AOTRAUMA.ORG Центр Илизарова  

Ортопедия и травматология Общие вопросы/General questions Help Информационные технологии в медицине
 вверх
 отправить
 поиск
 админ
 главная


Двойной перелом бедра
Ортопедия и травматология Отправлено Abdurashid 25 Январь 2009, 14:12
Добрый день, уважаемые коллеги!
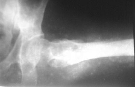
Больному 50л. В отдаленном от центра р-не ДТП 6.12.08г. д-з " тяжелая ЧМТ, мн.перломы ребер слева,отрыв ножки селезенки, повреждение п/ж железы, з/двойной перелом прав.бедра.
После экстрен. хирургических вмешательств, конечность фиксирована кокситной гипсовой лонгетной повязкой. Кома 2 нед, нагноение п/о раны живота, посттравмат. пневмония. 20.01.09г. переведен к нам. Постельный больной, ослабленный,бледный, весом 56кг: свищ п/о раны перед. брюшной стенки с сукровичным выделением, гипс снят - деформация и укорочение бедра на 6 см, в обл перелома есть спайка. слабо, но активно поднимает ногу, контрактура т/б и коленных суставов. Обшеукреп. лечение, компоненты крови, общ. массаж, ЛФК и больной активизирован, начал ходить с костылями, движения в суставах почти восстановлены. НВ-112, эр-3,5млн. Наш план блокир. и/м остеосинтез. Имеется гвозди для ВНПБ ЦИТО, но PFN не имеется
. -Можно ли остеосинтез гвоздем для высоких и низких переломов бедра?
-Если да, как установить дистракцион. усстройство А.Н Челнокова?
- Можеть быть еще какие-то нюансы имеется?

С БОЛЬШИМ УВАЖЕНИЕМ АБДУРАШИД.

<  |  >

 

  • Сообщения о Ортопедия и травматология
  • Также Abdurashid
  • Связаться с автором
  • Ответить

    Двойной перелом бедра
    Бен Эльайфар Мохамед 25 Январь 2009, 18:26
    Более подходящий остеосинтез накостный - длинная пластина DHS.
    [ Ответить ]

    Re: Двойной перелом бедра
    Alexander Chelnokov 25 Январь 2009, 19:23
    Тут нужен не тот или другой вариант интраоперационного дистрактора, который работает при хорошей еще подвижности отломков, т.е в ближайшие недели после перелома. В срок 6 недель после травмы одномоментную репозицию с удлинением на 6 см делать не надо даже пытаться, это травматично. Лучше наложить нормальный дистракционный аппарат.

    Вертельный перелом уже срастается в приемлемом положении отломков. Для сохранения шеечно-диафизарного угла в проксимальной опоре аппарата по оси шейки можно ввести 2-3 стержня.

    Лучше сделать остеоклазию на уровне диафиза секциями аппарата (ротацией), затем проводить дистракцию темпом 2-4 мм/сут дробно, в пределах переносимости пациентом. После восстановления длины и сопоставления диафиза по оси закрыто заштифтовать. Имеющийся стержень вполне подойдет, поскольку вертельный перелом уже не будет требовать остеосинтеза.
    [ Ответить ]


     

    ( Ответить )

    Powered by Zope  Squishdot Powered MedLink
    Посетитель: 0410515
      "По форме правильно, а по существу - издевательство" В.И.Ленин
    ©2001-2019Orthoforum Coordinator.
    [ Главная | Отправить сообщение | Поиск | Админ ]