AOTRAUMA.ORG Центр Илизарова  

Ортопедия и травматология Общие вопросы/General questions Help Информационные технологии в медицине
 вверх
 отправить
 поиск
 админ
 главная


Несросшийся перелом при интрамедуллярном блокируемом синтезе
Ортопедия и травматология Отправлено Багов О.Х. 15 Май 2009, 19:36 ККБ№1 г.Краснодар
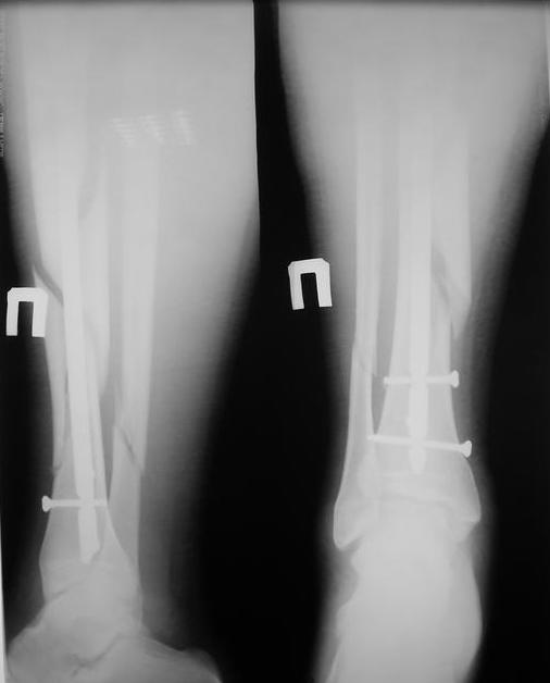
Уважаемые коллеги травматологи подскажите как нам быть и что делать. Думали всем отделением.Несращение оскольчатого перелома костей голени после интрамедуллярного блокируемого синтеза.
У нас был молодой пациент М.(26лет), травма 25 января 2009г, катался на лыжах и получил травму. Поступил к нам в отделение в экстренном порядке. При обследованиии выявлен закрытый винтоообразный оскольчатый перелом правой большеберцовой кости и косой перелом малоберцовой кости на границе средней и нижней трети. Выполнен интрамедуллярный блокируемый синтез большеберцовой кости, оси и длина конечности восстановлена. После операции пациент ходил с полной нагрузкой. Через 3 месяца на контрольных рентгенограммах сращения нет, динамизации не выполняли, так как оскольчатый перелом.(снимки в динамике прилагаются). Посоветуйте, что в данном случае делать наиболее целесообразно?

<  |  >

 

  • Сообщения о Ортопедия и травматология
  • Также Багов О.Х.
  • Связаться с автором
  • Ответить

    Re: Несросшийся перелом при интрамедуллярном блокируемом синтезе
    Юрий Алексеевич Булахтин 16 Май 2009, 01:27
    Мозоль прослеживается. Я бы динамизировал.

    Юрий Алексеевич Булахтин,
    главный травматолог Камчатского Военно-морского госпиталя
    [ Ответить ]

    • Re: Несросшийся перелом при интрамедуллярном блокируемом синтезе
      Отправитель: адонин 16 Май 2009, 21:30
      абсолютно согласен

      [ Ответить ]
    Re: Несросшийся перелом при интрамедуллярном блокируемом синтезе
    Alexander Chelnokov 16 Май 2009, 10:50
    >динамизации не выполняли, так как оскольчатый перелом.

    Остеосинтез, похоже, сделали с перерастяжением, так что динамизировать, наоборот, надо было еще и раньше обычного, недели через 4 после операции.

    Движения в голеностопном суставе полностью восстановлены? В т.ч. активные?
    Стержень и винты тонкие, так что после динамизации с полной нагрузкой, может, и не спешить, пусть с тростью или с одним костылем ходит, если боли нет. Если разболится - с костылями, наступая, насколько получается. Через 2 и 4 недели стоит проконтролировать положение отломков.

    [ Ответить ]

    Re: Несросшийся перелом при интрамедуллярном блокируемом синтезе
    Александр Ситник 16 Май 2009, 11:32
    А что кроме рентгенограмм беспокоит?
    Да есть диастаз, но скорее от смещения осколка по ширине, а не по длине - по малоберцовой длина нормальна.
    Какие-то признаки консолидации все же угадываются, так что при остутствии клинических жалоб мы бы подождали с динамизацией еще 6-8 недель.
    [ Ответить ]

    • Re: Несросшийся перелом при интрамедуллярном блокируемом синтезе
      Отправитель: Alexander Chelnokov 16 Май 2009, 18:19
      >Да есть диастаз, но скорее от смещения осколка по ширине, а не по длине - по малоберцовой длина нормальна

      И малоберцовая перерастянута. По большеберцовой видно щель по переднему контуру, промежуточный фрагмент к этой области не имеет отношения.

      мы бы подождали с динамизацией еще 6-8 недель

      Отсутствие уверенных признаков сращения неделям к 8 - надо динамизировать. Тут уже 3,5 мес., есть щель из-за смещения по длине. Дальнейшее консервирование ситуации тут не решает никаких проблем, а вот создать их может. Динамизация с нагрузкой и диастаз уменьшит, и репаративный процесс "освежит".

      [ Ответить ]
    Re: Несросшийся перелом при интрамедуллярном блокируемом синтезе
    Андрей Нещасный, 5 ЦВКГ ВВС 16 Май 2009, 13:50
    Мне кажется, что необходимо выполнить динамизацию, одновременно выполнив остеотомию малоберцовой кости, т.к. у нее консолидация есть. В дальнейшем ходьба с дополнительной опорой и потепенным увеличением нагрузки около 25% в неделю с выходом до полной на 4-й неделе.
    [ Ответить ]

    Re: Несросшийся перелом при интрамедуллярном блокируемом синтезе
    A. Liberson 18 Май 2009, 00:13
    + osteotomy of fibula++++++++dynamisation
    AL
    [ Ответить ]

    Re: Несросшийся перелом при интрамедуллярном блокируемом синтезе
    Alexey Semenisty 18 Май 2009, 00:21
    ЭТО БЫЛ ОСТЕОСИНТЕЗ С ЗАКРЫТОЙ ИЛИ ОТКРЫТОЙ РЕПОЗИЦИЕЙ?

    С уважением, А.Семенистый.
    ГКБ № 13, Москва.
    [ Ответить ]

    Re: Несросшийся перелом при интрамедуллярном блокируемом синтезе
    Anchishkyn 23 Май 2009, 02:35
    Господа,никаких признаков консолидации нет.Если где-то кажется,то это только за счет укладки(все снимки по-моему с разной укладкой).
    Я бы сделал так:произвел бы закрытый остеосинтез по Илизарову,не вынимая штифт,с остеотомией малоберцовой кости и одновременно(одномоментно)-операция туннелизации места перелома по Беку.После этого на операционном столе же удалить шурупы из штифта и производить плановую дистракцию.
    Если интересует напишу компоновку аппарата Илизарова и прочее.
    [ Ответить ]

    Re: Несросшийся перелом при интрамедуллярном блокируемом синтезе
    Коваленко А.Н. 24 Май 2009, 00:43
    По-моему, оптимальное решение уже прозвучало дважды: динамизация+остеоклазия(остеотомия) малоберцовой.
    [ Ответить ]

    Re: Несросшийся перелом при интрамедуллярном блокируемом синтезе
    Александр Ангельский 09 Июнь 2009, 10:48
    Думаю, что поскольку значительные диастазы, время для костеобразования мало, оставил бы без динамизации до 1 года, если не беспокоит гвоздь и ходит с полной нагрузкой, затем рассмотрел бы вопрос о динамизации или каких то вариантов костной пластики, но есть опасность усталостного перелома гвоздя. При достаточной фиксации оскольчатых переломов или дефектах на голени, у пациентов до 35-40 лет возможен спонтанный регенерат в течении 1-2 лет.
    [ Ответить ]


    ( Ответить )

    Powered by Zope  Squishdot Powered MedLink
    Посетитель: 0019266
      "По форме правильно, а по существу - издевательство" В.И.Ленин
    ©2001-2019Orthoforum Coordinator.
    [ Главная | Отправить сообщение | Поиск | Админ ]