вверх
отправить
поиск
админ
главная
Предыдущее
Весь тред
|
Re: Ложный сустав в/3 плечевой кости!
Ivan Petrov 29 Апрель 2009, 23:45
|
Тема лечения ложных суставов плеча неоднократно обсуждалась на форуме и раньше. Большинство авторитетных специалистов рекомендуют введение остеоиндуктивного материала в зону ложного сустава (BMP, аутокость и др.). См. http://www.weborto.net/forum/1120587821/index_html.
По личным наблюдениям после неудачного остеосинтеза пластинами ложные суставы лечить гораздо труднее, чем после других видов фиксации, видимо из-за обширной травматизации надкостницы при установке пластины. С внедрением в практику БИОС мы пытались лечить "послепластиночные" ложные суставы закрыто, но во всех случаях понадобились повторные операции с резекцией концов отломков и костной пластикой.Ниже несколько примеров недостаточности только стабильного остеосинтеза для лечения гипопластических ложных суставов.
|
|
|
Ответить
|
Re: Ложный сустав в/3 плечевой кости!
Ivan Petrov 29 Апрель 2009, 23:50
|

Более года назад пациент был оперирован в одном из НИИТО. При контрольном осмотре через год: болевой синдром, контрактура в локтевом суставе, патолгическая подвижность нижней трети плеча
|
[
Ответить ]
|
Re: Ложный сустав в/3 плечевой кости!
Отправитель: Alexander Chelnokov 02 Май 2009, 10:29
|
Что этот пример должен подтвердить или опровергнуть?
|
[
Ответить ]
|
|
Re: Ложный сустав в/3 плечевой кости!
Ivan Petrov 29 Апрель 2009, 23:59
|

Неудачный остеосинтез пластиной: поломка винтов, миграция фиксатора. После удаления пластины сформировался гипопластический ложный сустав нижней трети бедренной кости, укорочение н/к 5 см. Выполнялся дистакционный остеосинтез аппратом Илизарова на штифте. Зона ложного сустава "не открывалась". Через 10 месяцев, когда даже регенерат полностью перестроился, консолидации в зоне ложного сустава не наступило, несмотря на стабильную фиксацию и постоянную компрессию(штифт+аппрата на 4 кольцах).
|
[
Ответить ]
|
Re: Ложный сустав в/3 плечевой кости!
Ivan Petrov 30 Апрель 2009, 00:26
|

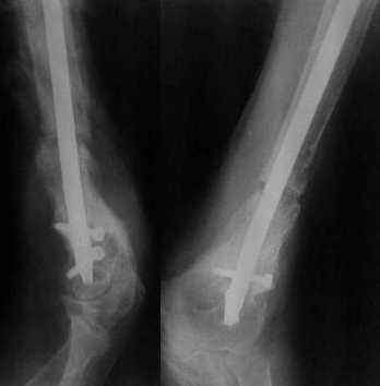
Неудачный остеосинтез пластиной: поломка винтов. После удаления сформирался гиполастический ложный сустав. Остеосинтез АВФ, циклическая компрессия-дистракция в области ложного сустава привела к формированию хорошей рентгенологической костной мозоли. Через 1,5 месяца ходил в аппарате без дополнительных средств опоры. Через 6 месяцев после клинической пробы - демотаж. Через 4 месяца после демонтажа - лизис костной мозоли, рецидив деформации.
|
[
Ответить ]
|
Re: Ложный сустав в/3 плечевой кости!
Отправитель: Alexander Chelnokov 01 Май 2009, 23:49
|
В подобной ситуации закрытое штифтование с рассверливанием сразу после удаления пластины или, при необходимости, после восстановления оси аппаратом, имеет подавляющие шансы на успех. Вмешательство на зоне несращения не нужно.
А эти пресловутые вторичные деформации специфичны для аппаратного лечения, после шитфтования этой проблемы нет.
|
[
Ответить ]
|
|
Re: Ложный сустав в/3 плечевой кости!
Alexander Chelnokov 01 Май 2009, 23:33
|
> и раньше. Большинство авторитетных специалистов рекомендуют введение
> остеоиндуктивного материала в зону ложного сустава (BMP, аутокость и
Это одна из точек зрения, причем мало кто полагается только на BMP, остеосинтез играет ключевую роль.
> пластины. С внедрением в практику БИОС мы пытались лечить
> "послепластиночные" ложные суставы закрыто, но во всех случаях
> понадобились повторные операции с резекцией концов отломков и костной
Практика показывает, что большую роль играет не столько сам метод, сколько его исполнение. И закрытое штифтование при ложных суставах плечевой кости вполне может быть успешным, хотя, наверно, и не при всех подряд.
Здесь довольно специфическая ситуация, и надежная малоинвазивная фиксация по крайней мере решит проблему функционаальной реабилитации.
Если и потребуются дополнительные действия для достижения сращения, лучше их делать не на фоне контрактур.
|
[
Ответить ]
|
( Ответить )
|
|