AOTRAUMA.ORG Центр Илизарова  

Ортопедия и травматология Общие вопросы/General questions Help Информационные технологии в медицине
 вверх
 отправить
 поиск
 админ
 главная
 Предыдущее
 Весь тред


Re: Многооскольчатый перелом бедра
Павел Владимирович 19 Февраль 2009, 12:15


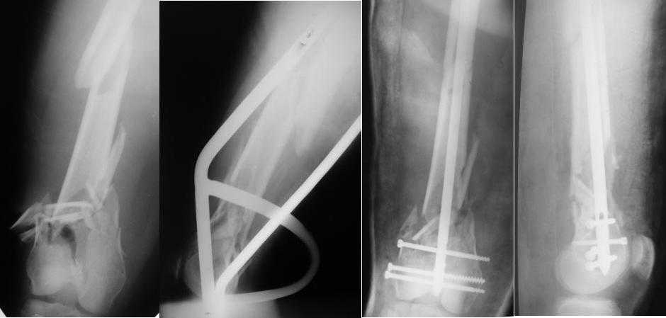
Приносим извенения за недостаток информации. Выкладываю все снимки. Стержень фирмы НПО ДЕОСТ(г.Пущино-на-оке)


  • Сообщения о Ортопедия и травматология
  • Также Павел Владимирович
  • Связаться с автором
  • Ответить

    Re: Многооскольчатый перелом бедра
    Коваленко А.Н. 19 Февраль 2009, 14:31
    Павел Владимирович, скажите пожалуйста, для чего наложен гипс? Считаете, что синтез жидковат и боитесь, что развалится, напугать больного, чтобы на ногу раньше времени не наступил или есть какие-то другие причины? Когда планируете его снять и разрешить опору на конечность?
    [ Ответить ]

    • Re: Многооскольчатый перелом бедра
      Отправитель: Павел Владимирович 20 Февраль 2009, 08:20
      Больная госпитализирована с тяжелой сочетанной травмой. Плюсом к перелому бедра имеется разрыв связок коленного сустава.

      [ Ответить ]

     

    ( Ответить )

    Powered by Zope  Squishdot Powered MedLink
    Посетитель: 0182515
      "По форме правильно, а по существу - издевательство" В.И.Ленин
    ©2001-2019Orthoforum Coordinator.
    [ Главная | Отправить сообщение | Поиск | Админ ]