вверх
отправить
поиск
админ
главная
|
Pelvic and acetabular fracture |
 |
 |
 |
Отправлено Josep M. Muñoz Vives 06 Июль 2009, 20:18
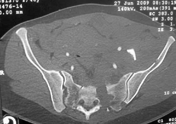
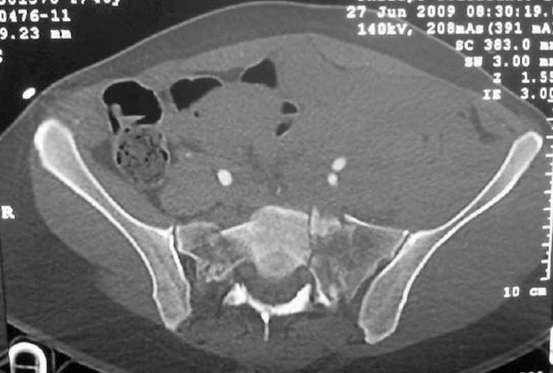
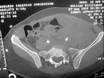
I'm posting this case on behalf of Dr. Pedro Caba, he is unable to post but able to read. 41 yo female , fall from 10 meters five days ago. Hemodynamically unstable on admission treated by angio and embolization and skeletal traction, with no external support. No associated injuries. Based on CT scan the pt has a both column fracture with conminuted dome and displaced anterior column and a sacral Denis 1 fracture with a displaced left ala. I think the best approach for the acetabular fracture is ilioinguinal with Smith-Petersen extension but don't know exactly the sequence . Will you start with the sacral fracture? Which technique? Thanks in advance Pedro Caba Unidad de Trauma Hospital 12 de Octubre Madrid Spain
<
|
>
|
|
Ответить
|
Re: Pelvic and acetabular fracture
Milton L. Routt 06 Июль 2009, 21:00
|
This patient has extensive and complicated skeletal injuries...much more data (such as additional relevant images and clinical information regarding the soft tissues and overall patient status) would help us formulate an informed plan.
These are truly significant injuries that deserve a smart plan.
The sacral pattern alone is quite difficult and seems to be some version of an H-pattern, but I can’t tell from these films.
At 5 days after injury, every detail becomes important.
chip
|
[
Ответить ]
|
Re: Pelvic and acetabular fracture
Отправитель: Josep M. Muñoz Vives 06 Июль 2009, 21:06
|
General condition is fine except for an intractable pelvic pain, no associated injuries (only ankle fracture), no sciatic nerve injury.

The soft tissues are also in mild condition, buttock hematoma and probably a Morel-Lavalle. I send some more CT images. There are some conminution in the posterior column (I don’t have images now). The patient is scheduled for surgery next Monday. The plan is percutaneous sacral fixation and then ilioinguinal approach .
Thank you
Pedro Caba
Unidad de Trauma Hospital 12 de Octubre
|
[
Ответить ]
|
Re: Pelvic and acetabular fracture
Отправитель: Milton L. Routt 06 Июль 2009, 21:10
|
I am a huge fan of closed reduction and percutaneous posterior pelvic fixation, but that particular sacral injury warrants an open reduction.
I’d begin with that in order to have a high quality osseus foundation for subsequent acetabular repair.
But it’d be best to see more films before a final vote-
chip
|
[
Ответить ]
|
|
Re: Pelvic and acetabular fracture
Huseyin Demirors 06 Июль 2009, 21:12
|
I would like to ask what kind of stabilization would you prefer for this particular sacral fracture (bilateral transforaminal)?
Without a pedicular screw (L5 or S1) its impossible to stabilize the central sacral fragment. Tension band plating or other plate fixations wont work. Transacral long screws may stabilize but there is no biomechanical analyses of this trans sacral IS screw fixation for bilateral fracture models as far as I know .
Huseyin Demirors MD
Baskent University Ankara TURKEY
|
[
Ответить ]
|
Re: Pelvic and acetabular fracture
Отправитель: Milton L. Routt 06 Июль 2009, 21:26
|
This complex and displaced sacral injury is likely an H pattern...2 hemipelvic components, an upper sacral component which remains attached to the lumbar spine, and a caudal sacral component...there are typically anterior ring injuries as well...in this patient's example, the left sided acetabulum also has been exploded.
Most H pattern sacral fractures have the transverse fracture limb of the "H" at the upper-second sacral segment junction or disc region...some fracture thru the second segment, and some or at other sites...but most yield thru the upper-second sacral segments junction...with variable traumatic associated neurological findings.
Many also have a remote level identifiable spinal injury.
The hemipelvic components' displacements depend on their instability...this patient's left side seems to be the worst.
The transverse fracture limb liberates the upper sacral segment and its attached lumbar-thoracic-cervical spine to displace...usually anteriorly and in kyphosis.
The kyphosis and anterior translation of the upper sacral segment distorts the safe area for iliosacral screw usage...the imaging allows the surgeon to preoperatively plan if iliosacral screw fixation is a safe possibility.
Reduction accuracy improves overall stability for most such patterns...occasionally the alar zone comminution obviates this reality.
Fixation stability can be reliably achieved for simpler and less displaced or less comminuted fractures using transiliac-transsacral screws...for most adults, these are usually 170-190mm lengths through the upper sacral segment after reduction.
For those patterns with the transverse limb below the second sacral segment level, second sacral segment transiliac-transsacarl screws can also be used...these screws are usually 150-160 mm lengths.
Only recently have large screws of such length become available for these applications...and still for some patients, 180mm screws are too short.
Nevertheless, iliosacral screws can stabilize simpler patterns reliably...and some surgeons brace to supplement such fixation.
For this patient (according to the limited imaging available), it would seem that a combination of lumbo-pelvic fixation along with transiliac transsacral fixation is optimal...BUT the left sided pelvic implants must be applied in consideration of and in anticipation of the necessary acetabular fixation implants.
So you are correct, this pattern likely needs a great reduction and a powerful fixation construct to be durable...but the operative exposure and implants must be planned carefully if the acetabular fracture is to be accurately reduced and well stabilized.
I'd also seek and rule out remote level spine injury for this patient.
chip
|
[
Ответить ]
|
|
Re: Pelvic and acetabular fracture
George Thomas 06 Июль 2009, 21:14
|
Dear Dr. Routt,
It will be really helpful to me if you could post a presentation of how you put in the anterior column screw.
George Thomas,
Chief Orthopaedic Surgeon,
St. Isabel's Hospital,
Mylapore,Chennai 600004,
India.
|
[
Ответить ]
|
Re: Pelvic and acetabular fracture
Отправитель: Milton L. Routt 06 Июль 2009, 21:36
|
,
PPT, 769 Kb
Enclosed is a simplified presentation of one way to insert the antegrade superior ramus medullary screw...there are many other details, but here’s a start.
Chip
|
[
Ответить ]
|
Re: Pelvic and acetabular fracture
Отправитель: Jeff Brooks 06 Июль 2009, 21:44
|
Chip,
That's fantastic. Thanks for sharing.
Jeff
|
[
Ответить ]
|
Re: Pelvic and acetabular fracture
Отправитель: Dr Mangal Parihar 06 Июль 2009, 21:51
|
thank you dr routt for such a clear explanation. (as you said, i am sure that it is not as simple as it may seem on the presentation)
your slide number 10 - is the screw really bent or is that an artefact from the C arm.
do have any tips/thoughts on what causes and on preventing such bent images - it can be quite disconcerting at times
regards
dr mangal parihar
orthopedic surgeon, mumbai
|
[
Ответить ]
|
Re: Pelvic and acetabular fracture
Отправитель: Milton L. Routt 06 Июль 2009, 21:53
|
Probably bent.
I like bent screws when the fracture is clamped...blunt 3.5mm and even most 4.5mm cortical screws tend to bounce and bend if you insert them just right...but to bounce and bend the drill must avoid eroding the cortical bone, and blunt tipped screws are used...it’s also why I use a 2.5mm drill...it seems to be quite a flexible drill, especially if used in an oscillating mode.
Bent screws almost never “straighten out” after the clamp is released, but I always check with the C-arm as I release the clamp....sometimes if you use a single 3.5mm screw, it can change and just needs to be reclamped immediately and helped out with an additional screw.
Bent screws are “not-so-good” if the surgeon is using the lag screw to reduce the fracture...an unclamped fracture reduction always loses some when the screw bends as it’s terminally tightened...for extra-articular (acetabular-sparing) ramus fractures, the resultant slight malreduction seems clinically irrelevant thus far.
Thick screws (6.5-7.0-other such big ones) don’t bend much at all.
Remember, the ramus a very bent tube of bone in several planes with a variable sized straight osseus potential pathway for a screw or 2...it’s tough shooting sometimes, but typically very efficient, comfortable, strong, and durable fixation.
Thank you-
Chip
|
[
Ответить ]
|
|
( Ответить )
|
|