ВХОД ДЛЯ ПАЦИЕНТОВ
вверх
поиск
админ
главная
исходное
|
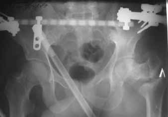
Re: Ложный сустав вертельной области бедра.
послал Leonid Solomin 03 Март 2009, 22:07
|
Уважаемый Попов Виктор!

Возможно, пример (в приложении) поможет Вам определиться с выбором тактики лечения (у нашего пациента, кроме тугого ложного сустава вертельной области, сложная деформация н/3 бедренной кости; т.к. это не имеет значения к обсуждаемой теме - оставил "за кадром"). Как Вы видите, мы в данном случае не вводили чрескостные элементы в зону установки имплантата. При отказе от наложения опоры на таз (кстати, она не обязательно может быть громоздкая спицевая; арки со стержнями-шурупами, введенными в крыло подвздошной вполне достаточно) "не удивляйтесь", если опора со стержнями-шурупами, введенными в вертельной области в скором времени дестабилизируется, возникнет воспаление мягких тканей у чрескостных элементов. Такая опора "имеет на это право": нагрузка конечности от вершины дистального фрагмента до кончиков пальцев ляжет на нее. А двух-трех введенных рядом стержней-шурупов, как их не разноси от фронтальной плоскости, в данном
случае явно недостаточно для адекватной фиксации. + для того, чтобы выбрать оптимальные чрескостные элементы для промежуточной и дистальной опор, можете воспользоваться атласом
Всего наилучшего,
|
| Послать ответ |
Обратите внимание: Поля с жирными названиями обязательны.
Старайтесь отвечать в рамках обсуждаемой темы, а не начинать новые обсуждения.
Указывайте адекватную тему сообщения, чтобы было ясно, о чем оно.
Не послайте сообщений не по теме (оффтопик), раздраженных, грубых или обидных комментариев. Здесь это неуместно.
|