вверх
отправить
поиск
админ
главная
|
Отправлено Смирнов Алексей 13 Май 2009, 19:40
Здравствуйте коллеги! К нам поступил пациент 52 лет. Травму получил два года назад,открытый перелом н/3 костей голени.
Со слов больного год лечили аппаратом, винты ввели при ПХО, потом ещё год ходил в гипсовой повязке.Сейчас ложный сустав в н/3, патологическая подвижность при попытке опоры.Наш вариант лечения: резекционная остеотомия малоберцовой, удалить винты,остеосинтез стержнем с рассверливанием и блокированием через пятку, естесственно с артродезом.Кожа чистая, хотя и в рубцах. Или опять аппарат?
<
|
>
|
|
Ответить
|
Re: Ложный сустав н/3 голени
Юрий Алексеевич Булахтин 16 Май 2009, 01:48
|
Полностью поддерживаю ваше предложение.
Юрий Алексеевич Булахтин,
главный травматолог Камчатского Военно-морского госпиталя
|
[
Ответить ]
|
Re: Ложный сустав н/3 голени
Смирнов Алексей 16 Май 2009, 08:43
|

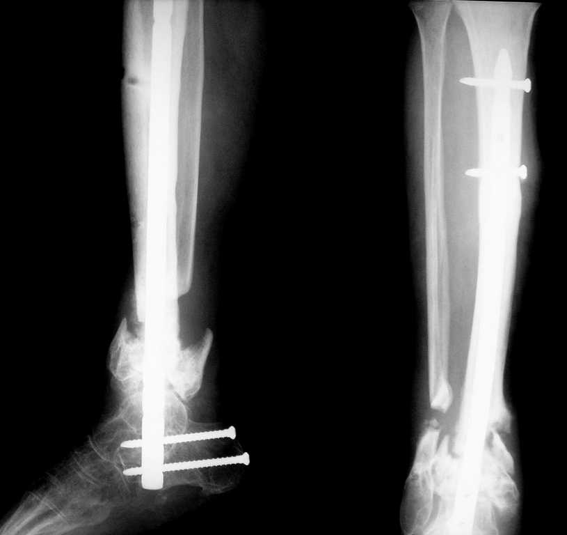
Вот что в итоге получилось. Вопрос по поводу нагрузки: может сразу дать? и зря я поставил статический винт?
|
[
Ответить ]
|
Re: Ложный сустав н/3 голени
Отправитель: Илья 16 Май 2009, 20:58
|
Какой имлант использовали?
|
[
Ответить ]
|
Re: Ложный сустав н/3 голени
Отправитель: Смирнов Алексей 17 Май 2009, 12:20
|
DFN "остеомед",под правую ногу взяли левый гвоздь,с учётом нормального вальгирования пяточной кости. Хотел поставить HAN со спиральным лезвием,специально созданный для этого, но из-за организационно-технических моментов не удалось. Ну да в следующий раз....
|
[
Ответить ]
|
Re: Ложный сустав н/3 голени
Отправитель: Alexey Semenisty 18 Май 2009, 00:19
|
>DFN "остеомед",под правую ногу взяли левый гвоздь
Разве DFN "остеомед" или DFN от других производителей бывает левым и правым???
С уважением, А.Семенистый.
ГКБ № 13, Москва.
|
[
Ответить ]
|
Re: Ложный сустав н/3 голени
Отправитель: Alexey Semenisty 18 Май 2009, 00:22
|
Алексей, а в каком положениии стопы получилась фиксация? Не в эквинусе ли стопа??
С уважением, А.Семенистый.
ГКБ № 13, Москва.
|
[
Ответить ]
|
Re: Ложный сустав н/3 голени
Отправитель: Cмирнов Алексей 18 Май 2009, 18:41
|
Движений в голеностопном суставе совсем не было, устранить эквинусную установку можно было только за счет угла открытого кпереди в зоне ложного сустава. Поэтому выбирая между восстановлением оси конечности и эквинусом я выбрал ось.Возможно эквинус компенсирует укорочение 2,5 см (которое при динамизации увеличится). Наверно не так уж и страшно, если больной теперь обречён на обувь с каблуком?
|
[
Ответить ]
|
|
( Ответить )
|
|