AOTRAUMA.ORG Центр Илизарова  

Ортопедия и травматология Общие вопросы/General questions Help Информационные технологии в медицине
 ВХОД ДЛЯ ПАЦИЕНТОВ
 вверх
 поиск
 админ
 главная


Остеомиелит н/3 голени , асептический некроз (?) тарана
Ортопедия и травматология Прислано дмитрий бондарь 24 Январь 2009, 21:09
из
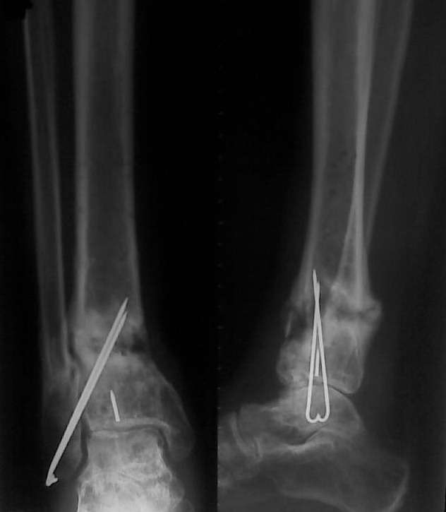
Уважаемые коллеги, обратилась больная 30 года, травма 1 год назад, открытый перелом дистального метаэпифиза левой голени, закрытый перелом левой таранной кости, закрытый перелом наружной лодыжки слева.
Больная была прооперирована в солидном лечебном учреждении был произведен остеосинтез переломов (снимков пока нет). Послеоперационный период осложнился нагноением, конструкции были удалены. На сегодняшний день имеется следующее: по переднее-медиальной поверхности имеется свищ около 5 мм в диаметре с небольшим количеством гнойного отделяемого, конечность опорна, боли при нагрузке практически нет. Нервно - сосудистый статус без патологии. Подошвенное сгибание 10, тыльное 8 градусов. Снимки представлены ниже. Как лучше поступить в данном случае? имеется 2 варианта:
1. Удалить спицы, качественная секвестрнекрэктомия, лаваж полости с последующим заполнением её цементными бусами с антибиотиком. С целью профилактики перелома наложить простейший АВФ из двух колец. Через 2-4 недели (при благоприятном течении процесса) удалить бусы и заполнить полость аутографтом. Что смущает при этом варианте: малый размер полости 20 х 30 мм - мало цемента с антибиотиком - недостаточная концентрация антибиотика. Кроме того, дефект расположен вблизи сустава, где существует малое количество мягких тканей. Смущает так же состояние таранной кости.
2. Выполнить резекцию очага с последующим замещением дефекта по Илизарову. Больная и родственники не совсем в восторге от этого варианта (длительные сроки, неудобства, связанные с ношением АВФ). Хотя возможно это и лучший вариант. Про таран уже говорилось выше.
Какие ещё возможны варианты ?
С уважением Д.Б.

Послать ответ

Имя
Email
Уведомление Сообщить мне по e-mail об ответах на это сообщение
Название
Комментарий
(Проверьте URL! Не забудьте написать http://!)
Кодировка
Если не знаете, что выбрать, выберите "Просто текст"!
Приложение
Можно приложить к сообщению файл c изображением, который затем будет доступен увидевшим сообщение.
Подготовка иллюстраций:
  • Рентгенограммы: черно-белые полутоновые изображения в формате JPEG (8 bit, greyscale) с разрешением от 300х200 до 1024х768 пикселов;
  • Клинические фотографии: полноцветные изображения в формате JPEG (24 bit, truecolor) с разрешением от 300х200 до 1024х768 пикселов;
  • Схемы и рисунки: черно-белые (2 bit) штриховые (line-art) изображения в формате GIF или compressed TIFF
  • Подберите степень сжатия файла JPEG и размер изображения таким образом, чтобы необходимые детали были различимы, но размер файла не превышал 75 кб.
  • Учтите, что текущая версия программного обеспечения Форума позволяет приложить к одному сообщению лишь один файл-вложение. Поэтому, если необходимо отправить несколько изображений, можно либо послать каждое как отдельное сообщение, либо в графическом редакторе объединить изображения в одно (сделать коллаж).
  • Если при подготовке изображений встречаются трудности, не стесняйтесь обратиться к координатору Форума.

  • Введите видимые символы в обратном порядке. Enter the above characters in reverse order (*Обязательно)
    В тексте сообщения можно использовать теги HTML <B> <I> <P> <A> <LI> <OL> <UL> <EM> <BR> <TT> <HR> <STRONG> <BLOCKQUOTE> <DIV .*> <DIV> <P .*>
  • Обратите внимание: Поля с жирными названиями обязательны.
  • Старайтесь отвечать в рамках обсуждаемой темы, а не начинать новые обсуждения.
  • Указывайте адекватную тему сообщения, чтобы было ясно, о чем оно.
  • Не послайте сообщений не по теме (оффтопик), раздраженных, грубых или обидных комментариев. Здесь это неуместно.
  • Powered by Zope  Squishdot Powered MedLink
    Посетитель: 0142811
      "По форме правильно, а по существу - издевательство" В.И.Ленин
    ©2001-2019Orthoforum Coordinator.
    [ Главная | Отправить сообщение | Поиск | Админ ]