вверх
отправить
поиск
админ
главная
|
Отправлено IHOR 29 Май 2009, 23:09
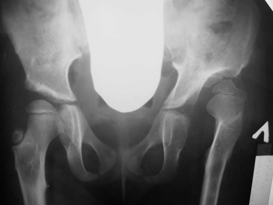
Здравствуйте, уважаемые коллеги.Обратилась девочка 6-ти лет из жалобами на боль в левом т/б суставе,хромоту Из анамнеза : ребенок лечился с рождения по поводу врожденного вывиха бедер. В возрасте 3- х лет в одной из клиник была выполнена остеотомия таза по Пембертону и варизирующая остеотомия бедра слева, справа - остеотомия таза по Солтеру и остеотомия бедра. Посоветуйте тактику лечения. С уважением Ihor
<
|
>
|
|
Ответить
|
Re: Врожденный вывих бедра
Mark Eidelman 30 Май 2009, 21:37
|
Smotritsya parshivo konechno(pseudoacetabulum,partial AVN), no v6 let ya by popytalsya ispravit chto moghno:shortening (ne boyatsya ubrat bolshoi fragment),derotation(30 gradusov ne bolshe)+pelvic osteotomy in true acetabuluam area.Obyazatelno takghe open reduction with wide capsular exposure.
Glavnoe chto nughno - eto opytnyi chirurg ,znakomyi spatologicheskoi anatomiei.Etot sluchai -dlya mastera.
Udachi,
Mark Eidelman,Rambam Medical Center,Haifa, Israel.
|
[
Ответить ]
|
Re: Врожденный вывих бедра
IHOR 04 Июнь 2009, 22:39
|
Здравствуйте уважаемый Mark Eidelma,
Огромное спасибо за Ваш совет. Скажите пожалуйста ,какую остеотомию таза Вы рекомендуете в данном случае.
Огромное спасибо IHOR.
|
[
Ответить ]
|
Re: Врожденный вывих бедра
Отправитель: eidelman mark 05 Июнь 2009, 22:32
|
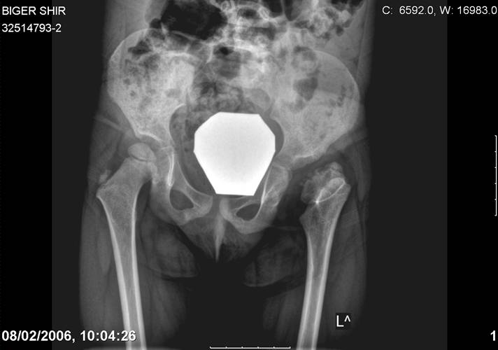
Navernoe Dega

Chto by ne byt goloslovnym posilau vam svoi sluchai gde sdelal vse chto napisal vyshe
Mark Eidelman
|
[
Ответить ]
|
|
Re: Врожденный вывих бедра
Ильдар Ф. Ахтямов 07 Июнь 2009, 09:22
|
Уважаемой Ihor! Следует дообследовать ребенка, проведя РКТ или МРТ. Необходимо установить взаимоотношение головки бедренной кости и вертлужной впадины слева, оценить угол антеторсии и истинный ШДУ. Далее решать вопрос об оперативном лечении. Скорее всего показана деторсионно-варизирующая остеотомия в межвертельной области левого бедра и остеотомия таза типа Солтера (хотя ацетабулярный индекс великоват, т.е. более 30-35 градусов). Справа следует понаблюдать и периодически проводить курсы ФТО и ЛФК. Если Вы не имеете опыта реконструктивной хирургии ТБС у детей, то лучше отправить пациента к детским ортопедам. АИФ
|
[
Ответить ]
|
( Ответить )
|
|