AOTRAUMA.ORG Центр Илизарова  

Ортопедия и травматология Общие вопросы/General questions Help Информационные технологии в медицине
 вверх
 отправить
 поиск
 админ
 главная


Спицевой остеомиелит
Ортопедия и травматология Отправлено Александр Ситник 21 Март 2009, 23:29
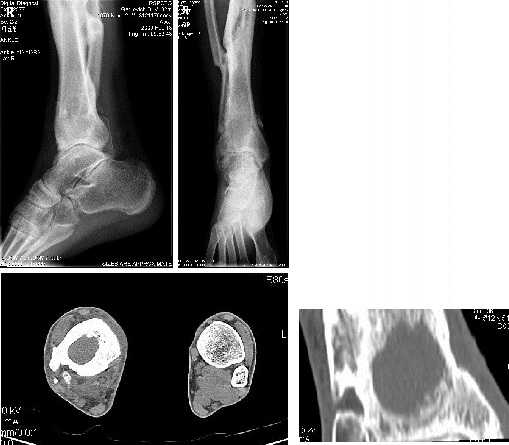
У пациента 31 года после ВКДО голени по Илизарову хронический остеомиелит дистального отела большеберцовой кости.
Пацент лечится у нас с 2005 года когда по поводу несращения с/3 голени был применен ВКДО по Илизарову. Достигнута консолидация, аппарат демонтирован. Через 2 года после снятия аппарата появился свищ над внутренней лодыжкой. Осенью 2007 года - ФНЭ, аутопластика дефекта метафиза аутоспонгиозой из проксимального отдела большеберцовой кости - в течение года ремиссия.В ноябре-декабре 2008 вновь открылся свищ, произведена хирургическая обработка, в настоящее время скудное серозное отделяемое. Конечность полностью опорна, болей нет.Вопрос: чем лучше заполнить дефект метафиза: губкой из крыла подвздошной кости или каким-либо заменителем (хотя инфицирование остается)?Спасибо,Александр Ситник

<  |  >

 

  • Сообщения о Ортопедия и травматология
  • Также Александр Ситник
  • Связаться с автором
  • Ответить

    Re: Спицевой остеомиелит
    Шалгинбай 22 Март 2009, 12:45
    Уважаемый Александр! 1 этапом необходимо произвести операцию ФНЭ и в костную полость уложить гентамициновые кеты сроком на 2 недели. 2 этапом чеез 2 недели произвести ВХО и заместить костную полость костным заменителем Cerabone или коллпаном. При дефекте мягких тканей закрыть ротационным кожным лоскутом. Шалгинбай
    [ Ответить ]

    Re: Спицевой остеомиелит
    Paul 28 Март 2009, 20:45
    Средняя треть большеберцовой кости еще благоприятное для лечения место. Для оценки протяженности процесса целесообразна спиральная томография голени. Обязательна некроэктомия, лаваж раны с использованием нетоксичных антисептиков и ПАВ, тугое заполнение полости аутокостью. Ньюанс состоит в том, что чем больше будет нарушено кровоснабжение в оперируемой зоне, тем меньше вероятность положительного исхода, поэтому важно предоперационное планирование. В послеоперационном периоде обязательно внутрикостное введение антибиотиков до заживления раны (сейчас рекламируют гентамициновые гранулы).
    [ Ответить ]


    ( Ответить )

    Powered by Zope  Squishdot Powered MedLink
    Посетитель: 0149565
      "По форме правильно, а по существу - издевательство" В.И.Ленин
    ©2001-2019Orthoforum Coordinator.
    [ Главная | Отправить сообщение | Поиск | Админ ]