вверх
отправить
поиск
админ
главная
|
Остеохондропатия таранной кости |
 |
 |
 |
Отправлено Салимов Руслан 26 Май 2009, 23:23
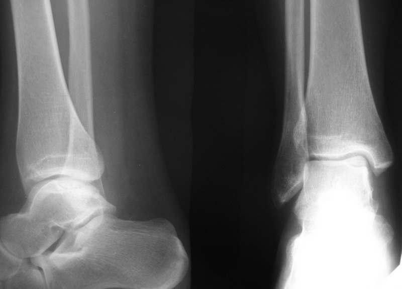
Больная М., 30 лет, около полугода беспокоят боли в голеностопном суставе. На рентгенограммах и КТ признаки остеохондропатии блока таранной кости.(РКТ на бумаге поэтому не выкладываю) Выносится на обсуждение тактика: 1. Просто ждать, назначив разгрузку сустава, физиолечение, ЛФК. 2. Артротомия сустава, фиксация винтом типа Герберта. 3. Артроскопия или артротомии с удалением фрагмента.
<
|
>
|
|
Ответить
|
Re: Остеохондропатия таранной кости
Дедок Михаил 29 Май 2009, 00:40
|
У нас была подобная пациентка. Выполнили артроскопию, удаление свободного хондромного тела и удаление отслоенного некротизированного хряща с блока таранной кости. Дефект хряща составил 2х 3 см. В послеоперационном периоде клиновидная набойка на каблук (для разгрузки внутреннего отдела. Больная вернулась к труду через 6 недель. С момента операции прошло 10 месяцев. Жалоб нет. (профессия- медсестра стомат. кабинета, возраст 60 лет)
|
[
Ответить ]
|
Re: Остеохондропатия таранной кости
Евгений 29 Май 2009, 07:09
|
В моей практике иной случай - секвестрация аналогичного фрагмента, но больших размеров (2,5 на 2,5 на 3 см) в той же зоне у молодого человека 34 лет. Выполнена диагностическая атросокпия, после чего - атротомия, удаление секвестра, аутокостная пластика дефекта с пластикой суставного деффекта по O,Driscoll. Через 3 мес полная перестройка имплантата, болевой синдром купирован.
|
[
Ответить ]
|
Re: Остеохондропатия таранной кости
Отправитель: Салимов Руслан 01 Июнь 2009, 10:05
|
Уважаемый Евгений. Не могли бы вы уточнить по поводу аутокостной пластики дефекта с пластикой суставного деффекта по O,Driscoll. Может ссылка есть?
|
[
Ответить ]
|
Re: Остеохондропатия таранной кости
Отправитель: Евгений 11 Июнь 2009, 17:26
|
Гиршин С.Г., Лазишвили Г.Д. - Коленный сустав, повреждения и болевые синдромы - НЦССХ им. А.П. Бакулева РАМН - Москва - 2007г.
|
[
Ответить ]
|
|
( Ответить )
|
|