вверх
отправить
поиск
админ
главная
|
Отправлено Гоча 20 Январь 2009, 10:54 Краснодарская Краевая Клиническая больница
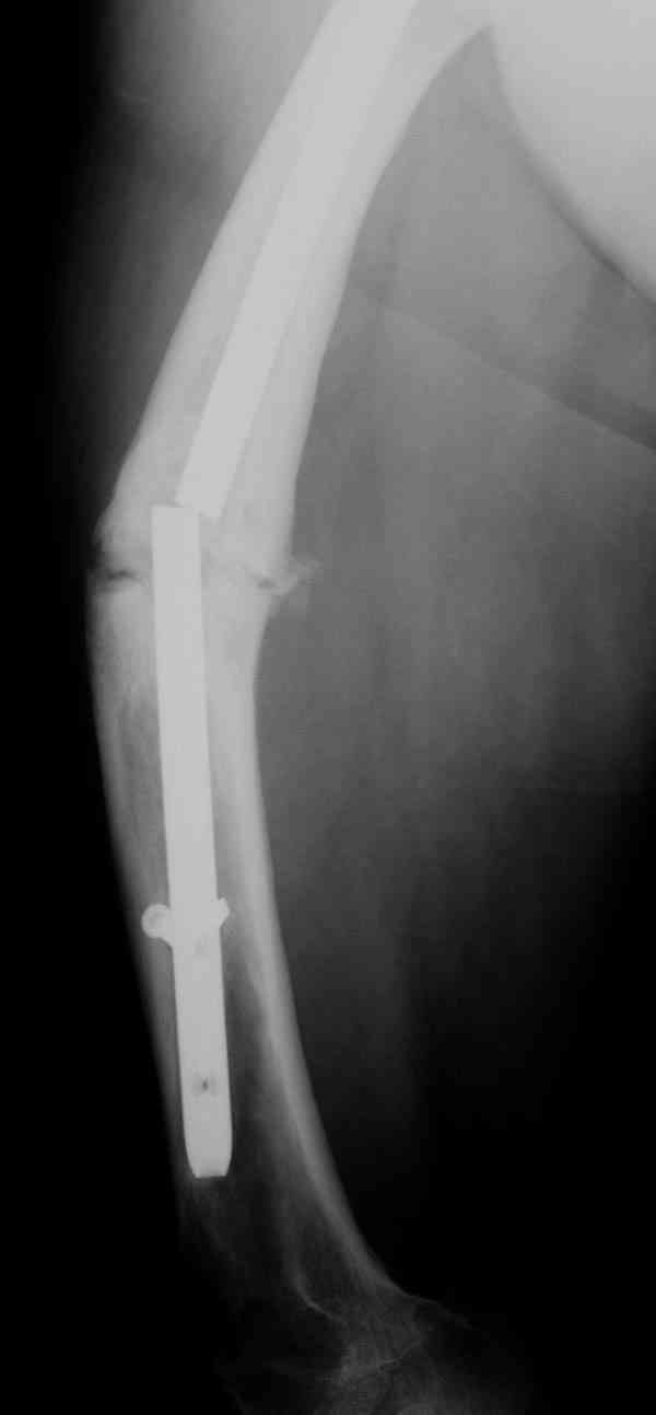
Уважаемые коллеги! У пациента 50-ти лет ложный сустав голени, перелом интрамедуллярного штифта. Перелому около 2 лет, ходить с полной нагрузкой начал через 3 мес. после операции. Боли при ходьбе почувствовал около 2 мес. назад. На данный момент ходит с полной нагрузкой без посторонней опоры. Среди коллег развернулась дискуссия по поводу способа оперативного лечения: -удаление штифта с перештифтовыванием блокированным штифтом с рассверливанием и остеотомией м\б кости -стабилизация зоны ложного сустава по медиальной поверхности LCP-пластиной с декортикацией или без -удаление штифта или без и синтез в АВФ с декотрикацией или без и остеотомией м\б кости
Какой из вариантов лучше, коллеги? Еще какие варианты возможны? Есть у кого-нибудь опыт закрытого удаления поломанного штифта с учетом наличия ЭОП-а?Заранее благодарен за ваше мнение!
<
|
>
|
|
Ответить
|
Re: Ложный сустав голени
Станислав Дмитриев 20 Январь 2009, 22:11
|
уважаемый коллега! Здесь имеется типичный тугой ложный сустав б/берцовой кости. У нас бы удалили старый стержень, реостеосинтез более толстым стержнем с рассверливанием с блокированием в динамическом варианте. Проблема будет с удалением дистального отломка стержня. Здесь на форуме это вопрос уже рассматривался неоднократно. Поищите по поисковику.Вот здесь, кажется http://weborto.net/forum/1164105478/, http://weborto.net/forum/1192794837
и продолжение http://weborto.net/forum/1196277461/index_html
Удачи. Станислав Дмитриев
|
[
Ответить ]
|
Re: Ложный сустав голени
Alexander Chelnokov 21 Январь 2009, 01:21
|
Г> Какой из вариантов лучше, коллеги? Еше какие варианты возможны?
Все перечисленные варианты способны привести к желаемому результату. Несращение здесь - результат нестабильности, так что любой вариант
стабилизации решит проблему. Одного безоговорочно лучшего нет, у всех есть плюсы-минусы.
Наименьший по инвазивности - наложение спицевого аппарата без удаления стержня, с последующей либо дистракцией либо компрессией. Можно и устранить антекурвацию, это тоже создаст стабилизирующее напряжение тканей.
Наиболее быстро достичь опорности без боли и внешних приспособлений - удаление и блокируемый реостеосинтез с рассверливанием. Лучше бы тоже с
восстановлением оси (отклоняющая спица в дистальном отломке, чтобы новый стержень прошел не в старый канал, а кзади от него), еще и для создания дополнительного напряжения тканей в области несращения. Открывать зону несращения не надо.
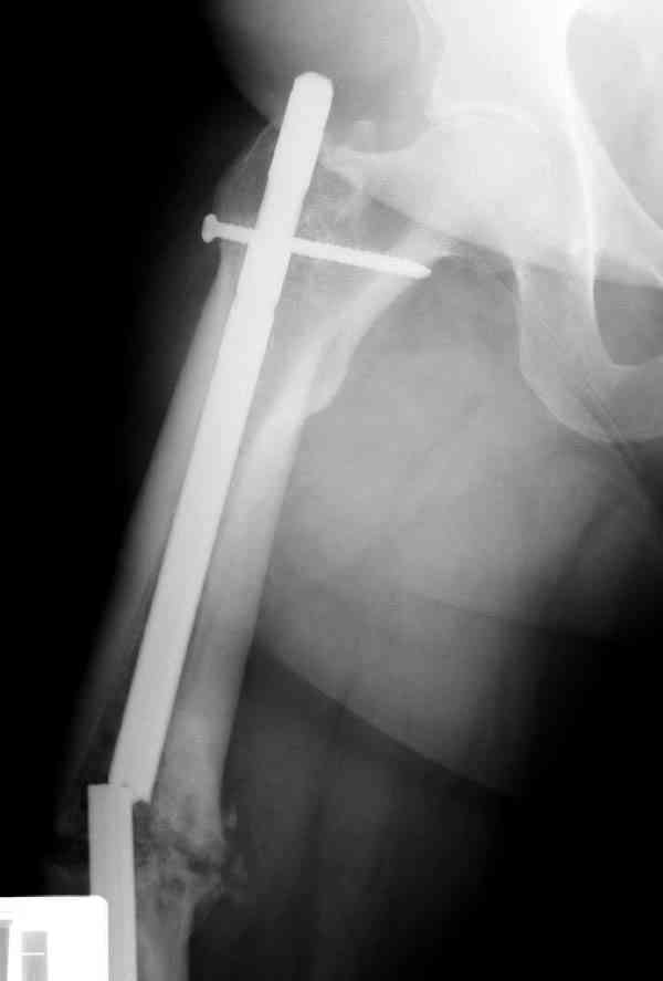
Периферический отломок стержня - наверно, надо воспользоваться отверстием, над ним сделать трепанацию и через него вверх провести длинную спицу, сделав на ее нижнем конце крючок. Лучше уже перед этим рассверлить центральный отломок.
|
[
Ответить ]
|
Re: Ложный сустав голени
Djoldas Kuldjanov 21 Январь 2009, 23:46
|

Сросшаяся малоберцовая как распорка привела к образованию ложного сустава. В таких случаях удаляем сломанный штифт и проводим стимуляцию ложного сустава рассверливанием. Рассверливание канала создает стимуляцию на месте ложного сустава, и динамический вариант блокировки штифта с большим диаметром создаст стабильность. Ранняя нагрузка после остеотомии малоберцовой приведет к сращению ложного сустава.
Приспособление для удаления сломанных штифтов и наличие ЭОП облегчит задачу. При отсутствии крючка тогда можно применить обычный длинный ball pointed guide wire от интрамедулярного набора. Проволока, пропущенная за пределы гвоздя и зажатая другая вытащат сломанный конец штифта без проблем.
Djoldas Kuldjanov, MD
Department of Orthopedic Surgery
St. Louis University Medical Center
|
[
Ответить ]
|
( Ответить )
|
|