AOTRAUMA.ORG Центр Илизарова  

Ортопедия и травматология Общие вопросы/General questions Help Информационные технологии в медицине
 вверх
 отправить
 поиск
 админ
 главная


Перелом хирургической шейки плеча
Ортопедия и травматология Отправлено Роман Д. 18 Сентябрь 2009, 18:50
Уважаемые коллеги. Выскажите пожалуйста свое мнение.
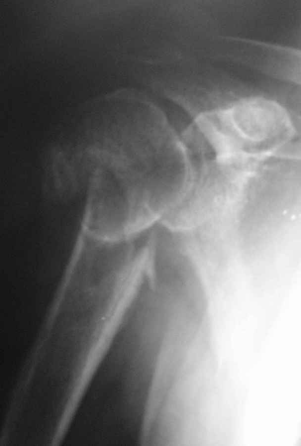
Пациент 55 лет. травма 7.07.09г (первая Р-грамма). Лечился консервативно, надолго выпадал из под наблюдения леч. врача. Последний снимок от 7.08.09 г. Как видно на Р-грамме, стояние отломков неудовлетворительное, клинически выраженная патологическая подвижность. Соп. дз: сахарный диабет 1 типа, средней тяжести. Выскажите Ваше мнение о дальнейше тактике лечения данного пациента.

<  |  >

 

  • Сообщения о Ортопедия и травматология
  • Также Роман Д.
  • Связаться с автором
  • Ответить

    Re: Перелом хирургической шейки плеча
    mgoyan1 18 Сентябрь 2009, 23:21
    С Сахарным Диабетом 1типа столько не живут, а если дожили то много осложнений. Лучше не трогать.
    [ Ответить ]

    Re: Перелом хирургической шейки плеча
    Батал Шушания 19 Сентябрь 2009, 21:21
    Здравствуйте. Я бы спросил у пациента, чего он хочет, хочет ли он рисковать(конечно, предварительно объяснив подробно какие риски)с целю восстановления функции в травмированном плечевом суставе, при этом не обещая полного восстановления функции. После этого, можно уже обсуждать дальнейшую тактику лечения.
    [ Ответить ]


    ( Ответить )

    Powered by Zope  Squishdot Powered MedLink
    Посетитель: 0152319
      "По форме правильно, а по существу - издевательство" В.И.Ленин
    ©2001-2019Orthoforum Coordinator.
    [ Главная | Отправить сообщение | Поиск | Админ ]