AOTRAUMA.ORG Центр Илизарова  

Ортопедия и травматология Общие вопросы/General questions Help Информационные технологии в медицине
 вверх
 отправить
 поиск
 админ
 главная


гемартроз после TKR
Ортопедия и травматология Отправлено Maxim Agalakov 12 Май 2009, 22:47
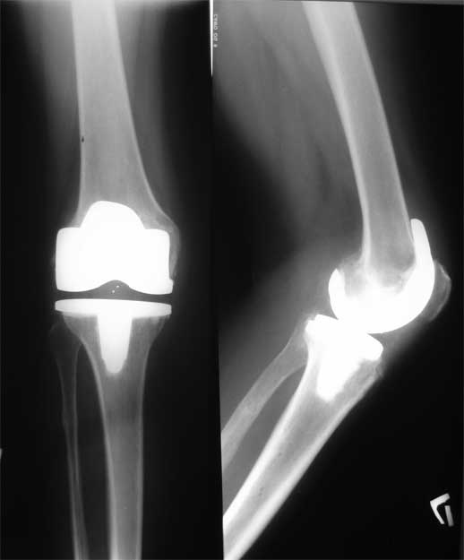
Уважаемые коллеги, пациентка 45 лет около 9 мес назад была прооперирована по поводу правостороннего коксартроза э/п LCS Complete RP.
послеоперационный период без особенностей, объем движений в 6 мес с/р - 110/0/0. Через 9 мес после операции возник напряженный гемартроз (без травмы, перегрузок), получено до 190 мл свежей крови, далее фиксация в ортезе, повторные пункции. через 2 нед выписана из стационара без признаков гемартроза. Через 2 нед аналогичная ситуация. Вопросы :причина? как лечить?

<  |  >

 

  • Сообщения о Ортопедия и травматология
  • Также Maxim Agalakov
  • Связаться с автором
  • Ответить

    Re: гемартроз после TKR
    Нещасный Андрей 13 Май 2009, 00:49
    Максим, обследовалась ли пациентка на наличие патологии свертывающей системы-гемофилия А, гемофилия В , болезнь Виллебранда ?
    [ Ответить ]

    • Re: гемартроз после TKR
      Отправитель: Maxim Agalakov 18 Май 2009, 21:25
      обследовалась, все нормально

      [ Ответить ]
    Re: гемартроз после TKR
    Сергей Ц 13 Май 2009, 01:11
    Был случай рецидивирующего гемартроза. Ангиохирурги, после ангиографии и УЗДГ сосудов, назвали это псевдоаневризмой и выполнили эндовазальную эмболизацию (кажется "стент")
    Кликните для загрузки файла стент.jpg
    18KB (18596 bytes)

    [ Ответить ]

    Re: гемартроз после TKR
    Бен Эльайфар Мохамед 13 Май 2009, 19:58
    1.полученную кровь нужно было исследовать лабораторно.
    2.нужно исключить ворсинчатый синовит.
    [ Ответить ]

    Re: гемартроз после TKR
    Alexander Rykov 16 Май 2009, 09:02
    Похожее имело место в хирургии т.б сустава. Оказалось - эрозия небольшого
    артериального сосуда (может пролежень). Ревизия и перевязка - и все завершилось благостно. Я бы выполнил ангиографию, все - таки артериальная
    кровь. При повторном гемартрозе - ревизия: снять вкладыш - посмотреть сзади. Вариант диагностической
    артроскопии не исключается. С ув. А Рыков Хабаровск.
    [ Ответить ]


    ( Ответить )

    Powered by Zope  Squishdot Powered MedLink
    Посетитель: 0161039
      "По форме правильно, а по существу - издевательство" В.И.Ленин
    ©2001-2019Orthoforum Coordinator.
    [ Главная | Отправить сообщение | Поиск | Админ ]