1 трость. Относительная длина ног S – 1,5 см. Движения в лев. т/б суставе: сгиб. 70, разг. 180, привед. 60, отвед. 110, вн. рот. 20, нар. рот. 10; в лев. к/сус. пассивно: сгибание 0, разг. - 180+ 30; активно на переразгибание и из положения переразгибание на сгибание 2балла. Под нагрузкой вальгусно-рекурвационная деформация: клиничски на val. – 15-20, rec. - 30. Движения в лев. голеностопном суставе (акт./пас.): тыл. фл. 0/90, под. фл. 170, отвед. 10/15, прив. 25. Функция в других суставах не нарушена.
Предполагаю, что наиболее лучшим вариантом будет двух этапное протезирование. На первом этапе – устранить антекурвацию на бедре аппаратом Илизарова; вторым этапом – протезирование – заднее-стабилизирующим протезом фирмы «Zimmer», т.к. маленькие размеры бедренной и большеберцовой костей.
Возможны ли другие варианты лечения?
Возможно ли одно этапное протезирование?
Целесообразно ли в данном случае протезирование? Может быть не стоит идти «на поводу» у пациентки.
Буду очень признателен всем, кто откликнется на мою просьбу.
С уважением Игорь Атманский.
Обратите внимание: Поля с жирными названиями обязательны.
Старайтесь отвечать в рамках обсуждаемой темы, а не начинать новые обсуждения.
Указывайте адекватную тему сообщения, чтобы было ясно, о чем оно.
Не послайте сообщений не по теме (оффтопик), раздраженных, грубых или обидных комментариев. Здесь это неуместно.
|