ВХОД ДЛЯ ПАЦИЕНТОВ
вверх
поиск
админ
главная
исходное
последующие
|
Re: Ложный сустав вертельной области бедра.
послал Alexander Chelnokov 03 Март 2009, 23:32
|
LS> видите, мы в данном случае не вводили чрескостные элементы в зону
LS> установки имплантата. При отказе от наложения опоры на таз (кстати,
LS> она не обязательно может быть громоздкая спицевая; арки со
LS> стержнями-шурупами, введенными в крыло подвздошной вполне достаточно)
Дорогой Леонид, спасибо за интересный пример.
В этом случае, по-моему, аппаратный этап не был уж настолько важен. При использовании DHS или клинковой пластины при таком исходном положении отломков можно было делать и одномоментную коррекцию.
Срубить латеральную стенку периферического отломка для облегчения вальгизации.
LS> вертельной области в скором времени дестабилизируется, возникнет
LS> воспаление мягких тканей у чрескостных элементов. Такая опора "имеет
LS> на это право": нагрузка конечности от вершины дистального фрагмента до
LS> кончиков пальцев ляжет на нее.
Здесь ожидаемо прорезание тканей. Благодаря нагрузке опора напряжена, и оттого стабильна, как танк. Соответственно, в период коррекции воспаление менее вероятно, чем в период фиксации аппаратом, когда все и начинает расшатываться.
Если, конечно, стержни проведены так, что усилие не реализуется в виде их проворачивания в кости.
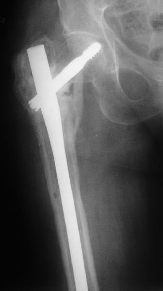
В приложении пример пациента, близкого по картине к тому, что представил Виктор (варус и смещение периферического отломка на поперечник кзади). Сделали как раз то, что Виктор исходно намеревался - аппаратная коррекция и затем гамма.

|
| Послать ответ |
Обратите внимание: Поля с жирными названиями обязательны.
Старайтесь отвечать в рамках обсуждаемой темы, а не начинать новые обсуждения.
Указывайте адекватную тему сообщения, чтобы было ясно, о чем оно.
Не послайте сообщений не по теме (оффтопик), раздраженных, грубых или обидных комментариев. Здесь это неуместно.
|