вверх
отправить
поиск
админ
главная
|
деформация вертлужной впадины |
 |
 |
 |
Отправлено Danil Bliznets 20 Апрель 2009, 14:41 УНИИТО
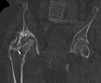
Пациент 49 лет, паровозная травма 23.2.2006, получил вертикальная нестабильное повреждение таза, разрыв левого крестцово-подвздошного сочленения, перелом лонной, седалищной костей слева, T-образный оскольчатый перелом правой вертлужной впадины с переломом заднего края, вывих правого бедра, посттравматическая пояснично-крестцовая плексопатия с обеих сторон, паралич мышц правой голени. В день травмы - вправление вывиха, скелетное вытяжение, 14.3.2006 чрескостный остеосинтез таза. 20.4.2006 остеосинтез правой вертлужной впадины пластинами, осложнившийся нагноением межмышечной гематомы правой ягодичной области. Получал консервативное лечение, было достигнуто полное заживление раны. 24.7.2006 введены илиосакральные винты слева. С декабря 2006 года и по настоящее время ходит на костылях без опоры на правую ногу. Планируется THA. Помогите определиться с вариантом костной пластики? И какую укрепляющую конструкцию использовать?
<
|
>
|
|
Ответить
|
Re: деформация вертлужной впадины
Maxim Agalakov 20 Апрель 2009, 18:47
|
Мне кажется, будет вполне достаточно кольца Muller, костная пластика из остатков головки чипсами (нужно иметь виду, что собственной головки может не хватить и она может оказаться ненадлежащего качества, поэтому лучше иметь запас аллокости) возможна и структурная пластика, точно алло.
|
[
Ответить ]
|
Re: деформация вертлужной впадины
orto 21 Апрель 2009, 12:34
|
Где же пациент получил "паровозную" травму? 21 век на дворе. Тепловозы, электровозы...
|
[
Ответить ]
|
Re: деформация вертлужной впадины
Александр Рыков 21 Апрель 2009, 20:49
|
Бесцементная чаша, с восстановлением нормального центра вращения и с костной аутопластикой дна впадины. А Рыков Хабаровск.
|
[
Ответить ]
|
Re: деформация вертлужной впадины
Евгений Береговой 23 Апрель 2009, 01:06
|
Паровозы-элктровозы. Суть не в этом. Сейчас - аутокостная реконструкция вертлужной впадины. Ало - оногда секвестрация. Не надо риска. И, есле готовы технически, эндопротезирование. Лучше бесцесентная чашка прес-фит (допустем - зимет) с дополнительной фиксацией винтами. Возможен вариант кольца Мюллеа. Операцию возможно выполнить в один либо два этапа. Первы -реконструкция вертлужной впадины,а второй - протез через 3-4 мес. Кость лучше брать из гребня, т.к. головка с некрозом-склерозом-фиброзом.
|
[
Ответить ]
|
( Ответить )
|
|