AOTRAUMA.ORG Центр Илизарова  

Ортопедия и травматология Общие вопросы/General questions Help Информационные технологии в медицине
 вверх
 отправить
 поиск
 админ
 главная


Опухоль бедренной кости
Ортопедия и травматология Отправлено Ihor 27 Октябрь 2008, 21:05
Здравствуйте ,уважаемые коллеги.
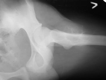
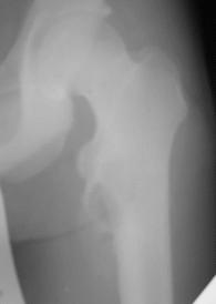
Обратился парень 15ти лет с жалобами на боли в левом коленном суставе. При обследовании обнаружена опухоль в в/з левой бедренной кости.
Проведено КТ заключение( остеохондрома)Подскажите пожалуйста, стоит ли сделать биопсию перед операцией .Кокой операционный доступ и технику операции Вы посоветуете.
С уважением Игорь.

<  |  >

 

  • Сообщения о Ортопедия и травматология
  • Также Ihor
  • Связаться с автором
  • Ответить

    Re: Опухоль бедренной кости
    Ihor 27 Октябрь 2008, 21:46
    Rg

    [ Ответить ]

    • Re: Опухоль бедренной кости
      Отправитель: Sereda Andrey 27 Октябрь 2008, 22:28
      Мне кажется, что это не очень похоже на остеохондрому. Может быть неоссифицированная фиброма? Думаю что перед принятием решения об одномоментной резекции либо о трепанбиопсии стоит более детально уточнить рентгенологический диагноз. Вполне может быть что и тактика изменится на выжидательную. У вас есть более качественные снимки РГ и КТ?

      [ Ответить ]
    • Re: Опухоль бедренной кости
      Отправитель: Alexander Chelnokov 27 Октябрь 2008, 22:40
      Настоятельная просьба картинки посылать в формате jpg, а не в bmp. Файл будет в 30-40 раз меньше. Соответственно, можно послать фото с большим разрешением, не ~200x300 пикселов, как присланные, а 1000x1200, или около того.

      [ Ответить ]
    Re: Опухоль бедренной кости
    Белоногов Алаксандр 28 Октябрь 2008, 16:58
    О какой операции может быть речь? Не классифицировано образование по ТNM? Боль в коленном суставе? А состояние регинарных лимфоузлов? Отдаленные метастазы?
    [ Ответить ]

    Re: Опухоль бедренной кости
    Makunin Vladimir 24 Ноябрь 2008, 10:50
    По снимку, хоть и не очень хорошего качества,похожн на кисту, гигантоклеточную опухоль, нельзя исключить саркому Юинга. Важно КТ и клиника.
    [ Ответить ]

    Re: Опухоль бедренной кости
    Makunin Vladimir 24 Ноябрь 2008, 10:51
    По снимку, хоть и не очень хорошего качества,похожн на кисту, гигантоклеточную опухоль, нельзя исключить саркому Юинга. Важно КТ и клиника.
    [ Ответить ]


    ( Ответить )

    Powered by Zope  Squishdot Powered MedLink
    Посетитель: 0424957
      "По форме правильно, а по существу - издевательство" В.И.Ленин
    ©2001-2019Orthoforum Coordinator.
    [ Главная | Отправить сообщение | Поиск | Админ ]