вверх
отправить
поиск
админ
главная
|
Перелом проксимального отдела бедра |
 |
 |
 |
Отправлено А.Ситник 13 Январь 2009, 00:15
Больной 42 лет получил перелом проксимального отдела бедра. Ранее (1 год назад) оперирован на том же бедре по поводу оскольчатого диафизарного перелома. Четкой консолидации диафизарного перелома на рентгенограммах нет. Сопутствующие заболевания - tbs и гепатит С. При обсуждении хотелось бы услышать варианты лечения 1) "в идеале" и 2) с учетом социального статуса. Спасибо, А.Ситник
<
|
>
|
|
Ответить
|
Re: Перелом проксимального отдела бедра
Alexander Chelnokov 13 Январь 2009, 01:02
|
На снимке есть только дистальный отдел бедра, похоже, еще (или уже?) несросшийся на
фоне DCS. Что за перелом проксимального бедра, пока информации нет. Шлите снимки. И узнать бы, что доступно на месте для этого пациента.
|
[
Ответить ]
|
Re: Перелом проксимального отдела бедра
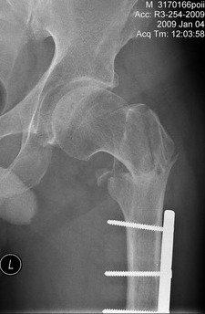
А.Ситник 13 Январь 2009, 09:37
|

Р-гр шейки
|
[
Ответить ]
|
Re: Перелом проксимального отдела бедра
Отправитель: Alexander Chelnokov 14 Январь 2009, 21:54
|
Теперь ситуация более ясная. Оптимальным тут, очевидно, было бы малоинвазивное удаление пластины и закрытый интрамедуллярный остеосинтез длинной гаммой или другим проксимальным гвоздем. Это не только обеспечило бы надежную фиксацию всех проблемных отделов бедра, но и позволило бы немедленную полную нагрузку.
Другие варианты менее привлекательны, хотя в итоге могли бы привести к успеху. Но ценой большей травматичности, длительности лечения, неудобств, трудоемкости и с бОльшими рисками неприятностей. Вариантов очень много - скелетное вытяжение, тазобедренная повязка, остеосинтез DHS или другой пластиной с угловой стабильностью, остеосинтез таким или другим аппаратом...
|
[
Ответить ]
|
|
( Ответить )
|
|