вверх
отправить
поиск
админ
главная
|
Интрамедуллярный остеосинтез бедра, перелом гвоздя |
 |
 |
 |
Отправлено Костив Роман 20 Август 2009, 12:18
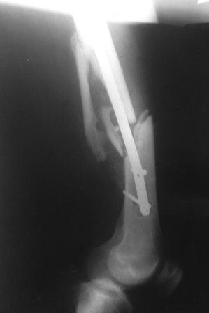
Пациент с политравмой. Выполнен помимо всего остеосинтез бедра стержнем. Поступил через месяц после операции с переломом фиксатора.У нас возникли разногласия по дальнейшей такике.Помогите пожалуйста советом! Пациент, 30 лет, после мотоциклетной аварии получил следующие повреждения: перелом бедра, перелом вертлужной впадины на противоположной стороне, перелом обоих предплечий, ЧМТ.Выполнен остеосинтез таза пластиной и остеосинтез бедра стержнем ChM. Во время операции стержень оптимальной длины оказался слишком "толстым" (420/11 мм) и пришлось выбрать более короткий гвоздь (400/10 мм). Через месяц возникла следующая картина: изгиб винтов и стержня, появилось смещение, имеется тугая подвижность в месте перелома.Предложено несколько выходов:- поменять фиксацию на более длинный гвоздь,- использовать ретроградную версию бедренного гвоздя,- поменять на накостный фиксатор (длинную LCP DF).В данном случае приобретать импланты придется за счет средств пациента, поэтому хотелось бы все тщательно взвесить.Уважаемые коллеги, помогите пожалуйста советом, как бы вы поступили в такой ситуации.
<
|
>
|
|
Ответить
|
Re: Интрамедуллярный остеосинтез бедра, перелом гвоздя
Ерсин 20 Август 2009, 21:00
|
Имея опыт более 300 операции по имплантации бедренных стержней СхМ первый раз вижу не состоятельность конструкции. Какие причины послужили сразу видно и понятно.
На мой взгляд в данной ситуации оптимальным будет ретроградный остеосинтез универсальным стержнем с рассверливанием костномозгового канала, блокировка в режиме динамики.
|
[
Ответить ]
|
Re: Интрамедуллярный остеосинтез бедра, перелом гвоздя
В.Машталов 20 Август 2009, 22:15
|
Уважаемый Роман! Показан реостеоситез гвоздем, но кроме длинны надо взять более толстый гвоздь и рассверлить канал.Лучше выбрать антеградное введение, чтобы не образовывать новых точек ввода. При введении гвоздя дистально ограничить канал поллерами, проксимально можно сразу заблокироваться только динамически, и все получится.
С ув. В.Машталов
|
[
Ответить ]
|
Re: Интрамедуллярный остеосинтез бедра, перелом гвоздя
Костив Роман 21 Август 2009, 03:37
|

Большое спасибо за ответы. Прошу прощения, что сразу не показал боковую проекцию (прилагаю сейчас). Может быть с таким торцевым упором не производить динамичсекую фиксацию, а провести динамизацию позже.
С Уважением ко всем присутствующим.
Роман
|
[
Ответить ]
|
Re: Интрамедуллярный остеосинтез бедра, перелом гвоздя
Отправитель: Alexander Chelnokov 21 Август 2009, 15:10
|
Да, такая картина заставляет план подкорректировать. После удаления стержня надо дистрактором одномоментно или, если не получится, постепенно восстановить длину. И для окончательного устранения антекурвации надо взять гвоздь потолще и подлиннее.
|
[
Ответить ]
|
|
Re: Интрамедуллярный остеосинтез бедра, перелом гвоздя
Alexander Chelnokov 21 Август 2009, 14:22
|
> Во время операции стержень оптимальной длины оказался слишком
> "толстым" (420/11 мм) и пришлось выбрать более короткий гвоздь (400/10
> мм).
Вот этот момент не очень понятен. В каком смысле разница всего в 1 мм - это "слишком"? При этом переломе можно было и 13 мм использовать. И далее - а который взяли, чего не ввели поглубже?
> Через месяц возникла следующая картина: изгиб винтов и стержня,
А в чем причина, как полагаете? Про ограничение нагрузки не сказали пациенту?
> - поменять фиксацию на более длинный гвоздь,
В основном согласен с коллегой Машталовым.
Удаление дистального обломка стержня может быть только проблемой. Как намереы удалять?
> В данном случае приобретать импланты придется за счет средств
> пациента, поэтому хотелось бы все тщательно взвесить.
Можно приобрести отечественный гвоздь напрямую у производителя, выйдет недорого.
|
[
Ответить ]
|
Re: Интрамедуллярный остеосинтез бедра, перелом гвоздя
Отправитель: Костив Роман 21 Август 2009, 16:13
|
>Вот этот момент не очень понятен. В каком смысле разница всего в 1 мм - это "слишком"? При этом переломе можно было и 13 мм использовать. И далее - а который взяли, чего не ввели поглубже?
К сожалению у нас отсутствует инструмент для рассверливания канала. Стержень постарались ввести максимально глубоко, как позволил направитель.
> Через месяц возникла следующая картина: изгиб винтов и стержня,
А в чем причина, как полагаете? Про ограничение нагрузки не сказали пациенту?
Про ограничение нагрузки сказали, но с учетом оперированой противоположной половины таза (где также возникли осложнения с имплантом), наличием некоторой посттравматической энцефалопатии (ЧМТ), мы предполагаем, что пациент двигался (как минмимум ползал, опираясь на колени). Но и безусловно наш гвоздь оказался коротким.
Удалить дистальный отломок стержня скорее всего придется через перелом, хотя возможно выйдет и вместе с центральным отломком гвоздя, если перелом стержня не завершенный.
Нам не очень доступно приобретение отечественных гвоздей напрямую у производителя.
|
[
Ответить ]
|
|
Re: Интрамедуллярный остеосинтез бедра, перелом гвоздя
Александр А 21 Август 2009, 14:47
|
Уважаемый Роман!
Видимо нечем было рассверливать если стержень 11мм оказался толстым, и мне кажется оптимальной длинны здесь будет 440мм а не 420мм. Учитывая карман пациента как Вы пишите, и давность травмы 1 месяц, думаю есть смысл подумать как над вариантом ЧКО в АВФ с оставлением конструкций как есть на данном этапе лечения, после сращения извлечь то, что доступно. С большим трудом представляю как Вы будете доставать дистальный фрагмент стержня. А если всё же вариант БИОС, обязательно с рассверливанием, не менее 12-13мм в диаметре с обязательныфм дистальным блокированием в двух плоскостях.
Спасибо.
|
[
Ответить ]
|
Re: Интрамедуллярный остеосинтез бедра, перелом гвоздя
ерсин 21 Август 2009, 16:33
|
Уважаемый коллега. Боковая проекция еще раз свидетельствует о том, что в плане стабильности и биомеханики оптимальным будет ретроградный синтез с предварительным наложением дистрактора или применения ортопедической приставки, при этом нет необходимости вскрывать зону перелома, мне кажется имеюшийся угол искривления атакующего конца стержня позволит без технических трудностей её удалить. При отсуствии гибких риммеров антеградный реостеосинтез будет проблематичным, в плане блокировки теперь уж статическая фиксация оптимальна.
|
[
Ответить ]
|
Re: Интрамедуллярный остеосинтез бедра, перелом гвоздя
Женя 21 Август 2009, 20:45
|
Изначально было взято коротко. Теперича надо бы с коленки иттить.
|
[
Ответить ]
|
Re: Интрамедуллярный остеосинтез бедра, перелом гвоздя
Андрей Мелешкин 25 Август 2009, 20:46
|
Здравствуйте уважаемый коллега! С учетом необходимости трепанации кости для удаления дистального винта и необходимости скорее всего открытой репозиции, даже с использованием дистрактора, я бы предпочтел бы накостный МОС предизогнутой мыщелковой пластиной LCP.
|
[
Ответить ]
|
Re: Интрамедуллярный остеосинтез бедра, перелом гвоздя
Костив Роман 29 Август 2009, 05:12
|
Уважаемые коллеги, спасибо всем за ответы. Операцию выполнили, гвоздь удалось удалить "малой кровью". Трепанацию кости для удаления дистального винта не делали, винт удалили через уже имеющееся разбитое отверстие в кости. Для этого, манипулируя экстрактором гвоздя, подвели шляпку винта точно к отверстию в кости и без труда удалили винт. Сам гвоздь был просто изогнут, даже не треснул. Перелом не открывали, зафиксировали ретроградным стержнем, рентгенограммы сделаем позже и можно будет их показать.
Спасибо всем еще раз.
|
[
Ответить ]
|
( Ответить )
|
|