ВХОД ДЛЯ ПАЦИЕНТОВ
вверх
поиск
админ
главная
|
Помогите определиться с диагнозом |
 |
 |
 |
Прислано Дмитрий Бекреев 26 Май 2009, 21:35
из УНИИТО
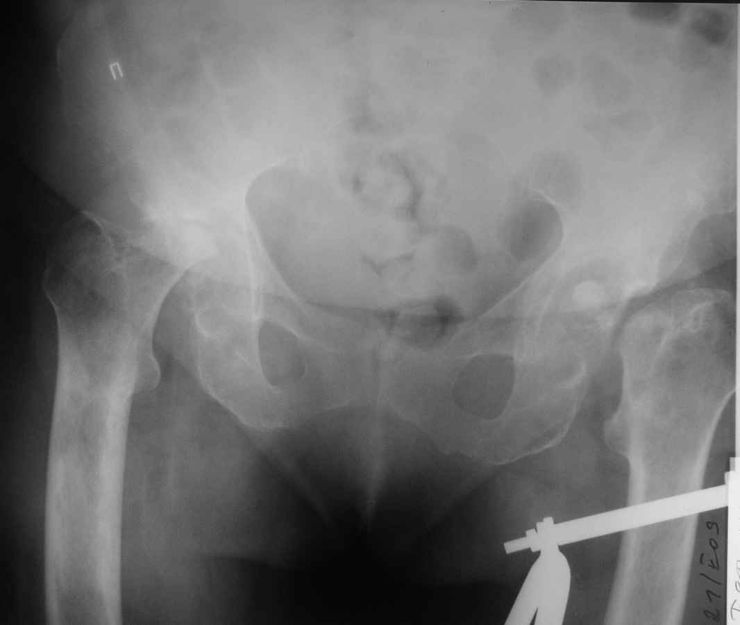
Здравствуйте уважаемые коллеги. Поступила женщина 60 лет с переломом левого бедра в н/3 диафиза, травма произошла около 2-х недель назад, упала дома.
При сборе анамнеза установлено, что в течении 3-х последних лет больную беспокоили боли в тазобедренных суставах, и уже около 1,5 лет она передвигается только на сидячей каталке. При дополнительном обследовании выявлена данная рентгенологическая картина. Факт какой-либо травмы отрицает, поражения мелких и средних суставов кистей и стоп нет, в анализе крови – СОЭ – 60мм/ч, лейкоцитоза нет. Помогите, пожалуйста, определиться с диагнозом, какие исследования необходимо провести. По тактике лечения – планируем интрамедуллярный остеосинтез левого бедра, эндопротезирование тазобедренного сустава справа. После сращения бедра – эндопротезирование левого тазобедренного сустава.
Обратите внимание: Поля с жирными названиями обязательны.
Старайтесь отвечать в рамках обсуждаемой темы, а не начинать новые обсуждения.
Указывайте адекватную тему сообщения, чтобы было ясно, о чем оно.
Не послайте сообщений не по теме (оффтопик), раздраженных, грубых или обидных комментариев. Здесь это неуместно.
|