ВХОД ДЛЯ ПАЦИЕНТОВ
вверх
поиск
админ
главная
исходное
|
Re: Acetabular fracture
послал Andrey Ragozin 05 Декабрь 2008, 22:05
|
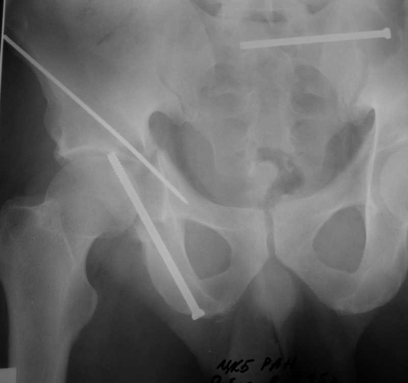
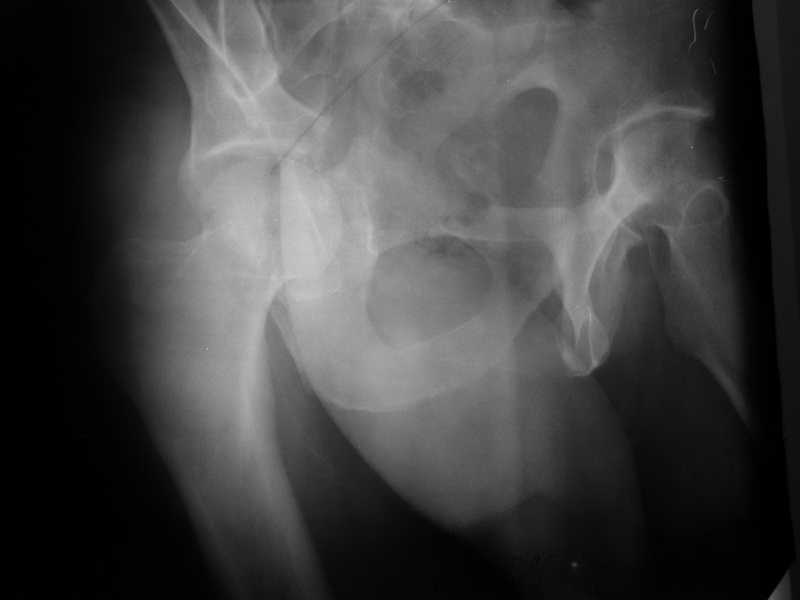
Yordan! In this case position of bone fragments is quite good. We
prefer to use miniinvasive technique. We fix posterior column by can. screw and put 3mm pin with distal thread to the anterior column. Next day after the surgery he may start walking with crutches. 3 month after the surgery we remove the pin. In cases of maleolar fractures we use
angle stable plates to lat. mal. and pins or screws and if syndesmosis is intact - full loading is not forbidden.
Sending exampl pict.

Best regards
Andrey Ragozin
|
| Послать ответ |
Обратите внимание: Поля с жирными названиями обязательны.
Старайтесь отвечать в рамках обсуждаемой темы, а не начинать новые обсуждения.
Указывайте адекватную тему сообщения, чтобы было ясно, о чем оно.
Не послайте сообщений не по теме (оффтопик), раздраженных, грубых или обидных комментариев. Здесь это неуместно.
|