ВХОД ДЛЯ ПАЦИЕНТОВ
вверх
поиск
админ
главная
|
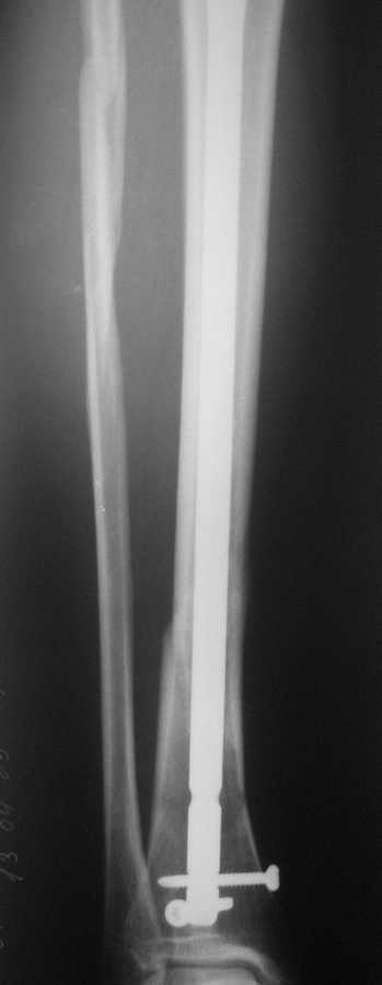
БИОС голени. В чем ошибка? |
 |
 |
 |
Прислано Сергей 13 Сентябрь 2009, 16:13
из
Уважаемые коллеги. Помогите разобраться, есть ли в наших действиях ошибка...Если да, то в чем?
В январе 2009 года нами оперирована пациентка с переломом н\3 голени штифтом Expert. Динамизация через 4 месяца, пациентка при этом уже ходила с тростью. Дома периодически передвигалась без дополнительной опоры.
В настоящее время - через 9 месяцев с момента операции периодически в вечернее время беспокоят ноющие боли в места перелома (не постоянно). При беседе выяснено, что боли чаще беспокоят после того, как днем она походит по дому без трости. Пальпаторно по гребню берцовой кости болей нет, но по задне-внутренней поверхности б\б кости пальпирутеся западение на уровне места перелома.
В чем ошибка??? и что делать???
Обратите внимание: Поля с жирными названиями обязательны.
Старайтесь отвечать в рамках обсуждаемой темы, а не начинать новые обсуждения.
Указывайте адекватную тему сообщения, чтобы было ясно, о чем оно.
Не послайте сообщений не по теме (оффтопик), раздраженных, грубых или обидных комментариев. Здесь это неуместно.
|