AOTRAUMA.ORG Центр Илизарова  

Ортопедия и травматология Общие вопросы/General questions Help Информационные технологии в медицине
 ВХОД ДЛЯ ПАЦИЕНТОВ
 вверх
 поиск
 админ
 главная


Фиброз коленного суства
Ортопедия и травматология Прислано Denis Rimashevsky 02 Июнь 2009, 17:13
из
Уважаемые коллеги,
Прошу совета.
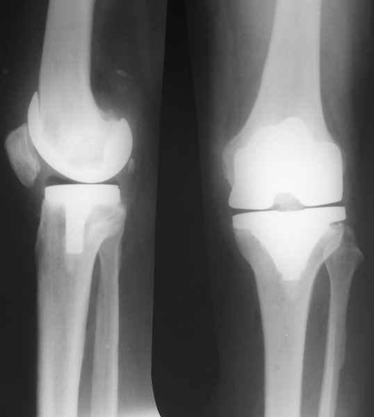
В феврале 2007 года пациентке выполнено эндопротезирование коленного сустава.


13/02/07

25/07/07

дек. 07

25/06/08

14/01/09
Через 1 месяц после операции объем движений 90 градусов, через 2 месяца 60, через 3 - 40, через 5 - качательные движения.

В июле 2007 года выполнена ревизия - полости сустава нет. Капсула сустава имеет толщину от 1 до 1.5 см, собственная связка надколенника имеет толщину до 3 см. Сустав заполнен фиброзно-рубцовой тканью. Компоненты стабильны.

Резецирована капсула, удалены фиброзные ткани из сустава. В области межмыщелковой ямки на бедре обнаружены 2 канала уходящих в мыщелки и проксимально, глубиной до 2 см и диаметром до 1 см. Выскаблены и заполнены синтетическим костным трансплантатом с ванкомицином. Взяты ткани из разных отделов сустава для бак. исследования.

Рана ушита с объемом движений до 70 градусов. По результатам анализов - все стерильно. Как и в посеве крови.
4 недели антибиотикотерапия.
Активная ЛФК. Через 6 месяцев - движения качательные.

Осевая нагрузка практически безболезненна.
Первое время после ревизии периодически беспокоили озноб, локальное повышение температуры в области сустава. В последнее время этого практически нет.
В анализах - придраться можно только к СОЭ - 27.

Есть вопросы к установке протеза.
Скорее всего тибиальное плато было не конца резецировано и в задненаружных отделах осталась ступенька. Это привело к тому, что тибиальный компонент завалился на варус.

Можно пойти на повторную ревизию, удалить большеберцовый компонент и поставить его правильно, но как справиться с артрофиброзом?

Надо ли вести случай как нагноение с удалением протеза и установкой спейсера?

Заранее благодарен,

С уважением, Римашевский Д.

Послать ответ

Имя
Email
Уведомление Сообщить мне по e-mail об ответах на это сообщение
Название
Комментарий
(Проверьте URL! Не забудьте написать http://!)
Кодировка
Если не знаете, что выбрать, выберите "Просто текст"!
Приложение
Можно приложить к сообщению файл c изображением, который затем будет доступен увидевшим сообщение.
Подготовка иллюстраций:
  • Рентгенограммы: черно-белые полутоновые изображения в формате JPEG (8 bit, greyscale) с разрешением от 300х200 до 1024х768 пикселов;
  • Клинические фотографии: полноцветные изображения в формате JPEG (24 bit, truecolor) с разрешением от 300х200 до 1024х768 пикселов;
  • Схемы и рисунки: черно-белые (2 bit) штриховые (line-art) изображения в формате GIF или compressed TIFF
  • Подберите степень сжатия файла JPEG и размер изображения таким образом, чтобы необходимые детали были различимы, но размер файла не превышал 75 кб.
  • Учтите, что текущая версия программного обеспечения Форума позволяет приложить к одному сообщению лишь один файл-вложение. Поэтому, если необходимо отправить несколько изображений, можно либо послать каждое как отдельное сообщение, либо в графическом редакторе объединить изображения в одно (сделать коллаж).
  • Если при подготовке изображений встречаются трудности, не стесняйтесь обратиться к координатору Форума.

  • Введите видимые символы в обратном порядке. Enter the above characters in reverse order (*Обязательно)
    В тексте сообщения можно использовать теги HTML <B> <I> <P> <A> <LI> <OL> <UL> <EM> <BR> <TT> <HR> <STRONG> <BLOCKQUOTE> <DIV .*> <DIV> <P .*>
  • Обратите внимание: Поля с жирными названиями обязательны.
  • Старайтесь отвечать в рамках обсуждаемой темы, а не начинать новые обсуждения.
  • Указывайте адекватную тему сообщения, чтобы было ясно, о чем оно.
  • Не послайте сообщений не по теме (оффтопик), раздраженных, грубых или обидных комментариев. Здесь это неуместно.
  • Powered by Zope  Squishdot Powered MedLink
    Посетитель: 0018902
      "По форме правильно, а по существу - издевательство" В.И.Ленин
    ©2001-2019Orthoforum Coordinator.
    [ Главная | Отправить сообщение | Поиск | Админ ]