вверх
отправить
поиск
админ
главная
|
Отправлено Евгений 06 Апрель 2009, 00:10
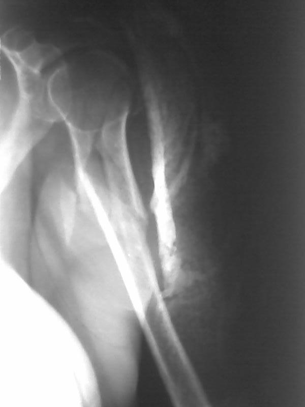
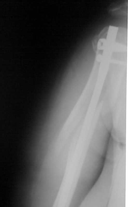
Здравствуйте уважаемые коллеги!!! Недавно стали применять в своей работе малоинвазивные методы лечения. На прошлой неделе прооперировали пожилую женщину с сопутствующим сахарным диабетом по поводу оскольчатого перелома в/3 плечевой кости штифтом PHN фирмы "Mathys". Имеется вот такое стояние костных отломков (см. рентгенограммы). Мнения коллег в отделении разделились: одни считают, что стояние отломков крайне неудовлетворительное и сращение кости при таком стоянии вряд ли возможно, другие считают, что при закрытом методе остеосинтеза и стабильной фиксации отломков результат будет благоприятный и сращение кости, даже при таком стоянии костных отломков, будет обязательно. Я придерживаюсь последнего мнения. Коллеги, каково ваше мнение? У нас это первые больные после подобных операций, поэтому большого опыта не имеем. Поделитесь своим опытом! И если это возможно, то для убедительности выложите рентгенограммы после операции и после сращения переломов с подобным стоянием отломков. Заранее СПАСИБО!!!
<
|
>
|
|
Ответить
|
Re: Перелом плечевой кости.
Максим Королев 07 Апрель 2009, 12:07
|
Уважаемый, Евгений! Результат достойный звания врача, причем это ваш первый опыт. Больной будет работать и обеспечивать себя рукой, а не рентгенограмой. Прогноз благоприятный. Молодцы!
|
[
Ответить ]
|
Re: Перелом плечевой кости.
Alexander Chelnokov 07 Апрель 2009, 22:37
|
> штифтом PHN фирмы "Mathys". Имеется вот такое стояние костных отломков
> (см. рентгенограммы).
Для ответа надо увидеть нормальные рентгенограммы, на которых хорошо видно плечевую кость в нескольких проекциях. А на этом единственном снимке даже головка плеча срезана.
|
[
Ответить ]
|
Re: Перелом плечевой кости.
Евгений 07 Апрель 2009, 23:27
|

Приношу свои извинения по поводу рентгенорграмм! На сайт пищу первый раз. Отсылаю рентгенограмму в боковой проекции. Пациентка тучная, поэтому "пробить" ее и добится идеальных рентгенограмм не получается! Да, на снимке головка срезалась, но проблема не в ней (с головкой-то все как раз хорошо), беспокоит стояние костных отломков ниже головки... Хотя бы на основании тех рентгенограмм, которые имеются, можно получить комментарии. СПАСИБО!!!
|
[
Ответить ]
|
Re: Перелом плечевой кости.
Отправитель: Alexander Chelnokov 07 Апрель 2009, 23:50
|
Положение отломков диафиза приемлемое.
Снимки плеча после остеосинтеза сделать можно не меняя положение трубки и положения туловища больного. Уложить пациентку на стол на спину, согнув локоть под прямым углом. Первый снимок с предплечьем и кистью на животе, расположенным горизонтально то есть. Второй - кисть направлена вперед (то есть на 90 градусов наружная ротация по сравнению с предыдущим снимком). И третий - плечо в максимальной наружной ротации.
Похоже, немножко выстоит стержень проксимально - возможен импинджмент, для уточнения можно сделать еще фас с максимальным отведением.
|
[
Ответить ]
|
Re: Перелом плечевой кости.
Отправитель: Alexey Semenisty 09 Апрель 2009, 00:36
|
Евгений, поставьте себя на место тех, к кому Вы обратились с вопросом!
Что можно сказать по этим непонятным снимкам? А где дистальный отдел, как там заблокировано? А снимки до, так же не были бы лишними.. А клиника какая?...
Беспокоит выбранная слишком латеральная для этого штифта точка введения, и выстояние кончика штифта... А клинок заблокировали концевым колпачком?
с промежутомными фрагментами - Бог с ними...!
Все может и обойтись, а может и нет... Но при достаточной и качественной информации мы бы могли рассуждать на уровне вероятностней. А по представленным данным - на уровне гадания на кофейной гуще...
|
[
Ответить ]
|
|
Re: Перелом плечевой кости.
Ерсин Жунусов 08 Апрель 2009, 21:43
|
Уважаемый коллега! для закртытого БИОС данное стояние отломков вполне приемлемое, но импиджмент неизбежен. С уважением Ерсин Жунусов.
|
[
Ответить ]
|
Re: Перелом плечевой кости.
Отправитель: adonin 09 Апрель 2009, 05:02
|
поддерживаю 100%
|
[
Ответить ]
|
Re: Перелом плечевой кости.
Отправитель: Евгений 09 Апрель 2009, 22:53
|
Высылаю рентгенограммы больной до операции и в гипсовой лонгете. Сейчас больную вообщем-то особо ничего не беспокоит, незначительная болезненность в области перелома при движениях плечом, первые два дня была отечность кисти, которая сейчас исчезла, объем движений в локтевом суставе постепенно увеличивается, отведение плеча пока небольшое. Дистальное блокирование выполнено одним винтом в передне-заднем направлении (через бицепс. Да, клинок мы конечно же заблокировали концевым колпачком. Нас тоже беспокоит возможность развития импиджмент синдрома, надеемся на то, что больная разработает движения в плечевом суставе.
|
[
Ответить ]
|
|
Re: Перелом плечевой кости.
Konstantin Egorov 15 Апрель 2009, 23:00
|
Уважаемый Евгений! Положение отломков благоприятно для сращения. Варусное смещение отломков можно было бы уменьшить изначально использовав более медиальную точку введения стержня. Импиджмент, скорее всего, будет, удаляйте стержень по-возможности раньше. Для лечения данного перелома можно было бы обратить внимание на ретроградный способ введения стержня, но к данной методике нужно подходить с осторожностью, необходим опыт БИОС.
С уважением Егоров Константин.
|
[
Ответить ]
|
( Ответить )
|
|