AOTRAUMA.ORG Центр Илизарова  

Ортопедия и травматология Общие вопросы/General questions Help Информационные технологии в медицине
 вверх
 отправить
 поиск
 админ
 главная


перелом межмыщелкового возвышения
Ортопедия и травматология Отправлено Гладков Алексей 08 Февраль 2009, 16:21
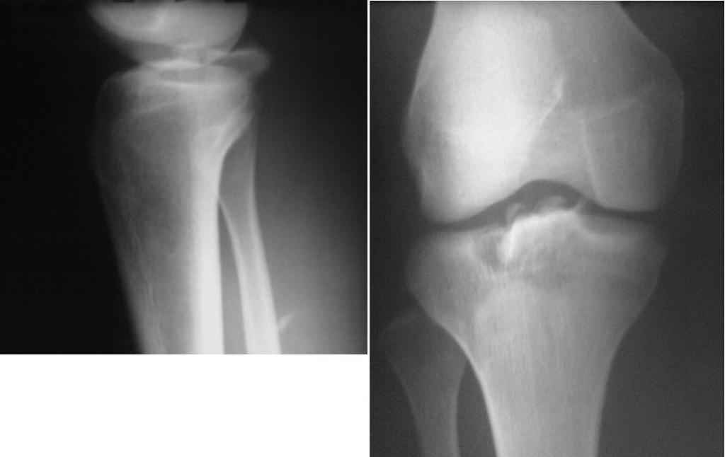
перелом межмыщелкового возвышения, нужен совет по лечению
перелом межмыщелкового возвышения, у больной 15 лет. посоветуйте что можно предпринять.

<  |  >

 

  • Сообщения о Ортопедия и травматология
  • Также Гладков Алексей
  • Связаться с автором
  • Ответить

    Re: перелом межмыщелкового возвышения
    Михаил Васильев 08 Февраль 2009, 20:06
    Добрый вечер! Локализация травмы достаточно неприятная. Как мне кажется (если есть техническая возможность)неплохо выполнить КТ исследование, и по его результату планировать восстановление внутрисуставных структур. Интересно узнать механизм травмы, анамнез, локальный статус. При консервативном лечении риск развития артроза очень высок.
    [ Ответить ]

    Re: перелом межмыщелкового возвышения
    Anton Shakhin 08 Февраль 2009, 22:10
    Внутрисуставной перелом - IMHO, показана открытая репозиция - артротомия с фиксацией ММВ костным швом. С уважением...
    [ Ответить ]

    Re: перелом межмыщелкового возвышения
    Leonid Solomin 09 Февраль 2009, 18:28
    Уважаемый Гладков Алексей!
    В нашем Институте при переломах межмыщелкового возвышения используют артроскопическую репозицию и диафиксацию спицами. За подробностями можете обратиться к специалистам отд. No.21 (научн. рук. - проф. Кузнецов И.А., зав. отд. - к.м.н. Волоховский Н.Н.).

    Всего наилучшего,
    Л.Соломин
    [ Ответить ]

    Re: перелом межмыщелкового возвышения
    Ельцин Александр 10 Февраль 2009, 00:47
    Алексей, если есть возможность, сделайте КТ. Результаты можно посмотреть и обсудить. Если КТ нет - проведите консервативно. Объясню почему: смещение отломков по рентгенограммам незначительное, сделайте пункцию сустава, промойте анестетиком, разогните максимально и наложите гипсовую повязку.
    Если есть опыт артроскопии, сделайте санацию, а дальше также, - разгибание и гипс.
    Мы выполняем остеосинтез таких переломов под контролем артроскопа проволочной петлей. Техника не сложна, в мировой практике известна, но нужен опыт (и нам тоже поначалу было не просто).
    Не рекомендую делать артротомию, неадекватная операционная травма данному повреждению.
    Ельцин Александр. Отделение детской травматологии ЦИТО.
    [ Ответить ]

    Re: ОЕПЕКНЛ ЛЕФЛШЫЕКЙНБНЦН БНГБШЬЕМХЪ
    нКЕЦ яЮЛНУХМ 10 Февраль 2009, 01:34
    кСВЬЕ НОЕПХПНБЮРЭ ЮПРПНЯЙНОХВЕЯЙХ. щРН ОНЛНФЕР ХГАЕФЮРЭ ХМРЕПОНГХЖХХ ОНОЕПЕМНИ ЯБЪГХ Х ЛЕМХЯЙНБ + ЛЮКЮЪ РПЮБЛЮРХГЮЖХЪ РЙЮМЕИ Я БНГЛНФМНЯРЭЧ ПЮММЕИ ПЕЮАХКХРЮЖХХ. с ДЕРЕИ НАШВМН ТПЮЦЛЕМР АНКЭЬНИ, ЕЯРЭ ГЮ ВРН ГЮЖЕОХРЭЯЪ. тХЙЯХПНБЮРЭ ЛНФМН ОПНБНКНВМНИ ОЕРКЕИ ХКХ ДБНИМНИ МХРЙНИ ╧2. нОЕПЮЖХЪ МЕ ХГ ОПНЯРШУ, РПЕАСЕР МЮБШЙЮ.
    оПХ ЮПРПНРНЛХХ, БНГЛНФМН АСДСР ОПНАКЕЛШ Я ПЮГПЮАНРЙНИ.
    [ Ответить ]

    Re: перелом межмыщелкового возвышения
    Гладков Алексей 10 Февраль 2009, 15:12
    КТ мы конечно сделали, судя по результатам смещение довольно большое и оставить его без репозиции не представляется нам возможным. Планируем артротомию задним доступом и фиксацию фрагмента винтом или проволочным швом. Артроскопа не имеем.
    Кликните для загрузки файла IMAG071812.jpg
    64KB (65704 bytes)

    [ Ответить ]

    • Re: перелом межмыщелкового возвышения
      Отправитель: Найданов В.Ф., Томск 11 Февраль 2009, 22:08
      Это чрезкостный разрыв задней крестообразной связки (отрыв этой связки с костным фрагментом). Будте готовы к пластике ЗКС, если не сможете натянуть связку. Двумя доступами. Если придется брать трансплантат связки - смотрите, что привыкли, но только не исскуственный материал!
      С уважением, В.Ф. Найданов.

      [ Ответить ]
    • Re: перелом межмыщелкового возвышения
      Отправитель: Ельцин Александр 11 Февраль 2009, 22:32
      Алексей, с КТ - совсем другая история. Артроскопия здесь не поможет. И согласен с Вашим планом. Имею опыт лечения таких больных. Мы делали артротомию задним срединным доступом, репонировали отломки и фиксировали проволочной петлей, выводя ее на переднюю поверхность голени, где и "закручивали" ее. Результаты, простите, очень хорошие: полный объем движений и никакой нестабильности. Удаление проволоки из переднего доступа на голени - без технических проблем.
      Поддерживаю Ваш выбор.

      [ Ответить ]

     

    ( Ответить )

    Powered by Zope  Squishdot Powered MedLink
    Посетитель: 0000107
      "По форме правильно, а по существу - издевательство" В.И.Ленин
    ©2001-2019Orthoforum Coordinator.
    [ Главная | Отправить сообщение | Поиск | Админ ]