AOTRAUMA.ORG Центр Илизарова  

Ортопедия и травматология Общие вопросы/General questions Help Информационные технологии в медицине
 вверх
 отправить
 поиск
 админ
 главная


болезнь Педжета
Ортопедия и травматология Отправлено Анатолий 25 Декабрь 2008, 17:14 Минская обл. клин. больница
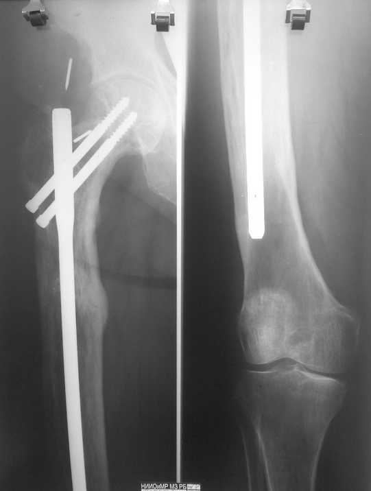
Год назад посылал сообщение о петологическом переломе
Год назад посылал сообщение о патологическом переломе на фоне болезни Педжета. Вот, в итоге, все зажило. Сообщение посылаю так, для ознакомления, может кому-то будет интересно. Всех с Рождеством!

<  |  >

 

  • Сообщения о Ортопедия и травматология
  • Также Анатолий
  • Связаться с автором
  • Ответить

    Powered by Zope  Squishdot Powered MedLink
    Посетитель: 0000095
      "По форме правильно, а по существу - издевательство" В.И.Ленин
    ©2001-2019Orthoforum Coordinator.
    [ Главная | Отправить сообщение | Поиск | Админ ]