Ответить
|
Re: Псевдартроз грудины
Юрий Алексеевич Булахтин 29 Март 2009, 13:10
|
Уважаемый Павел!
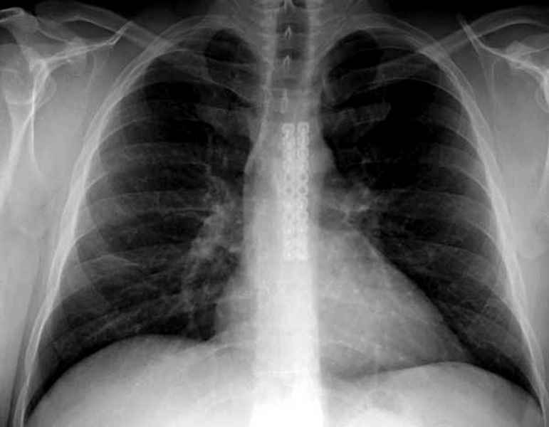
Кардиохирурги, обычно, шьют грудину танталовыми скрепками аппаратом. Если у Вас такой случай, то я делаю "классический" остеосинтез проволокой, иногда подкладываю шайбы, чтобы не прорезалась. А вот если ложный сустав возник после адекватного остеосинтеза тогда сложнее - либо из болт-стяжек надо что-то "собирать" либо спицы и петлю по Веберу (как при остеосинтезе надколенника)
|
[
Ответить ]
|
Re: Псевдартроз грудины
Юрий Алексеевич Булахтин 29 Март 2009, 13:11
|
Уважаемый Павел!
Кардиохирурги, обычно, шьют грудину танталовыми скрепками аппаратом. Если у Вас такой случай, то я делаю "классический" остеосинтез проволокой, иногда подкладываю шайбы, чтобы не прорезалась. А вот если ложный сустав возник после адекватного остеосинтеза тогда сложнее - либо из болт-стяжек надо что-то "собирать" либо спицы и петлю по Веберу (как при остеосинтезе надколенника)
|
[
Ответить ]
|
Re: Псевдартроз грудины
Отправитель: В.Машталов 01 Апрель 2009, 22:15
|
Уважаемый Павел!
> Кардиохирурги, обычно, шьют грудину танталовыми скрепками аппаратом.
А еще кардиохирурги опил обрабатывают костным воском с цель уменьшении кровопотери, может, это и есть причина несращения.
В.Машталов
|
[
Ответить ]
|
Re: Псевдартроз грудины
Отправитель: Djoldas Kuldjanov 02 Апрель 2009, 22:55
|
"классический" остеосинтез проволокой, иногда подкладываю шайбы, чтобы не прорезалась
Юра, интересно, насколько такой остеосинтез контролирует степень репозиции, а то у меня имеются снимки девочки 11 лет, направленной ко мне на консультацию из одной из республик бывшего союза.

После торакальной операции, по-видимому, сильно натянули проволоку, и в результате получился захлест отломков в друг друга.
Оперировавший хирург предлагает подождать, а родителей беспокоит проблема прогрессирующей ассиметрии лица, как при кривошее.
С такими продольными несращениями мне не приходилось иметь дело, поэтому направил в один из центральных институтов детской ортопедии России.
А простые посттравматические ложные суставы грудины приходилось оперировать с ограничителем сверла и с фиксацией 2.4 мм пластинами с угловой стабильностью.
Djoldas Kuldjanov, MD
Department of Orthopedic Surgery
St. Louis University Medical Center
|
[
Ответить ]
|
|
Re: Псевдартроз грудины
paul 11 Апрель 2009, 23:54
|
Большое спасибо за обсуждение. Обнаружилось вездесущее правило: чем выше летает хирург, тем меньше уделяется вниманиение банальным проблемам.
|
[
Ответить ]
|
( Ответить )
|
|