AOTRAUMA.ORG Центр Илизарова  

Ортопедия и травматология Общие вопросы/General questions Help Информационные технологии в медицине
 вверх
 отправить
 поиск
 админ
 главная


Артродез и кейдж
Ортопедия и травматология Отправлено Антон Бехтерев 28 Июнь 2009, 21:55
Коллектив 1-травматологического отделения МЛПУ ГБСМП-2 г.Ростова-на-Дону сердечно поздравляет уважаемого Лазарева Анатолия Федоровича с днем рождения.
Желаем яркой, насыщенной встречами и успехами жизни, крепкого здоровья, полных положительными эмоциями перемен. В качестве подарка хотим представить клинический случай, решение которого стало возможным благодаря новаторским идеям именинника.
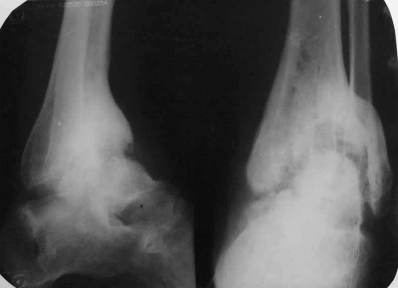
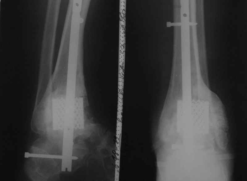
Пациентка Б. получила травму 2001 году в результате падения с высоты. За это время дважды выполнялись неудачные попытки артродезирования голеностопного сустава. Больная перед нами поставила одну задачу - восстановить опороспосонбность левой нижней конечности и только. Принято решение выполнить кейдж-артродезирование левого голеностопного сустава блокируемым интрамедуллярным гвоздем с установкой сетчатого опорного трансплантата, костной аутопластикой плюс Chronos. С целью профилактики рецидива деформации выполнили ахиллотомию (считаем, что неудачи предшествующих операций связаны с варусной тягой ахиллова сухожилия в ррезцльтате неправильно сросшегося перелома пяточной кости). На сегодняшний день - два месяца с момента операции. Пациентка перемещается в циркулярной повязке с полной нагрузкой на больную ногу.
Примите наши радушные поздравления Анатолий Федорович.

<  |  >

 

  • Сообщения о Ортопедия и травматология
  • Также Антон Бехтерев
  • Связаться с автором
  • Ответить

    Re: Артродез и кейдж
    Maxim Agalakov 29 Июнь 2009, 17:18
    Присоединяемся. здоровья Вам.
    Максим Агалаков и все наше семейство!
    [ Ответить ]

    Артродез и кейдж
    Бен Эльайфар Мохамед 29 Июнь 2009, 19:42
    Первый раз вижу этот кейдж, и хочу спросить: показание к нему? область применения? подлежит удалению или нет? если да то как? можно было без него? спасибо.
    [ Ответить ]

    • Re: Артродез и кейдж
      Отправитель: В.Машталов 30 Июнь 2009, 15:15
      Уважаемый Бен Эльайфар Мохамед!
      Был использован металлокаркас производства МАТИ, разработанная методика коллективом ЦИТО во главе с А.Ф. Лазаревым, область -применения дефекты
      длинных трубчатых костей, конечно не удаляется.
      В данном случае мы столкнулись с проблемой мощного гиперпластического процесса в области голеностопного сустава, невозможностью или высокой
      травматичность сближения артродезируемых оверхностей, поэтому решили применить кейдж из никилида титана и костную комбинированную пластику, к области применения добавили артродезирование. На нашем форуме уже показывали
      случаии применения металлокаркаса при преломах и дефектах плеча и пострезекционных дефектах плеча А. Семенистый и А.Челноков
      С ув.В. Машталов

      [ Ответить ]
      • Re: Артродез и кейдж
        Отправитель: Юрий Алексеевич Булахтин 30 Июнь 2009, 15:23
        Уважаемые коллеги, вопрос этот уже задавал, т.к. ответа не получил поинтересуюсь еще раз: "Где купить металлокаркас производства МАТИ, разработанная методика коллективом ЦИТО во главе с А.Ф. Лазаревым"

        [ Ответить ]
        • Re: Артродез и кейдж
          Отправитель: В.Машталов 30 Июнь 2009, 15:25
          Приветствую Юрий!!

          Мы заказали здесь http://www.implants.ru/ согласовали размеры, где-то неделя срока, может, к тебе на 1-2 дня больше
          С уважением В.Машталов

          [ Ответить ]
    Re: Артродез и кейдж
    Женя 04 Июль 2009, 01:13
    Кейдж в голеностоп - свежая мысль - отлично! Но беда в том, что стопа как находилась в переднем подвывихе - так в нем и осталась. Боюсь, что даже при формировании костного анкилоза, пациентка вряд-ли будет довольна опороспосбностью ноги ввиду грубых биомеханических нарушений. На мой взляд, с учетом неправильно сросшегося перелома пяточной кости, следовало бы выполнить артродез голеностопного (с безжалостной резекцией заднего отдела большеберцовой кости), подтаранного и пяточнокубовидного суставов и, тем самым, коррекцию порочного положения стопы. Фиксация блокируемым стержнем - замечательно! И еще - в данной ситуации ахиллотомия сродни лечению коксартроза мазью хондроксид.
    Заранее прошу прощения. Удачи!
    [ Ответить ]

    • Re: Артродез и кейдж
      Отправитель: A.Liberson 05 Июль 2009, 10:43
      LAMBRINUDI AS I SAID
      AL

      [ Ответить ]
    Re: Артродез и кейдж
    Alexander Chelnokov 05 Июль 2009, 10:42
    В этом случае, наверно, можно было все сделать закрыто. Аппарат, дистракция, устранение порочного положения стопы. А потом закрыто заштифтовать. Этот вариант не рассмаотривался, или я что-то упустил и почему-то он был неосуществим?
    [ Ответить ]

    Re: Артродез и кейдж
    Anton Bekhterev 05 Июль 2009, 16:04
    Пациентку беспокоила одна проблема - нестабильность, из-за которой ей приходилось опираться на наружный край стопы. Не было болей, она не страдала от укорочения конечности в той мере, чтобы решиться на операцию по восстановлению длины. Поэтому перед нами стояла одна задача: стабилизировать сегмент, выбрав наиболее комфортную для пациентки тактику. В прошлом больная перенесла две неудачные операции по артродезированию с общим сроком гипсовой иммобилизации около 1,5 лет. Аппарат мы посчитали менее приемлемым способом лечения в данной ситуации.
    Касательно ахиллотомии. Первые две неудачные попытки артродезирования выполнлись в разные сроки после травмы грамотными и
    квалифицированными специалистами в разных отделениях, имеющих опыт лечения подобных повреждений. Если бы это был единичный случай, могли списать на огрехи хирургической техники. А так... Возможно, неправильно сросшийся перелом пяточной кости, в результате которого пяточный бугор сместился на медиальную сторону, мог послужить причиной варолизирующей тяги ахиллова сухожилия. Что ж,
    время покажет.
    [ Ответить ]

    Re: Артродез и кейдж
    Alexey Semenisty 05 Июль 2009, 23:07
    А чем было бы хуже просто штифт без кейджа? При создании артродеза голеностопного и подтаранного суставов гвоздем резекция суставных концов требуется не всегда. Обычно достаточно выведения стопы из порочного положения, рассверливания и штифтования. Многие производители предлагают специальный штифт для этого.... На мой
    взгляд, в данном случае кейдж избыточен.
    [ Ответить ]

    • Re: Артродез и кейдж
      Отправитель: Антон Бехтерев 05 Июль 2009, 23:12
      А чем было бы хуже просто штифт без кейджа?

      А тем, что у пациентки уже имелся дефицит костной массы в зоне артродеза. По-русски кейдж носит название "опорный сетчатый трансплантат". Собственно эту опорную роль он и выполняет. Гвоздь
      только стабилизирует сегмент зону артродезирования.

      С уважением,
      Бехтерев Антон

      [ Ответить ]
      • Re: Артродез и кейдж
        Отправитель: Alexander Chelnokov 05 Июль 2009, 23:25
        Гвоздь тоже может нести опорную функцию на время, достаточное для формирования костной спайки. Кейдж безусловно нужен только для сегментарного дефекта. Если есть кость хоть с какой-то стороны, вкупе с гвоздем этого бывает достаточно.


        [ Ответить ]
      • Re: Артродез и кейдж
        Отправитель: Alexey Semenisty 05 Июль 2009, 23:27
        > -А тем, что у пациентки уже имелся дефицит костной массы в зоне
        > артродеза.



        А как же тогда эта Ваша фраза: "В данном случае мы столкнулись с проблемой мощного гиперпластического процесса в области голеностопного сустава"???
        Да и по представленным снимкам никакого дефекта кости, тем более циркулярного, для замещения которого и был предложен "опорный сетчатый трансплантат"


        > Собственно эту опорную роль он и выполняет. Гвоздь
        > только стабилизирует сегмент зону артродезирования.



        Собственно, для решения задачи, поставленой перед Вами пациенткой, кроме стабилизации, ничего и не требовалось


        --
        С уважением, А.Семенистый.
        ГКБ № 13, Москва.

        [ Ответить ]

     

    ( Ответить )

    Powered by Zope  Squishdot Powered MedLink
    Посетитель: 0104988
      "По форме правильно, а по существу - издевательство" В.И.Ленин
    ©2001-2019Orthoforum Coordinator.
    [ Главная | Отправить сообщение | Поиск | Админ ]