ВХОД ДЛЯ ПАЦИЕНТОВ
вверх
поиск
админ
главная
|
очередной посттравматический артроз голеностопного сустава |
 |
 |
 |
Прислано Батал Шушания 03 Сентябрь 2009, 22:40
из ФГУ "3ЦВКГ имени А. А. Вишневского Минобороны России"
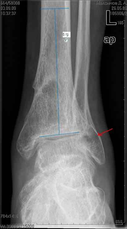
Здравствуйте коллеги. Представляю молодого человека 28 лет, получившего травму в апреле 2008года.
Травму он получил на работе, левая голень со стопой оказались зажатыми между двумя тяжелыми предметами. В результате открытые переломы 1,2,3 плюсневых костей с размозжением мягких тканей над ними, открытый перелом наружной лодыжки со смещением дистального отломка кзади и подвывихом стопы кнаружи с размозжением мягких тканей над лодыжкой, закрытые переломы внутренней лодыжки и дистального метэпифиза большеберцовой кости.
Учитывая наличие размозжения тканей стопы и области голеностопного сустава лечили в аппарате внешней фиксации. Переломы срослись, однако имеет место незначительный подвывих стопы кнаруже и неправильно сросшийся отломок наржной лодыжки (смещен кзади)
Сегодня пациента ничего не беспокоит (с его слов.
Клинически левый голеностопный сустав не отечный,пальпация всех структур данного сустава безболезненна. Имеет место ограничение тыльного сгибания стопы (сгибание к тылу стопы составляет до 10-15 гр), в связи с этим имеет место гиперподвижность в суставе Шопара.
Пациент ходит со стельками (индивидуальные).
Нужна ли пациенту реконструктивная операция в голеностопном суставе: исправление взаимоотношений в наружных отделах голеностопного сустава или что еще?
С уважением Батал Шушания.
Обратите внимание: Поля с жирными названиями обязательны.
Старайтесь отвечать в рамках обсуждаемой темы, а не начинать новые обсуждения.
Указывайте адекватную тему сообщения, чтобы было ясно, о чем оно.
Не послайте сообщений не по теме (оффтопик), раздраженных, грубых или обидных комментариев. Здесь это неуместно.
|