Ответить
|
Re: Помогите определиться - перелом мыщелков правой большеберцовой кости
Alexander Chelnokov 10 Декабрь 2008, 22:51
|
По формулировке диагноза - перелом с нарушением формы суставной поверхности следует лечить хирургически с восстановлением этой самой формы. Вы немного тогда подробнее поясните, какие планы и возможности на месте, и в чем именно неясность.
|
[
Ответить ]
|
Re: Помогите определиться - перелом мыщелков правой большеберцовой кости
Белоногов Александр 11 Декабрь 2008, 13:48
|
Хотелось бы выслушать как бы вы поступили, мы запланировали: репозицию остеосинтез Т -обр простой пластиной внутреннего мыщелка,фиксацию межмыщелкового возвышения проволокой, фиксация головки малоберцовой кости либо винтом либо проволокой. Возможности наши????? Как бы сказать что-бы не заплакать. Это и есть все наши возможности. И еще есть вопрос: из опыта ваших отделений где чаще берете костные аутотрансплантаты, предпочтения, обоснования.
|
[
Ответить ]
|
Re: Помогите определиться - перелом мыщелков правой большеберцовой кости
Отправитель: Станислав Дмитриев 11 Декабрь 2008, 20:35
|
Здравствуйте, Александр! В не столь далеком прошлом, мы бы поступили так же. Аутокость брали и берем из крыла подвздошной кости. Не видя снимков трудно сказать более определенно. Компрессия медиального мыщелка - не столь частое повреждение. Не пропускаете ли Вы повреждение латерального плато? Иногда такие вещи обнаруживаются при артротомии. Тогда медиальной фиксации "простой" пластиной будет явно недостаточно. Удачи! И хотелось бы снимки???
|
[
Ответить ]
|
|
Re: Помогите определиться - перелом мыщелков правой большеберцовой кости
Белоногов Александр 13 Декабрь 2008, 07:35
|
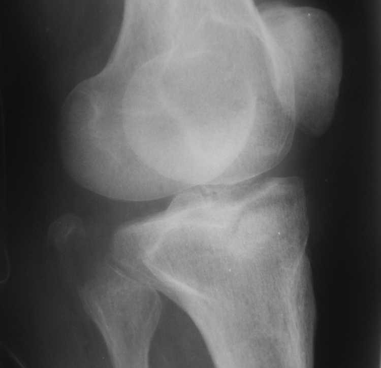
Высылаю рентгенограммы

|
[
Ответить ]
|
Re: Помогите определиться - перелом мыщелков правой большеберцовой кости
Адонин 13 Декабрь 2008, 23:52
|
1 совсем не уверен, что авульсию латеральной коллатеральной связкис маленьким фрагментом головки малоберцовой Вам удастся зафиксировать винтом или проволкой. Будьте готовы к другим методам фиксации или реконструкции связочного аппарата
2 если медиальный мыщелок - чистая импакция, без среза ( похоже на то по снимкам) - пластина, в общем-то, не нужна, достаточно "поднять" суставную поверхность, трансплантат ( совсем не обязательно аутотрансплантат - вполне подойдет автоклавированная чья-то головка бедра) и поддержать суставную поверхность парой крупных шурупов.
3 если есть возможность - было бы очень здорово перед операцией сделать КТ - можете найти много чего неожиданного
4 в данном случае хорошее место для забора трансплантата - мыщелки бедра - близко, можно взять трансплантат из того же разреза, под тем же турникетом, не надо обрабатывать второе операционное поле
|
[
Ответить ]
|
Re: Помогите определиться - перелом мыщелков правой большеберцовой кости
Адонин 13 Декабрь 2008, 23:53
|
1 совсем не уверен, что авульсию латеральной коллатеральной связкис маленьким фрагментом головки малоберцовой Вам удастся зафиксировать винтом или проволкой. Будьте готовы к другим методам фиксации или реконструкции связочного аппарата
2 если медиальный мыщелок - чистая импакция, без среза ( похоже на то по снимкам) - пластина, в общем-то, не нужна, достаточно "поднять" суставную поверхность, трансплантат ( совсем не обязательно аутотрансплантат - вполне подойдет автоклавированная чья-то головка бедра) и поддержать суставную поверхность парой крупных шурупов.
3 если есть возможность - было бы очень здорово перед операцией сделать КТ - можете найти много чего неожиданного
4 в данном случае хорошее место для забора трансплантата - мыщелки бедра - близко, можно взять трансплантат из того же разреза, под тем же турникетом, не надо обрабатывать второе операционное поле
|
[
Ответить ]
|
Re: Помогите определиться - перелом мыщелков правой большеберцовой кости
Alexey Semenisty 15 Декабрь 2008, 20:53
|
Без адекватной диагностики (стандартные передне-задняя и боквая проекции, дополнительные, а не единственные - косые, КТ) нечего думать об адекватных ответах и правильном предоперационном планировании... Неплохо бы еще знать механизм травмы, и совершенно необходимо иметь сведения о состоянии мягких тканей. Не гадайте на кофейной гуще и не просите этого от других!
"Qui bene diagnoscit — bene curat!"
С увужением А.Семенистый
ГКБ № 13, Москва.
|
[
Ответить ]
|
( Ответить )
|
|